Bluesky Facebook Reddit Email

Treatment of malignant glioma using hyperthermia

11.29.13 | Neural Regeneration Research

Rigol DP832 Triple-Output Bench Power Supply

Rigol DP832 Triple-Output Bench Power Supply powers sensors, microcontrollers, and test circuits with programmable rails and stable outputs.


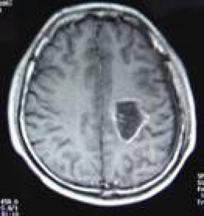
Malignant glioma is very sensitive to heat. Prof. Yunlong Ge and team from the Second Affiliated Hospital of Harbin Medical University, China used a brain tumor hyperthermia apparatus to treat malignant glioma patients, and achieved good therapeutic efficacy. The researchers found that the blood-brain barrier within and surrounding the tumor was completely destroyed after hyperthermia treatment, and chemotherapy drugs could then reach and target the tumor. Meanwhile, hyperthermia and radiotherapy could contribute synergistically to the treatment of brain glioma. These findings were published in the Neural Regeneration Research (Vol. 8, No. 29, 2013).

Article: "Treatment of malignant glioma using hyperthermia" by Jiahang Sun, Mian Guo, Hengyuan Pang, Jingtao Qi, Jinwei Zhang, Yunlong Ge (Department of Neurosurgery, the Second Affiliated Hospital of Harbin Medical University, Harbin 150000, Heilongjiang Province, China)

Sun JH, Guo M, Pang HY, Qi JT, Zhang JW, Ge YL. Treatment of malignant glioma using hyperthermia. Neural Regen Res. 2013;8(29):2775-2782.

Contact: Meng Zhao
eic@nrren.org
86-138-049-98773
Neural Regeneration Research
http://www.nrronline.org/

Full text: http://www.sjzsyj.org/CN/article/downloadArticleFile.do?attachType=PDF&id=751

Neural Regeneration Research

Keywords

Article Information

Contact Information

Meng Zhao
eic@nrren.org

How to Cite This Article

APA:
Neural Regeneration Research. (2013, November 29). Treatment of malignant glioma using hyperthermia. Brightsurf News. https://www.brightsurf.com/news/1EK76VO1/treatment-of-malignant-glioma-using-hyperthermia.html
MLA:
"Treatment of malignant glioma using hyperthermia." Brightsurf News, Nov. 29 2013, https://www.brightsurf.com/news/1EK76VO1/treatment-of-malignant-glioma-using-hyperthermia.html.