Bluesky Facebook Reddit Email

Nanoporous gold sponge makes DNA detector

09.04.15 | University of California - Davis

SAMSUNG T9 Portable SSD 2TB

SAMSUNG T9 Portable SSD 2TB transfers large imagery and model outputs quickly between field laptops, lab workstations, and secure archives.


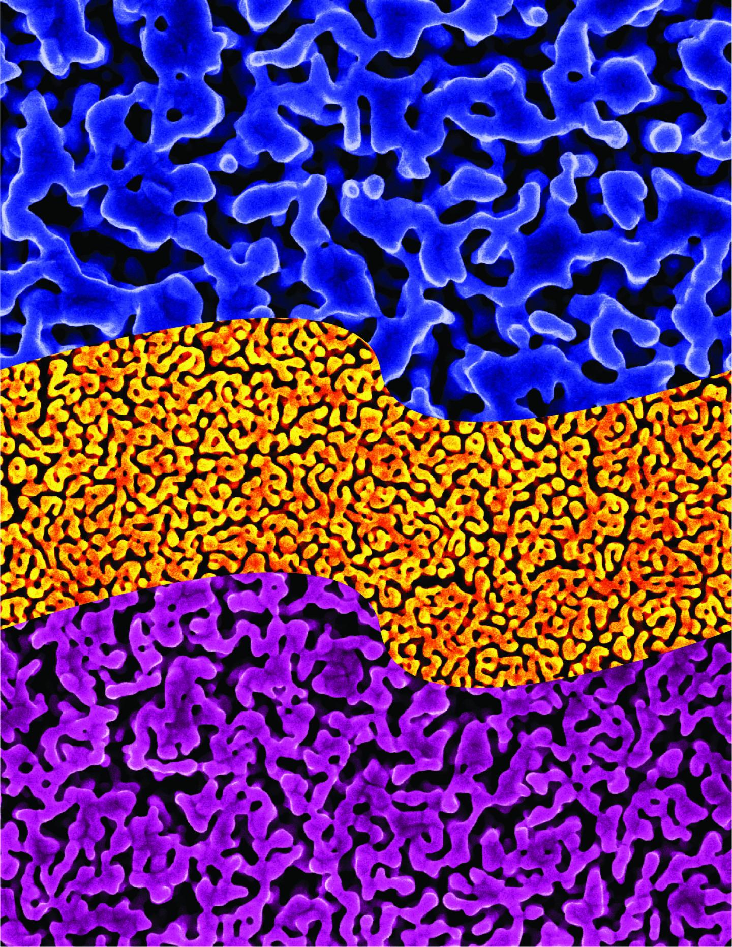
Sponge-like nanoporous gold could be key to new devices to detect disease-causing agents in humans and plants, according to UC Davis researchers.

In two recent papers in Analytical Chemistry , a group from the UC Davis Department of Electrical and Computer Engineering demonstrated that they could detect nucleic acids using nanoporous gold, a novel sensor coating material, in mixtures of other biomolecules that would gum up most detectors. This method enables sensitive detection of DNA in complex biological samples, such as serum from whole blood.

"Nanoporous gold can be imagined as a porous metal sponge with pore sizes that are a thousand times smaller than the diameter of a human hair," said Erkin ?eker, assistant professor of electrical and computer engineering at UC Davis and the senior author on the papers. "What happens is the debris in biological samples, such as proteins, is too large to go through those pores, but the fiber-like nucleic acids that we want to detect can actually fit through them. It's almost like a natural sieve."

Rapid and sensitive detection of nucleic acids plays a crucial role in early identification of pathogenic microbes and disease biomarkers. Current sensor approaches usually require nucleic acid purification that relies on multiple steps and specialized laboratory equipment, which limit the sensors' use in the field. The researchers' method reduces the need for purification.

"So now we hope to have largely eliminated the need for extensive sample clean-up, which makes the process conducive to use in the field," ?eker said.

The result is a faster and more efficient process that can be applied in many settings.

The researchers hope the technology can be translated into the development of miniature point-of-care diagnostic platforms for agricultural and clinical applications.

"The applications of the sensor are quite broad ranging from detection of plant pathogens to disease biomarkers," said ?eker.

For example, in agriculture, scientists could detect whether a certain pathogen exists on a plant without seeing any symptoms. And in sepsis cases in humans, doctors might determine bacterial contamination much more quickly than at present, preventing any unnecessary treatments.

###

Other authors of the studies were Pallavi Daggumati, Zimple Matharu, and Ling Wang in the Department of Electrical and Computer Engineering at UC Davis.

This work is funded by the UC Davis Research Investments in the Sciences and Engineering (RISE) program, which encourages interdisciplinary work to solve problems facing the world today, as well as the UC Lab Fees Research Program and the National Science Foundation.

Analytical Chemistry

10.1021/acs.analchem.5b02969

Keywords

Article Information

Contact Information

Andy Fell
University of California - Davis
ahfell@ucdavis.edu

Source

How to Cite This Article

APA:
University of California - Davis. (2015, September 4). Nanoporous gold sponge makes DNA detector. Brightsurf News. https://www.brightsurf.com/news/8XGRNR01/nanoporous-gold-sponge-makes-dna-detector.html
MLA:
"Nanoporous gold sponge makes DNA detector." Brightsurf News, Sep. 4 2015, https://www.brightsurf.com/news/8XGRNR01/nanoporous-gold-sponge-makes-dna-detector.html.