Bluesky Facebook Reddit Email

New culprit for viral infections among elderly -- an overactive immune response

11.18.09 | Yale University

Creality K1 Max 3D Printer

Creality K1 Max 3D Printer rapidly prototypes brackets, adapters, and fixtures for instruments and classroom demonstrations at large build volume.


Researchers at Yale School of Medicine have found that exaggerated responses of the immune system explain why the elderly succumb to viral infections more readily than younger people. Published in the November 19 Cell Host & Microbe , the study bucks the general belief that declining immune responses are to blame for susceptibility to viral infections.

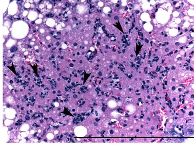
Illness and death caused by viral infections tend to increase with age, indicating that aging impairs immunity, but the underlying mechanisms are unclear. To understand how aging modifies inflammatory response to viral infection, a research team led by Daniel R. Goldstein, M.D., associate professor of internal medicine and cardiology at Yale School of Medicine, infected young (2-4 months), middle-aged (8-10 months), and aged (18-20 months) mice with the herpes virus. This led to a rapid increase in inflammatory mediators, or cytokines, called interleuken 17. When the team examined the blood for inflammatory substances and examined the liver, they saw evidence of damage in only the aged cohort.

When Goldstein and his team inhibited interleuken 17 either before or after infection, the mice in the aged group no longer showed signs of liver damage and no longer died. Goldstein said the study's results demonstrate that aged individuals succumb to viral infection due to exaggerated immune responses rather than declining immunity.

"This was a dramatic response to inhibiting a single cytokine," said Goldstein. "Aged mice do have defective immune responses, but instead of trying to boost their immune response, we should try to inhibit certain inflammatory pathways to prevent susceptibility to viral infections."

Goldstein said the findings could explain why older people are more susceptible to the seasonal influenza viral infection. "Our study could also explain why other susceptible populations succumb to viruses, such as the H1N1 pandemic virus, since it is possible that heightened immune responses—rather than defective immunity—attack the body and lead to disease in these individuals."

Other Yale authors on the study included Heather W. Stout-Delgado, Wei Du, Anushree C. Shiralli and Carmen J. Booth.

Citation: Cell Host & Microbe Vol. 6, No. 5 446-456, (November 19, 2009)

Cell Host & Microbe

Keywords

Article Information

Contact Information

How to Cite This Article

APA:
Yale University. (2009, November 18). New culprit for viral infections among elderly -- an overactive immune response. Brightsurf News. https://www.brightsurf.com/news/12VZWG21/new-culprit-for-viral-infections-among-elderly-an-overactive-immune-response.html
MLA:
"New culprit for viral infections among elderly -- an overactive immune response." Brightsurf News, Nov. 18 2009, https://www.brightsurf.com/news/12VZWG21/new-culprit-for-viral-infections-among-elderly-an-overactive-immune-response.html.