Bluesky Facebook Reddit Email

New super-fast MRI technique demonstrated with song 'If I Only Had a Brain'

04.21.15 | Beckman Institute for Advanced Science and Technology

GoPro HERO13 Black

GoPro HERO13 Black records stabilized 5.3K video for instrument deployments, field notes, and outreach, even in harsh weather and underwater conditions.


In order to sing or speak, around one hundred different muscles in our chest, neck, jaw, tongue, and lips must work together to produce sound. Beckman researchers investigate how all these mechanisms effortlessly work together--and how they change over time.

"The fact that we can produce all sorts of sounds and we can sing is just amazing to me," said Aaron Johnson, affiliate faculty member in the Bioimaging Science and Technology Group at the Beckman Institute and assistant professor in speech and hearing science at Illinois. "Sounds are produced by the vibrations of just two little pieces of tissue. That's why I've devoted my whole life to studying it: I think it's just incredible."

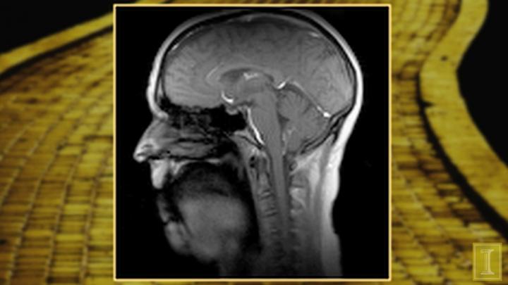
The sound of the voice is created in the larynx, located in the neck. When we sing or speak, the vocal folds--the two small pieces of tissue--come together and, as air passes over them, they vibrate, which produces sound.

After 10 years of working as a professional singer in Chicago choruses, Johnson's passion for vocal performance stemmed into research to understand the voice and its neuromuscular system, with a particular interest in the aging voice.

"The neuromuscular system and larynx change and atrophy as we age, and this contributes to a lot of the deficits that we associate with the older voice, such as a weak, strained, or breathy voice," Johnson said. "I'm interested in understanding how these changes occur, and if interventions, like vocal training, can reverse these effects. In order to do this, I need to look at how the muscles of the larynx move in real time."

Thanks to the magnetic resonance imaging (MRI) capabilities in Beckman's Biomedical Imaging Center (BIC), Johnson can view dynamic images of vocal movement at 100 frames per second--a speed that is far more advanced than any other MRI technique in the world.

"Typically, MRI is able to acquire maybe 10 frames per second or so, but we are able to scan 100 frames per second, without sacrificing the quality of the images," said Brad Sutton, technical director of the BIC and associate professor in bioengineering at Illinois.

The researchers published their technique in the journal Magnetic Resonance in Medicine .

The dynamic imaging is especially useful in studying how rapidly the tongue is moving, along with other muscles in the head and neck used during speech and singing.

"In order to capture the articulation movements, 100 frames per second is necessary, and that is what makes this technique incredible," Johnson said.

With a recent K23 Career Development Award from the National Institutes of Health (NIH), Johnson is investigating whether group singing training with older adults in residential retirement communities will improve the structure of the larynx, giving the adults stronger, more powerful voices. This research relies on pre- and post-data of laryngeal movement collected with the MRI technique.

The basis for the technique was developed by electrical and computer engineering professor Zhi-Pei Liang's group at the Beckman Institute. Sutton and his team further developed and implemented the technique to make high-speed speech imaging possible.

"The technique excels at high spatial and temporal resolution of speech--it's both very detailed and very fast. Often you can have only one these in MR imaging," said Sutton. "We have designed a specialized acquisition method that gathers the necessary data for both space and time in two parts and then combines them to achieve high-quality, high-spatial resolution, and high-speed imaging."

To combine the dynamic imaging with the audio, the researchers use a noise-cancelling fiber-optic microphone to pull out the voice, and then align the audio track with the imaging.

"We have a very dynamic community at the Beckman Institute and Illinois working on this, from engineers to linguists, and we're able to measure things with MRI in ways we couldn't have just a couple of years ago," Sutton said. "But what makes it worthwhile is having people like Aaron who ask the scientific questions that drive our research forward."

###

Magnetic Resonance in Medicine

Keywords

Article Information

Contact Information

August Cassens
Beckman Institute for Advanced Science and Technology
acassens@illinois.edu

Source

How to Cite This Article

APA:
Beckman Institute for Advanced Science and Technology. (2015, April 21). New super-fast MRI technique demonstrated with song 'If I Only Had a Brain'. Brightsurf News. https://www.brightsurf.com/news/12VQVMO1/new-super-fast-mri-technique-demonstrated-with-song-if-i-only-had-a-brain.html
MLA:
"New super-fast MRI technique demonstrated with song 'If I Only Had a Brain'." Brightsurf News, Apr. 21 2015, https://www.brightsurf.com/news/12VQVMO1/new-super-fast-mri-technique-demonstrated-with-song-if-i-only-had-a-brain.html.