Bluesky Facebook Reddit Email

New method for minimally invasive tissue ablation surgery

02.06.15 | World Scientific

Davis Instruments Vantage Pro2 Weather Station

Davis Instruments Vantage Pro2 Weather Station offers research-grade local weather data for networked stations, campuses, and community observatories.


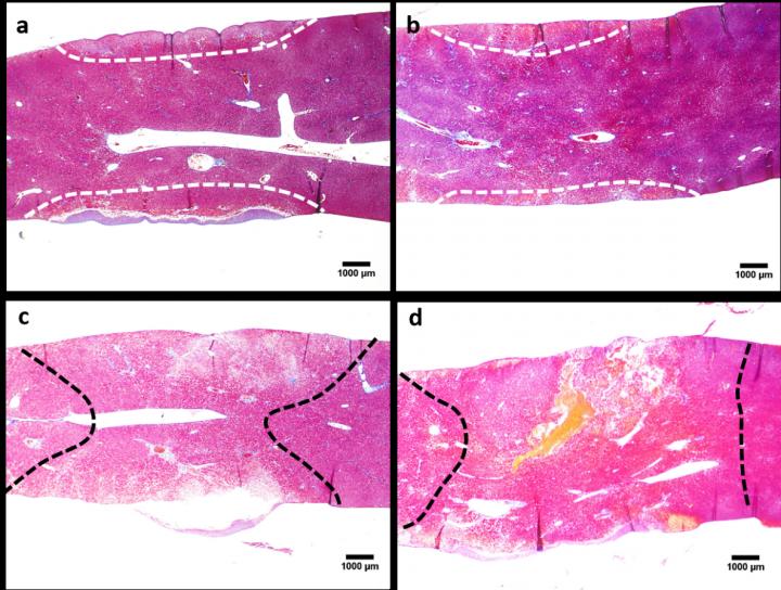
A team of researchers that includes scientists from the Quinnipiac University and the University of California, Berkeley reports a new method for minimally invasive tissue ablation surgery that combines electrolysis with reversible electroporation.

The interaction between electrical currents and biological media produces a variety of different biophysical phenomena, including two relevant to this study, electroporation and electrolysis. Electroporation occurs when very brief, microsecond length, high-magnitude electric fields are applied across cells, causing pores to form in the cell membrane. In reversible electroporation these pores are transient, and most cells survive the process. Since the early 1980's work of Neumann, reversible electroporation has become a routine method for introducing foreign genes and other molecules into cells. Tissue ablation by electrolysis emerged from the early 19th century work of Faraday on the chemical species produced at electrode surfaces immersed in an ionic solution. These chemical species diffuse away from the electrodes and into the tissue, causing local changes in pH. The resulting acidic and basic regions, as well as the presence of some of these new chemical species, causes cell death. This mechanism of cell death has been employed for minimally invasive surgery since the early 1800's. Electrolytic ablation is seen as advantageous since it requires very low currents and voltages. However, it is a time consuming process, because the method of cell death involves rate and dose dependent chemical reactions. The length of the procedure is considered a major disadvantage of electrolytic ablation, which has made it less attractive to surgeons.

By applying electric currents that modulate electrolysis with reversible electroporation pulses, the research group has shown that the tissue ablation by electrolysis is greatly increased, resulting in a new, more effective tissue ablation technique. The first study of this new ablation method is set to appear in the upcoming issue of the journal TECHNOLOGY .

The team hypothesizes that adding reversible electroporation pulses makes electrolysis so much more effective, because the pores formed in the cell membranes by reversible electroporation allow the chemical species produced by electrolysis to enter into the cell, causing cell death at much lower concentrations. By adding a sequence of reversible electroporation pulses, electrolysis may be able to be used to ablate larger cancer tumors. In addition, this new method may provide greater control over the region of tissue that gets treated, resulting in safer and more effective cancer treatment.

###

Co-authors of the TECHNOLOGY paper are Mary Phillips from the Engineering Department at Quinnipiac University, Narayan Raju from Pathology Research Laboratory, and Liel Rubinsky and Boris Rubinsky from the Mechanical Engineering Department at the University of California, Berkeley.

The corresponding author for this study in TECHNOLOGY is Dr. Mary Phillips, mary.phillips@quinnipiac.edu .

TECHNOLOGY

Keywords

Article Information

Contact Information

Source

How to Cite This Article

APA:
World Scientific. (2015, February 6). New method for minimally invasive tissue ablation surgery. Brightsurf News. https://www.brightsurf.com/news/86G06Q9L/new-method-for-minimally-invasive-tissue-ablation-surgery.html
MLA:
"New method for minimally invasive tissue ablation surgery." Brightsurf News, Feb. 6 2015, https://www.brightsurf.com/news/86G06Q9L/new-method-for-minimally-invasive-tissue-ablation-surgery.html.