Bluesky Facebook Reddit Email

HIF 1α viral vector inhibits hippocampal neuronal apoptosis: The future of gene therapy

07.21.14 | Neural Regeneration Research

Davis Instruments Vantage Pro2 Weather Station

Davis Instruments Vantage Pro2 Weather Station offers research-grade local weather data for networked stations, campuses, and community observatories.


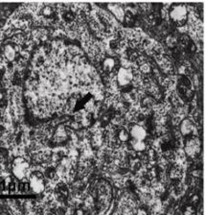
Hypoxia-inducible factor 1 (HIF-1) attenuates amyloid-beta protein neurotoxicity and decreases apoptosis induced by oxidative stress or hypoxia in cortical neurons. Prof. Xiqing Chai and co-workers from Hebei Chemical and Pharmaceutical College, China constructed a recombinant adeno-associated virus (rAAV) vector expressing the human HIF-1α gene (rAAV-HIF-1α) efficiently, and tested the assumption that rAAV-HIF-1α represses hippocampal neuronal apoptosis induced by amyloid-beta protein. Their results confirmed that rAAV-HIF-1α significantly reduces apoptosis induced by amyloid-beta protein in primary cultured hippocampal neurons. This mechanism may be related to HIF-1α-decreased hippocampal neuronal intracellular calcium concentration ([Ca2+]i), thereby inhibiting apoptotic cascade reactions. With these investigations published in the Neural Regeneration Research (Vol. 9, No. 11, 2014), gene therapy using rAAV to deliver HIF-1α may ultimately provide a new option for clinical treatment of Alzheimer's disease.

Article: " A viral vector expressing hypoxia-inducible factor 1 alpha inhibits hippocampal neuronal apoptosis," by Xiqing Chai1, Weina Kong1, Lingyun Liu2, Wenguo Yu1, Zhenqing Zhang3, Yimin Sun1 (1 Bioreactor and Protein Drug Research and Development Center of Hebei Universities, Hebei Chemical and Pharmaceutical College, Shijiazhuang, Hebei Province, China; 2 Department of Neurology, Shanghai Yangpu District Central Hospital, Shanghai, China; 3 Department of Neurology, the First Hospital of Hebei Medical University, Shijiazhuang, Hebei Province, China) Chai XQ, Kong WN, Liu LY, Yu WG, Zhang ZQ, Sun YM. A viral vector expressing hypoxia-inducible factor 1 alpha inhibits hippocampal neuronal apoptosis. Neural Regen Res. 2014;9(11):1145-1153.

Contact: Meng Zhao
eic@nrren.org
86-138-049-98773
Neural Regeneration Research
http://www.nrronline.org/

Neural Regeneration Research

Keywords

Article Information

Contact Information

Meng Zhao
eic@nrren.org

How to Cite This Article

APA:
Neural Regeneration Research. (2014, July 21). HIF 1α viral vector inhibits hippocampal neuronal apoptosis: The future of gene therapy. Brightsurf News. https://www.brightsurf.com/news/19VQ5X58/hif-1-viral-vector-inhibits-hippocampal-neuronal-apoptosis-the-future-of-gene-therapy.html
MLA:
"HIF 1α viral vector inhibits hippocampal neuronal apoptosis: The future of gene therapy." Brightsurf News, Jul. 21 2014, https://www.brightsurf.com/news/19VQ5X58/hif-1-viral-vector-inhibits-hippocampal-neuronal-apoptosis-the-future-of-gene-therapy.html.