Bluesky Facebook Reddit Email

Princeton scientists discover a motif that guides assembly of the algal pyrenoid

11.25.20 | Princeton University

SAMSUNG T9 Portable SSD 2TB

SAMSUNG T9 Portable SSD 2TB transfers large imagery and model outputs quickly between field laptops, lab workstations, and secure archives.


The next time you visit a lake or the seashore, take a deep breath. As you exhale, take a moment to be thankful for the little things: specifically, for the microscopic, single-celled algae in the soil and waters all around you that are extracting the carbon dioxide you just exhaled and incorporating it into sugars that will eventually be used by every other organism in the biosphere. About 30% of this activity, globally, is carried out by a specialized structure in algae called the pyrenoid.

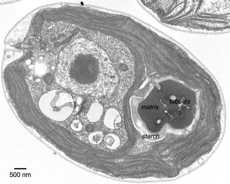
To visualize a pyrenoid, think of a pomegranate. The pyrenoid contains kernels of Rubisco, the enzyme that carries out the molecular work of incorporating carbon dioxide into sugars. These kernels are embedded in a supportive flesh, or matrix, of other proteins, that is itself surrounded by an outer shell made of starch. The fruit is a bit worm-eaten; it is riddled with fingerlike channels -- actually, tubules enclosed by membrane -- that deliver concentrated carbon dioxide to the Rubisco kernels. The tubules are important to pyrenoid function because waterborne algae such as Chlamydomonas reinhardtii would otherwise struggle to get enough carbon dioxide to keep Rubisco operating at peak capacity.

The pyrenoid presents several enigmas for scientists. For example, how the proteins that make up the pyrenoid are routed there, and how they organize into such a complex arrangement, has been an enduring mystery. New work from the laboratory of Martin Jonikas , an Assistant Professor in the Department of Molecular Biology at Princeton, and collaborators, has now solved this riddle.

"The key initial discovery was made by chance," says Jonikas.

Research Molecular Biologist Moritz Meyer and colleagues were trying to identify what proteins are present in the pyrenoid besides Rubisco. To do this, they used an antibody: a protein that, like a key, attaches to other proteins that possess a specific, matching lock. Meyer and colleagues planned to crack open algae and then add an antibody that binds a particular matrix protein to the resulting molecular soup. By pulling on the antibody, the scientists could drag that protein out. Any other proteins that bind to the antibody's target protein would come along for the ride, and the scientists could then determine whether any of them were previously unknown pyrenoid components. But the experiment didn't turn out as expected.

"We noticed that the antibody directly bound to several pyrenoid-localized proteins," says Jonikas. In other words, they'd just discovered that all these proteins possess a lock matching their antibody's key. Closer examination of the proteins revealed the existence of a sequence of amino acids, or motif, that is present in the antibody's original target and also appears in all of the other proteins.

"We hypothesized that this motif may serve as a signal that targets the proteins to the pyrenoid, and the experiments we did support this hypothesis," explains Jonikas. "Removing the motif from one of the motif-containing proteins caused it to no longer localize to the pyrenoid, while adding it to non-pyrenoid proteins caused them to localize to the pyrenoid."

Meyer and colleagues found that the motif binds to Rubisco. This explains how the pyrenoid forms: its component proteins remain loose in the cell until they bump into Rubisco and become trapped.

"Several of the proteins do not simply localize to the pyrenoid matrix, but rather appear to localize to the interfaces between the matrix and the pyrenoid's two other sub-compartments, the pyrenoid tubules and the starch sheath," notes Jonikas. This may allow the proteins to self-organize into the complex pyrenoid structure.

"The study represents an exquisite example of investigative science," says Dr. Howard Griffiths, Professor of Plant Science at Cambridge University in the United Kingdom. Dr. Griffiths has collaborated with Jonikas's group on other studies, but he was not involved in this work.

"They used clever experimental manipulations to prove that a common motif could allow the specific linker to form the Rubisco matrix, and anchor other key elements both internally to the thylakoid tubules, and the starch sheath towards the periphery," says Griffiths. "Overall, the report by Meyer and colleagues has made a significant contribution to our understanding of pyrenoid form and function, with relevance both for understanding aquatic primary productivity, and to underpin approaches seeking to incorporate such a mechanism to 'turbocharge' photosynthesis in terrestrial crop plants."

###

This research was supported by grants to M.C.J. by NSF (IOS-1359682 and MCB-1935444), NIH (DP2-GM-119137), and the Simons Foundation and Howard Hughes Medical Institute (55108535); and to L.C.M.M. by the UK Biotechnology and Biological Sciences Research Council (BB/R001014/1).

Citation: Moritz T. Meyer, Alan K. Itakura, Weronika Patena, Lianyong Wang, Shan He, Tom Emrich-Mills, Chun S. Lau, Gary Yates, Luke C. M. Mackinder, Martin C. Jonikas. Assembly of the algal CO2-fixing organelle, the pyrenoid, is guided by a Rubisco-binding motif. Science Advances . 2020. 6 : eabd2408 . doi: https://doi.org/10.1126/sciadv.abd2408

Science Advances

10.1126/sciadv.abd2408

Keywords

Article Information

Contact Information

Caitlin Sedwick
Princeton University
lizfw@princeton.edu

How to Cite This Article

APA:
Princeton University. (2020, November 25). Princeton scientists discover a motif that guides assembly of the algal pyrenoid. Brightsurf News. https://www.brightsurf.com/news/8X50OVO1/princeton-scientists-discover-a-motif-that-guides-assembly-of-the-algal-pyrenoid.html
MLA:
"Princeton scientists discover a motif that guides assembly of the algal pyrenoid." Brightsurf News, Nov. 25 2020, https://www.brightsurf.com/news/8X50OVO1/princeton-scientists-discover-a-motif-that-guides-assembly-of-the-algal-pyrenoid.html.