Bluesky Facebook Reddit Email

A crystal ball for brain cancer?

07.30.09 | University of California - Los Angeles

Anker Laptop Power Bank 25,000mAh (Triple 100W USB-C)

Anker Laptop Power Bank 25,000mAh (Triple 100W USB-C) keeps Macs, tablets, and meters powered during extended observing runs and remote surveys.


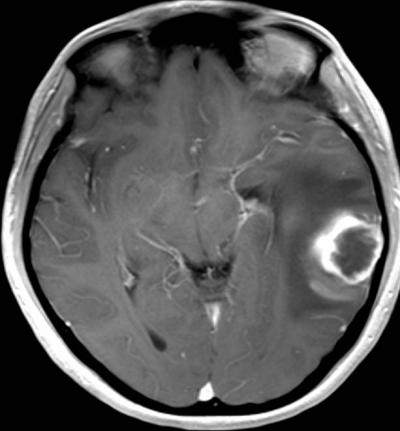
UCLA researchers have uncovered a new way to scan brain tumors and predict which ones will be shrunk by the drug Avastin -- before the patient ever starts treatment. By linking high water movement in tumors to positive drug response, the UCLA team predicted with 70 percent accuracy which patients' tumors were the least likely to grow six months after therapy.

Bronnie McNabb, 57, considers himself lucky. When his aggressive brain cancer returned after chemotherapy and radiation, his UCLA doctor prescribed the off-label use of Avastin, a drug shown to quell cancers in the breast, colon and lung.

One month later, McNabb's tumors had shrunk by 95 percent. Subsequent brain scans show no trace of his cancer at all. The former marathon runner, ordained minister and father of two says he hasn't felt this good since his diagnosis last winter.

In welcome news for patients like McNabb, the U.S. Food and Drug Administration approved the use of Avastin last month for the treatment of brain cancer. The powerful drug shrinks tumors by choking off their blood supply. Half of patients don't respond to the therapy, though, exposing them to unnecessary side effects and medication costing up to $10,000 per month.

Now UCLA scientists have uncovered a new way to image tumors and forecast which patients, like McNabb, are most likely to benefit from Avastin before starting a single dose of treatment. The findings are published in this month's issue of the journal Radiology .

"Avastin is an expensive drug, yet only 50 percent of patients with recurring brain cancers respond to it," said lead author Dr. Whitney Pope, assistant professor of radiological sciences at the David Geffen School of Medicine at UCLA. "Until now, there has been no good way to identify these patients in advance. Our work is the first to suggest that we can predict which tumors will respond before the patient ever starts therapy."

Pope and his colleagues focused on glioblastoma, the most common and deadly form of adult brain tumor, striking 12,000 Americans a year. Despite therapy with surgery, radiation and chemotherapy, the average glioblastoma patient lives only 12 to 15 months after diagnosis.

Survival rates drop even lower if the tumor returns. Conventional therapies produce little benefit; only 8 to 15 percent of patients survive without tumor growth six months after treatment.

The UCLA team studied 82 patients who had undergone surgery and radiation therapy to remove glioblastoma. Half of the patients received infusions of Avastin every two weeks. All underwent monthly brain scans by magnetic resonance imaging (MRI) to monitor change.

The researchers analyzed the MRI scans of the patients whose tumors returned. Explaining what the team saw requires an understanding of how the tumor creates an independent blood supply.

Cancer cells secrete a growth factor called VEGF that spurs the growth of new blood vessels to supply the tumor with oxygen and nutrients. Avastin blocks VEGF, essentially starving the tumor to death.

This process launches a chain of events that is detectable by MRI. Oxygen-starved cells produce more VEGF, which causes blood vessels to leak fluids into the tumor and surrounding tissue. This results in swelling, which boosts water's ability to move freely in the tumor and brain tissue. As cells disintegrate, they no longer pose a physical barrier to water movement.

"We theorized that tumors with more water motion would also have higher VEGF levels," explained Pope. "Because Avastin targets VEGF, it made sense that the drug would work better in tumors with high levels of the growth factor."

By measuring the amount of water motion within the tumor, the researchers were able to predict with 70 percent accuracy which patients' tumors would progress within six months and which would not. They detected greater water movement in the tumors of those persons who later responded best to Avastin.

"When we realized that high levels of VEGF are linked to greater cell death and increased water movement, we were able to predict the patients' response to Avastin before they began treatment," explained Pope. "We were correct 70 percent of the time. Previously, identifying which patients would respond was like flipping a coin. This is a huge improvement."

The research finding presents clear clinical benefits to the patient, says Pope. "Knowing this information ahead of time will help doctors personalize therapy for each patient and decrease exposure to side effects," he noted.

Pope and his colleagues plan to confirm their findings in a larger study. The team will also test the new method's ability to identify responsive patients prior to surgical removal of their tumor.

Pope's coauthors included Dr. Timothy Cloughesy, Hyun Kim, Jing Huo, Jeffry Alger, Matthew Brown, David Gjerson, Dr. Victor Sai, Jonathan Young, Leena Tekchandani, Dr. Paul Mischel, Dr. Albert Lai, Dr. Phioanh Nghiemphu, Dr. Syed Rahmanuddin and Dr. Jonathan Goldin. All authors are affiliated with UCLA, which funded the research.

Pope and Cloughesy are consultants for Genentech, which manufactures Avastin, and are collaborating with the company on several research studies.

Radiology

Keywords

Article Information

Contact Information

How to Cite This Article

APA:
University of California - Los Angeles. (2009, July 30). A crystal ball for brain cancer?. Brightsurf News. https://www.brightsurf.com/news/19V4XR58/a-crystal-ball-for-brain-cancer.html
MLA:
"A crystal ball for brain cancer?." Brightsurf News, Jul. 30 2009, https://www.brightsurf.com/news/19V4XR58/a-crystal-ball-for-brain-cancer.html.