Bluesky Facebook Reddit Email

GXYLT2: A prognostic biomarker and molecular driver of aggressiveness in gastric cancer

02.03.26 | Compuscript Ltd

SAMSUNG T9 Portable SSD 2TB

SAMSUNG T9 Portable SSD 2TB transfers large imagery and model outputs quickly between field laptops, lab workstations, and secure archives.


This new study published in Genes & Diseases by researchers from Shanghai Institute of Materia Medica, University of Chinese Academy of Sciences, Fudan University and The First Affiliated Hospital of Naval Medical University identifies glucoside xylosyltransferase 2 (GXYLT2) as a key prognostic biomarker and functional regulator of tumor aggressiveness in gastric cancer.

By integrating transcriptomic and clinical data from seven independent cohorts encompassing more than 1,500 patients, the researchers established a glycosylation-related molecular classification that robustly correlated with tumor stage, recurrence, and patient survival. Within this signature, GXYLT2 emerged as the most strongly prognostic gene.

Clinical analyses revealed that elevated GXYLT2 expression is significantly associated with advanced disease stage, poor overall survival, and reduced disease-free survival. Notably, GXYLT2 levels were markedly higher in the diffuse subtype of gastric cancer compared with the intestinal subtype, highlighting its subtype-specific relevance. Immunohistochemical validation further confirmed strong GXYLT2 expression in diffuse-type tumor tissues, supporting its translational potential as a prognostic marker.

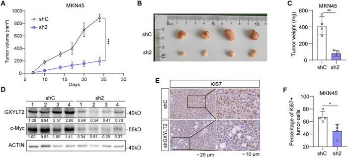
Functional studies demonstrated that GXYLT2 is not merely correlative but actively promotes malignant phenotypes. Genetic depletion of GXYLT2 significantly suppressed proliferation, invasion, and sphere-forming capacity in diffuse-type gastric cancer cells, while exerting minimal effects in intestinal-type cells. Conversely, ectopic expression of GXYLT2 alone was insufficient to confer aggressiveness in intestinal-type models, indicating that GXYLT2 operates within a context-dependent oncogenic network.

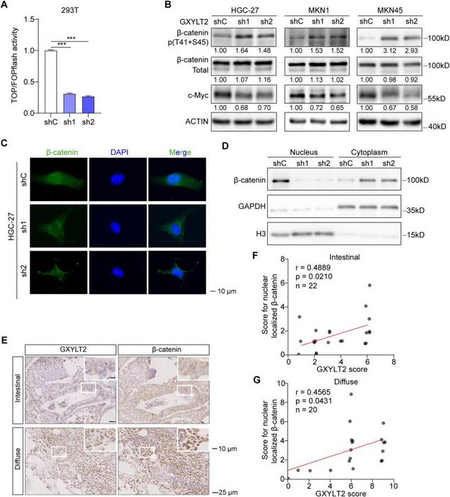
Mechanistically, the researchers reveal that GXYLT2 drives tumor progression through activation of the Wnt/β-catenin signaling pathway. Loss of GXYLT2 increased β-catenin phosphorylation, reduced nuclear accumulation, and diminished transcription of downstream Wnt target genes. Further investigation identified protein phosphatase 2A (PP2A) as a critical intermediary, showing that GXYLT2 suppresses PP2A activity, thereby sustaining β-catenin signaling. Restoration of PP2A function following GXYLT2 knockdown effectively attenuated Wnt-driven oncogenic signaling.

In vivo experiments corroborated these findings, demonstrating that GXYLT2 silencing significantly inhibited tumor growth and proliferation in xenograft models.

Together, these results establish GXYLT2 as both a clinically relevant prognostic biomarker and a mechanistic driver of Wnt/β-catenin–dependent aggressiveness in diffuse-type gastric cancer. Targeting GXYLT2 or its downstream signaling axis may provide a novel strategy for improving molecular stratification and therapeutic intervention in gastric cancer.

# # # # # #

Genes & Diseases publishes rigorously peer-reviewed and high quality original articles and authoritative reviews that focus on the molecular bases of human diseases. Emphasis is placed on hypothesis-driven, mechanistic studies relevant to pathogenesis and/or experimental therapeutics of human diseases. The journal has worldwide authorship, and a broad scope in basic and translational biomedical research of molecular biology, molecular genetics, and cell biology, including but not limited to cell proliferation and apoptosis, signal transduction, stem cell biology, developmental biology, gene regulation and epigenetics, cancer biology, immunity and infection, neuroscience, disease-specific animal models, gene and cell-based therapies, and regenerative medicine.

Scopus Cite Score: 8.4

Impact Factor: 9.4

More information: https://www.keaipublishing.com/en/journals/genes-and-diseases/

Editorial Board: https://www.keaipublishing.com/en/journals/genes-and-diseases/editorial-board/

All issues and articles in press are available online in ScienceDirect ( https://www.sciencedirect.com/journal/genes-and-diseases ).

Submissions to Genes & Diseases may be made using Editorial Manager ( https://www.editorialmanager.com/gendis/default.aspx ).

Print ISSN: 2352-4820

eISSN: 2352-3042

CN: 50-1221/R

Contact Us: editor@genesndiseases.cn

X (formerly twitter): @GenesNDiseases ( https://x.com/GenesNDiseases )

Genes & Diseases

10.1016/j.gendis.2025.101673

Keywords

Article Information

Contact Information

Conor Lovett
Compuscript Ltd
c.lovett@cvia-journal.org

Source

How to Cite This Article

APA:
Compuscript Ltd. (2026, February 3). GXYLT2: A prognostic biomarker and molecular driver of aggressiveness in gastric cancer. Brightsurf News. https://www.brightsurf.com/news/8J4O7MRL/gxylt2-a-prognostic-biomarker-and-molecular-driver-of-aggressiveness-in-gastric-cancer.html
MLA:
"GXYLT2: A prognostic biomarker and molecular driver of aggressiveness in gastric cancer." Brightsurf News, Feb. 3 2026, https://www.brightsurf.com/news/8J4O7MRL/gxylt2-a-prognostic-biomarker-and-molecular-driver-of-aggressiveness-in-gastric-cancer.html.