Bluesky Facebook Reddit Email

MS risk in children spotted with MRI brain scans

10.13.17 | Yale University

Aranet4 Home CO2 Monitor

Aranet4 Home CO2 Monitor tracks ventilation quality in labs, classrooms, and conference rooms with long battery life and clear e-ink readouts.


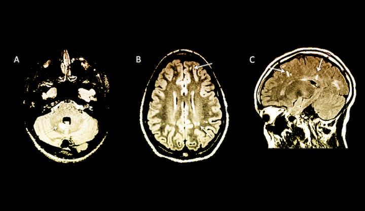
By the time multiple sclerosis (MS) is diagnosed in children, it may be difficult to prevent the disabilities and relapses that come with the disease. In a new Yale School of Medicine study, researchers examined MRI brain scans to identify children at high risk of developing MS before symptoms appear, which may lead to earlier diagnosis and treatment.

Published in the November issue of the journal Neurology: Neuroimmunology & Neuroinflammation , the study of 38 children at 16 sites in six countries showed that the MRIs can reveal changes in the brain associated with MS before the clinical symptoms of the disease appear in children.

The children in the study all underwent MRI scans for other reasons, most commonly headache, but the MRIs unexpectedly revealed signs of MS. Having MRI findings of MS without any symptoms of the disease has been termed radiologically isolated syndrome (RIS) and previously had only been seen in adults.

"For the first time we have proposed a definition of RIS in children," said lead author Naila Makhani, M.D., assistant professor of pediatrics and neurology at Yale School of Medicine. "Children with RIS may represent a high-risk group of children that needs to be followed more closely for the later development of clinical multiple sclerosis."

Approximately 42% of children in the study with MRI findings of MS developed the first clinical symptoms of the disease about two years after the abnormal MRI, which shows a faster development of the disease than has been reported in adults. Children who had a specific marker in spinal fluid or who had MRI changes in the spinal cord, were at greatest risk of developing the clinical symptoms of MS.

Makhani said five of the children in the study received an approved treatment for multiple sclerosis to try to prevent the disease. This number is too small to accurately draw conclusions about the effect of treatment, she noted.

"We hope that our work will help inform expert guidelines for how to follow up children with RIS and help us accurately inform families of the risk of later developing multiple sclerosis, something we were previously unable to do," said Makhani.

###

Other authors on the study include Christine Lebrun, M.D.; Aksel Siva, M.D.; David Brassat M.D.; Clarisse Carra Dallière, M.D.; Jérôme de Seze, M.D.; Wei Du; Francoise Durand Dubief M.D.; Orhun Kantarci M.D.; Megan Langille, M.D.; Sona Narula M.D.; Jean Pelletier, M.D.; Juan Ignacio Rojas M.D.; Eugene D. Shapiro, M.D.; Robert T. Stone, M.D.; Mar Tintoré, M.D.; Ugur Uygunoglu M.D.; Patrick Vermersch, M.D.; Evangeline Wassmer M.D.; Darin T. Okuda, M.D.; and Daniel Pelletier, M.D.

The study was funded in part, by Yale's Clinical and Translational Science Award from NIH (CTSA grant UL1TR000142 from the National Center for Advancing Translational Science [NCATS]).

10.1212/NXI.0000000000000395

Keywords

Article Information

Contact Information

Karen Peart
Yale University
karen.peart@yale.edu

Source

How to Cite This Article

APA:
Yale University. (2017, October 13). MS risk in children spotted with MRI brain scans. Brightsurf News. https://www.brightsurf.com/news/12VNNWO1/ms-risk-in-children-spotted-with-mri-brain-scans.html
MLA:
"MS risk in children spotted with MRI brain scans." Brightsurf News, Oct. 13 2017, https://www.brightsurf.com/news/12VNNWO1/ms-risk-in-children-spotted-with-mri-brain-scans.html.