Bluesky Facebook Reddit Email

Ultrasonography evaluation of peripheral nerve injuries after an earthquake

08.30.14 | Neural Regeneration Research

AmScope B120C-5M Compound Microscope

AmScope B120C-5M Compound Microscope supports teaching labs and QA checks with LED illumination, mechanical stage, and included 5MP camera.


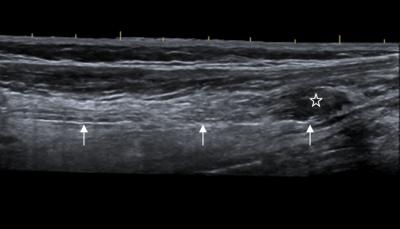
Multiple previous studies of earthquake injuries have focused mainly on crush syndrome, fractures, infections, and rhabdomyolysis. Published data on peripheral nerve injury are very limited and there is no report of the findings on ultrasonographic scans. Dr. Man Lu and co-workers from Sichuan Provincial People's Hospital in China evaluated 34 patients with persistent clinical symptoms and neurologic signs of impaired nerve function, who were selected from 211 patients with clinical signs of impaired peripheral nerves wounded in the Wenchuan earthquake undergoing clinical examination, electrodiagnostic tests, and sonography. Among the 34 patients, the concordance rate of ultrasonography findings with those of surgical results was 98%. Postoperative ul¬trasound follow-up revealed that the majority of patients (86%) had a good recovery after neurolysis, anastomosis or transplantation, showing the better concordance between clinical outcomes and ultrasonographic outcomes. Preoperative and postoperative clinical and ultrasonographic results were concordant, which verified that ultrasonography is useful for preoperative diagnosis and postoperative evaluation of injured peripheral nerves. These findings have been published in the Neural Regeneration Research .

Article: " Follow-up evaluation with ultrasonography of peripheral nerve injuries after an earthquake," by Man Lu1, Yue Wang2, Linxian Yue1, Jack Chiu3, Fanding He1, Xiaojing Wu2, Bin Zang2, Bin Lu2, Xiaoke Yao2, Zirui Jiang4 (1 Department of Ultrasound, Sichuan Provincial People's Hospital, Chengdu, Sichuan Province, China; 2 Department of Orthopedics, Sichuan Provincial People's Hospital, Chengdu, Sichuan Province, China; 3 Department of Radiology, University Hospital, University of Western Ontario, Ontario, Canada; 4 Chengdu Jiaxiang Foreign Languages School, Chengdu, Sichuan Province, China)

Lu M, Wang Y, Yue LX, Chiu J, He FD, Wu XJ, Zang B, Lu B, Yao XK, Jiang ZR. Follow-up evaluation with ultrasonography of peripheral nerve injuries after an earthquake. Neural Regen Res . 2014;9(6):582-588.

Contact:

Meng Zhao
eic@nrren.org
86-138-049-98773
Neural Regeneration Research
http://www.nrronline.org/

Neural Regeneration Research

Keywords

Article Information

Contact Information

Meng Zhao
eic@nrren.org

How to Cite This Article

APA:
Neural Regeneration Research. (2014, August 30). Ultrasonography evaluation of peripheral nerve injuries after an earthquake. Brightsurf News. https://www.brightsurf.com/news/12VG4PY1/ultrasonography-evaluation-of-peripheral-nerve-injuries-after-an-earthquake.html
MLA:
"Ultrasonography evaluation of peripheral nerve injuries after an earthquake." Brightsurf News, Aug. 30 2014, https://www.brightsurf.com/news/12VG4PY1/ultrasonography-evaluation-of-peripheral-nerve-injuries-after-an-earthquake.html.