Bluesky Facebook Reddit Email

Fighting penicilliosis -- identification of fungal protein Mp1p as virulence factor

08.25.16 | PLOS

SAMSUNG T9 Portable SSD 2TB

SAMSUNG T9 Portable SSD 2TB transfers large imagery and model outputs quickly between field laptops, lab workstations, and secure archives.


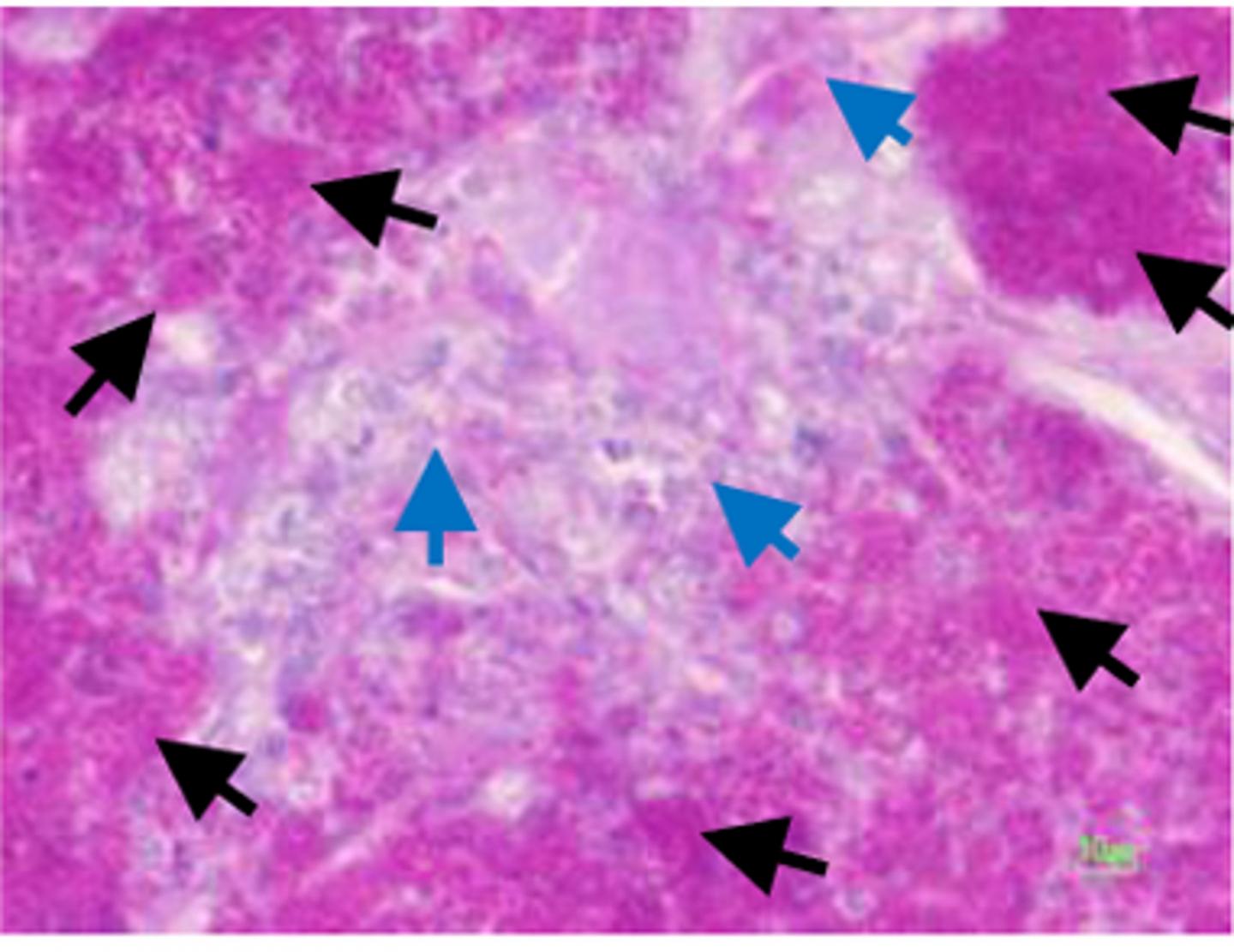
Penicilliosis, caused by the fungus Talaromyces marneffei , is a major opportunistic infection in Southeast Asia. A study published in PLOS Neglected Tropical Diseases reports that the fungal protein Mp1p is responsible for the pathogen's ability to cause disease in mice, and that it does so by allowing survival of the fungus in macrophages.

T. marneffei infects bamboo rats, which are endemic in Southeast Asia. Humans who are immunocompromised because of HIV/AIDS or immunosuppressive drugs following organ transplantation are thought to be infected through exposure to bamboo rat excrements. Patients with penicilliosis have poor prognosis without treatment, and, even with treatment, mortality is approximately 20%.

Kwok-Yung Yuen, from the University of Hong Kong, Hong Kong SAR, and colleagues have been working with T. marneffei , a close relative of the Penicillum fungus, for decades. They had previously shown that a fungal protein called Mp1p, found on the pathogen's surface, can function like a vaccine--exposure to the protein induces protective immunity in mice.

To further study the role of Mp1p, the researchers started this study by searching the T. marneffei genome for genes similar to the one encoding the Mp1p protein. The fungus, they found has 13 genes that are closely related to MP1. They named these relatives (or homologs) MPLP1-13. The researchers hypothesized that Mp1p and/or its homologs are so-called 'virulence factors' of T. marneffei , which means they contribute to the pathogen's ability to cause disease.

To test this hypothesis, they systematically interfered with one of the 13 MPLP genes as well as MP1 itself. As the researchers were able to confirm, this generated T. marneffei strains with dramatically reduced levels of individual Mp proteins. They then tested whether a fungal strain that produced no Mp1p or the 14 strains with low levels of individual Mp proteins could cause disease in mice. Sixty days after exposure to spores from the various strains, the researchers found that all mice infected with a strain that produced high levels of Mp1p died, even if they produced only low levels of one of the other Mp proteins. In contrast, mice infected with the strain that lacked Mp1p all survived. Infection with with the strain that had low levels of Mp1p killed some but not all of the mice.

The survival data were consistent with different pathogen loads in mice infected with the different strains. Mice exposed to strains with high Mp1p had high level of fungus in their internal organs. Fungal levels in mice infected with the strain that lacked Mp1p were approximately 100-fold lower, and exposure to the strain with reduced Mp1p had intermediate numbers of fungi in the examined tissues.

T. marneffei Mp1p, the researchers found, was also able to turn a harmless fungus into a more virulent one. When the researchers introduced the T. marneffei MP1 gene into the Pichia fungus (which doesn't have a related gene) and used the transgenic strain to infect mice, these mice had much higher levels of Pichia in their livers and spleens compared with mice infected with the parental Pichia strain.

Immune cells called macrophages (from Greek for 'big eaters') are the primary immune defense against fungal invaders such as T. marneffei . To get at the mechanism by which Mp1p promotes virulence, the researchers tested the ability of fungus strains with different levels of Mp1p to survive after they are ingested by T. marneffei macrophages. The more Mp1p, the researchers found, the higher the survival in macrophages.

Taken together, these results identify Mp1p as a bona fide virulence factor and potential drug target. As the researchers also discuss, T. marneffei is closely related to the Aspergillus species--highly virulent molds that cause fatalities world-wide in patients with hematological malignancies, transplant recipients, HIV positive patients and patients on corticosteroid therapy. Several of the most dangerous Aspergillus fungi have proteins similar to Mp1p, and the researchers plan to investigate those in future work.

###

Please contact plosntds@plos.org if you would like more information about our content and specific topics of interest.

All works published in PLOS Neglected Tropical Diseases are open access, which means that everything is immediately and freely available. Use this URL in your coverage to provide readers access to the paper upon publication:

http://dx.plos.org/10.1371/journal.pntd.0004907 (Link goes live upon article publication)

Funding: This work was partly supported by Mona Shaw and the Shaw Foundation; the Health and Medical Research Fund (No. HKM-15-M07 [commissioned project]), Food and Health Bureau, Government of the Hong Kong Special Administrative Region, Hong Kong; the Strategic Research Theme Fund of The University of Hong Kong; Research Grant Council Grant; Croucher Senior Medical Research Fellowship; HKU Award for CAE Membership and Dr Hector T.G. Ma; and a grant from the Canadian Institutes of Health Research (MOP-125879, to NER). The funders had no role in study design, data collection and analysis, decision to publish, or preparation of the manuscript.

Competing Interests: The authors have declared that no competing interests exist.

Citation: Woo PCY, Lau SKP, Lau CCY, Tung ETK, Chong KTK, Yang F, et al. (2016) Mp1p Is a Virulence Factor in Talaromyces ( Penicillium ) marneffei . PLoS Negl Trop Dis 10(8): e0004907. doi:10.1371/journal.pntd.0004907

PLOS Neglected Tropical Diseases

10.1371/journal.pntd.0004907

Keywords

Article Information

Contact Information

Kwok-Yung Yuen
kyyuen@hku.hk

How to Cite This Article

APA:
PLOS. (2016, August 25). Fighting penicilliosis -- identification of fungal protein Mp1p as virulence factor. Brightsurf News. https://www.brightsurf.com/news/14GR4RNL/fighting-penicilliosis-identification-of-fungal-protein-mp1p-as-virulence-factor.html
MLA:
"Fighting penicilliosis -- identification of fungal protein Mp1p as virulence factor." Brightsurf News, Aug. 25 2016, https://www.brightsurf.com/news/14GR4RNL/fighting-penicilliosis-identification-of-fungal-protein-mp1p-as-virulence-factor.html.