Bluesky Facebook Reddit Email

New possibilities for using ozonized erythrocyte mass explored by UNN scientists

07.26.18 | Lobachevsky University

SAMSUNG T9 Portable SSD 2TB

SAMSUNG T9 Portable SSD 2TB transfers large imagery and model outputs quickly between field laptops, lab workstations, and secure archives.


Any bleeding results in a decrease of the amount of circulating blood, and the disruption of the adequate supply of tissues with oxygen can lead to death. An important measure aimed at correcting the pathological effects of acute blood loss is to restore the globular volume of blood. However, transfusion with erythrocyte mass is not always effective, since after prolonged storage it can cause additional sludging and thrombosis of the microcirculatory bed, and, as a result, deterioration of the blood gas transport function.

It follows from the research of morphological and functional characteristics of preserved red blood cells that they need to be rehabilitated, and that there is some potential for such morphological and functional rehabilitation.

Lobachevsky University (UNN) researchers focused their attention on ozone therapy as a medical technology that can be successfully applied in the field of physiotherapy of pathological conditions accompanied by tissue hypoxia.

Initially, ozone was applied in medical practice as an antiseptic. It was used to treat poorly healing wounds, pressure sores, gangrene, severe burns and to stop severe bleeding. However, the interest in this method that has proved effective in practice, faded away undeservedly with the advent of new potent antibiotics. Only in 1970s, when it became obvious that the use of antibiotics in some cases was inexpedient, the medicinal properties of ozone came into limelight again and it was returned to the international research agenda.

Ozone's anti-hypoxic and antioxidant properties including those that affect morphological and functional properties of erythrocytes were demonstrated in numerous studies. This led the scientists at the Lobachevsky University to assume ozone's high potential in correcting the oxygen transport function of the erythrocyte mass that deteriorated during storage.

"It is important to study not only the state of erythrocytes which are treated with ozone, but also to examine the changes in the state of internal organs when using the ozonized erythrocyte mass. Since the decrease in the volume of circulating blood is associated with a change in hemodynamics, which directly involves the heart, maintaining its stable pumping and contractile function becomes one of the main tasks in case of blood loss," notes Anna Deryugina, Head of the Physiology and Anatomy Department at the UNN Institute of Biology and Biomedicine.

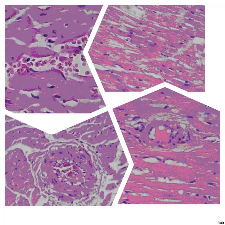
UNN researchers conducted a study of the morphological and functional state of erythrocytes and myocardial state in rats with blood loss during the posttransfusion period using ozonized erythrocyte mass.

It was shown that the use of ozonized erythrocyte mass increases the electronegativity of erythrocyte membranes, reduces their aggregation, and increases the intensity of metabolic processes in erythrocytes. By compensating acute blood loss with ozonized erythrocyte mass, it is possible to reduce the degree of manifestations of tissue hypoxia, as the rheological properties of blood and microcirculation of the myocardium improve during the posttransfusion period.

"During the posttransfusion period, myocardial microcirculation enhanced through the use of ozone limits the damage to the architectonics of the microcirculation bed and cardiomyocytes in the myocardium and facilitates the rapid and total recovery of the structural integrity of heart-cell organelles. Our research shows that ozone treatment of erythrocyte mass for transfusion has a cardioprotective effect," concludes Anna Deryugina.

###

Cell and Tissue Biology

10.1134/s1990519x18030033

Keywords

Article Information

Contact Information

Nikita Avralev
pr@unn.ru

How to Cite This Article

APA:
Lobachevsky University. (2018, July 26). New possibilities for using ozonized erythrocyte mass explored by UNN scientists. Brightsurf News. https://www.brightsurf.com/news/1WW03491/new-possibilities-for-using-ozonized-erythrocyte-mass-explored-by-unn-scientists.html
MLA:
"New possibilities for using ozonized erythrocyte mass explored by UNN scientists." Brightsurf News, Jul. 26 2018, https://www.brightsurf.com/news/1WW03491/new-possibilities-for-using-ozonized-erythrocyte-mass-explored-by-unn-scientists.html.