Bluesky Facebook Reddit Email

Reassessing spinal curvature of Neandertals

02.25.19 | Proceedings of the National Academy of Sciences

Apple Watch Series 11 (GPS, 46mm)

Apple Watch Series 11 (GPS, 46mm) tracks health metrics and safety alerts during long observing sessions, fieldwork, and remote expeditions.


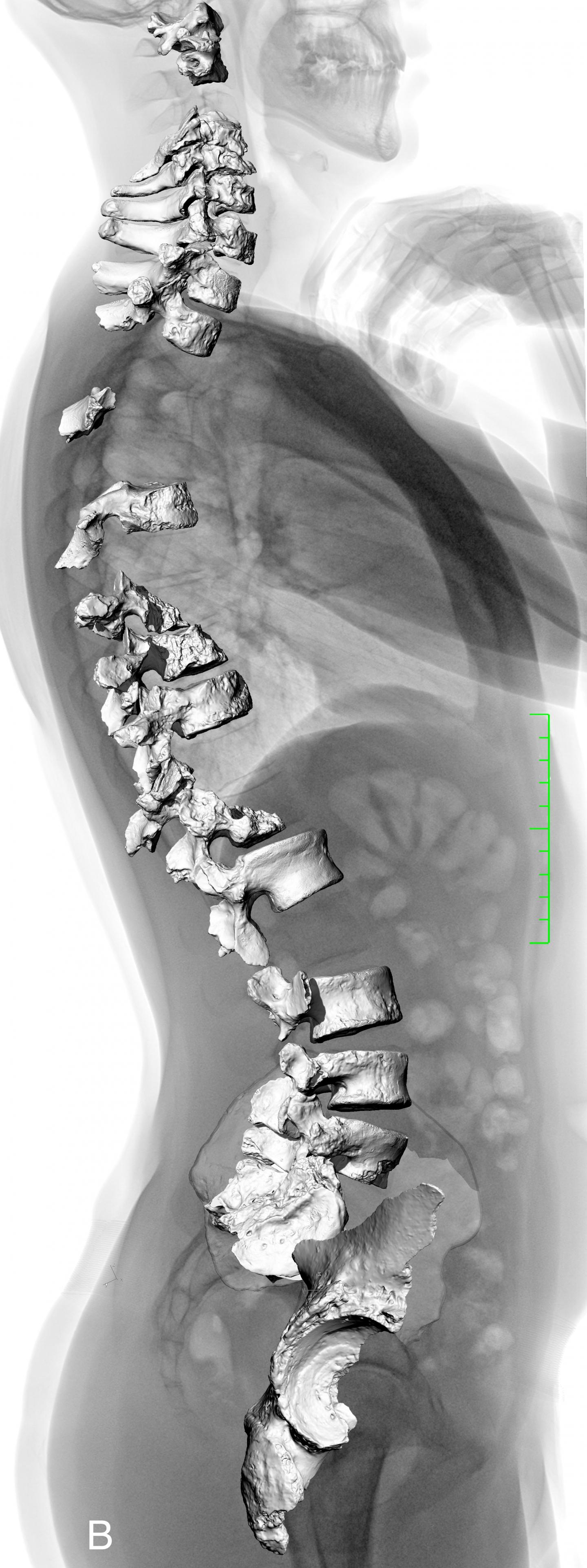
Researchers report a reanalysis of the vertebrae and pelvis of a Neandertal individual that indicates spinal curvatures similar to those of modern humans. Reconstructions of Neandertal posture have varied, with early reconstructions depicting Neandertals as hunched and incompletely upright and recent studies suggesting that Neandertals' spinal curvatures were flatter than those of modern humans. Martin Haeusler, Erik Trinkaus, and colleagues reassessed the vertebral remains of the La Chapelle-aux-Saints Neandertal individual, using a pelvic reconstruction to infer angles of curvature of the individual's spine. Considering the likely osteoarthritis and other age-related degenerations of the individual, the authors examined both the angle of the pelvis in relation to the spine and the articulations of the cervical and lumbar vertebrae. Both lines of evidence suggest that the spinal curvature of the individual was within the range of normal modern human posture, excepting the effects of disease. The findings are corroborated by other Neandertal individuals. According to the authors, the results suggest that previous interpretations that Neandertal anatomy is functionally different from modern humans may be inaccurate and that Neandertal anatomy and behavior were likely similar to those of modern humans.

###

Article #18-20745: "Morphology, pathology, and the vertebral posture of the La Chapelle-aux-Saints Neandertal," by Martin Haeusler et al.

MEDIA CONTACTS: Martin Haeusler, University of Zürich, SWITZERLAND; tel: (41) 44-635-0530; e-mail: < Martin.Haeusler@iem.uzh.ch >; Erik Trinkaus, Washington University in St. Louis, MO; tel: 314-935-5207; e-mail: < trinkaus@wustl.edu >

Proceedings of the National Academy of Sciences

Keywords

Article Information

Contact Information

How to Cite This Article

APA:
Proceedings of the National Academy of Sciences. (2019, February 25). Reassessing spinal curvature of Neandertals. Brightsurf News. https://www.brightsurf.com/news/1ZKNYJR1/reassessing-spinal-curvature-of-neandertals.html
MLA:
"Reassessing spinal curvature of Neandertals." Brightsurf News, Feb. 25 2019, https://www.brightsurf.com/news/1ZKNYJR1/reassessing-spinal-curvature-of-neandertals.html.