Bluesky Facebook Reddit Email

Messenger RNA therapy in mice

09.09.19 | Proceedings of the National Academy of Sciences

Kestrel 3000 Pocket Weather Meter

Kestrel 3000 Pocket Weather Meter measures wind, temperature, and humidity in real time for site assessments, aviation checks, and safety briefings.


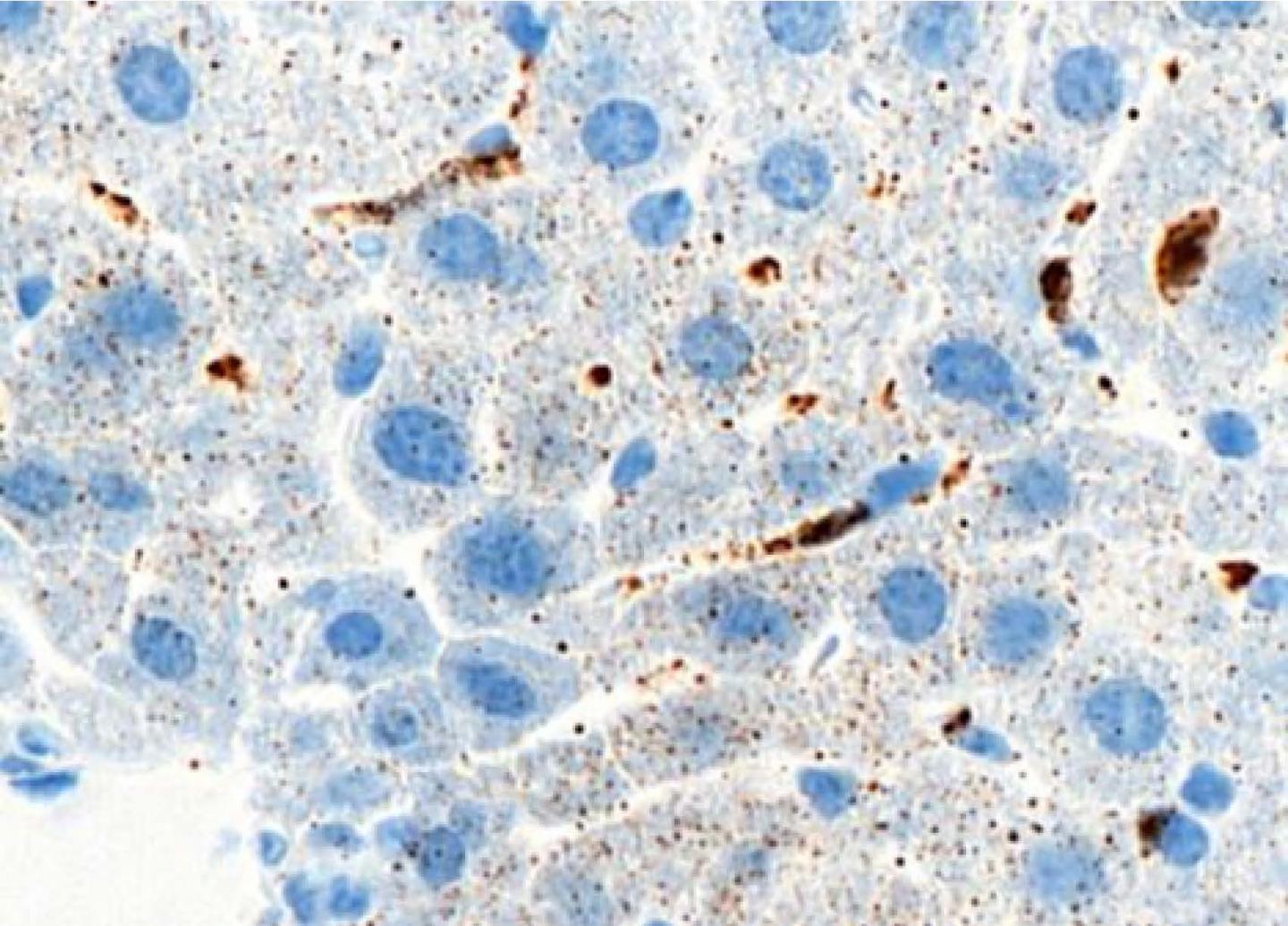
Genetic deficiency of the liver enzyme arginase interrupts the urea cycle and causes a range of symptoms in humans, and a study finds that in mice with a genetic arginase deficiency, administration of liver-targeted nanoparticles that carried a messenger RNA for the arginase gene resulted in restored urea cycle function, ammonium metabolism, and prolonged lifespan.

Article #19-06182: "Lipid nanoparticle-targeted mRNA therapy as a treatment for the inherited metabolic liver disorder arginase deficiency," by Brian Truong et al.

MEDIA CONTACT: Gerald S. Lipshutz, University of California, Los Angeles, CA; e-mail: glipshutz@mednet.ucla.edu

###

Proceedings of the National Academy of Sciences

Keywords

Article Information

Contact Information

Gerald S. Lipshutz
glipshutz@mednet.ucla.edu

How to Cite This Article

APA:
Proceedings of the National Academy of Sciences. (2019, September 9). Messenger RNA therapy in mice. Brightsurf News. https://www.brightsurf.com/news/80VGK43L/messenger-rna-therapy-in-mice.html
MLA:
"Messenger RNA therapy in mice." Brightsurf News, Sep. 9 2019, https://www.brightsurf.com/news/80VGK43L/messenger-rna-therapy-in-mice.html.