Bluesky Facebook Reddit Email

This is your brain on God: Spiritual experiences activate brain reward circuits

11.29.16 | University of Utah Health

Apple iPhone 17 Pro

Apple iPhone 17 Pro delivers top performance and advanced cameras for field documentation, data collection, and secure research communications.


SALT LAKE CITY - Religious and spiritual experiences activate the brain reward circuits in much the same way as love, sex, gambling, drugs and music, report researchers at the University of Utah School of Medicine . The findings will be published Nov. 29 in the journal Social Neuroscience .

"We're just beginning to understand how the brain participates in experiences that believers interpret as spiritual, divine or transcendent," says senior author and neuroradiologist Jeff Anderson, M.D., Ph.D. "In the last few years, brain imaging technologies have matured in ways that are letting us approach questions that have been around for millennia."

Specifically, the investigators set out to determine which brain networks are involved in representing spiritual feelings in one group, devout Mormons, by creating an environment that triggered participants to "feel the Spirit." Identifying this feeling of peace and closeness with God in oneself and others is a critically important part of Mormons' lives -- they make decisions based on these feelings; treat them as confirmation of doctrinal principles; and view them as a primary means of communication with the divine.

During fMRI scans, 19 young-adult church members -- including seven females and 12 males -- performed four tasks in response to content meant to evoke spiritual feelings. The hour-long exam included six minutes of rest; six minutes of audiovisual control (a video detailing their church's membership statistics); eight minutes of quotations by Mormon and world religious leaders; eight minutes of reading familiar passages from the Book of Mormon; 12 minutes of audiovisual stimuli (church-produced video of family and Biblical scenes, and other religiously evocative content); and another eight minutes of quotations.

During the initial quotations portion of the exam, participants -- each a former full-time missionary -- were shown a series of quotes, each followed by the question "Are you feeling the spirit?" Participants responded with answers ranging from "not feeling" to "very strongly feeling."

Researchers collected detailed assessments of the feelings of participants, who, almost universally, reported experiencing the kinds of feelings typical of an intense worship service. They described feelings of peace and physical sensations of warmth. Many were in tears by the end of the scan. In one experiment, participants pushed a button when they felt a peak spiritual feeling while watching church-produced stimuli.

"When our study participants were instructed to think about a savior, about being with their families for eternity, about their heavenly rewards, their brains and bodies physically responded," says lead author Michael Ferguson, Ph.D., who carried out the study as a bioengineering graduate student at the University of Utah.

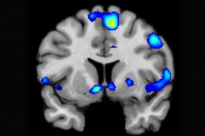
Based on fMRI scans, the researchers found that powerful spiritual feelings were reproducibly associated with activation in the nucleus accumbens, a critical brain region for processing reward. Peak activity occurred about 1-3 seconds before participants pushed the button and was replicated in each of the four tasks. As participants were experiencing peak feelings, their hearts beat faster and their breathing deepened.

In addition to the brain's reward circuits, the researchers found that spiritual feelings were associated with the medial prefrontal cortex, which is a complex brain region that is activated by tasks involving valuation, judgment and moral reasoning. Spiritual feelings also activated brain regions associated with focused attention.

"Religious experience is perhaps the most influential part of how people make decisions that affect all of us, for good and for ill. Understanding what happens in the brain to contribute to those decisions is really important," says Anderson, noting that we don't yet know if believers of other religions would respond the same way. Work by others suggests that the brain responds quite differently to meditative and contemplative practices characteristic of some eastern religions, but so far little is known about the neuroscience of western spiritual practices.

The study is the first initiative of the Religious Brain Project, launched by a group of University of Utah researchers in 2014, which aims to understand how the brain operates in people with deep spiritual and religious beliefs.

###

In addition to Anderson and Ferguson, co-authors include Jared Nielsen from Harvard University, and Jace King, Li Dai, Danielle Giangrasso, Rachel Holman, and Julie Korenberg from the University of Utah.

The study was funded by the Davis Endowed Chair in Radiology at the University of Utah, and the National Institute of Mental Health, and published as "Reward, Salience, and Attentional Networks are Activated by Religious Experience in Devout Mormons" in Social Neuroscience on Nov. 29, 2016.

Social Neuroscience

10.1080/17470919.2016.1257437

Keywords

Article Information

Contact Information

Julie Kiefer
University of Utah Health
m_jkiefer_52414_2258_julie.kiefer@hsc.utah.edu

How to Cite This Article

APA:
University of Utah Health. (2016, November 29). This is your brain on God: Spiritual experiences activate brain reward circuits. Brightsurf News. https://www.brightsurf.com/news/14GEVJOL/this-is-your-brain-on-god-spiritual-experiences-activate-brain-reward-circuits.html
MLA:
"This is your brain on God: Spiritual experiences activate brain reward circuits." Brightsurf News, Nov. 29 2016, https://www.brightsurf.com/news/14GEVJOL/this-is-your-brain-on-god-spiritual-experiences-activate-brain-reward-circuits.html.