Bluesky Facebook Reddit Email

Segmenting ultrasound video with a wavelet variational model

04.27.16 | Society for Industrial and Applied Mathematics

Creality K1 Max 3D Printer

Creality K1 Max 3D Printer rapidly prototypes brackets, adapters, and fixtures for instruments and classroom demonstrations at large build volume.


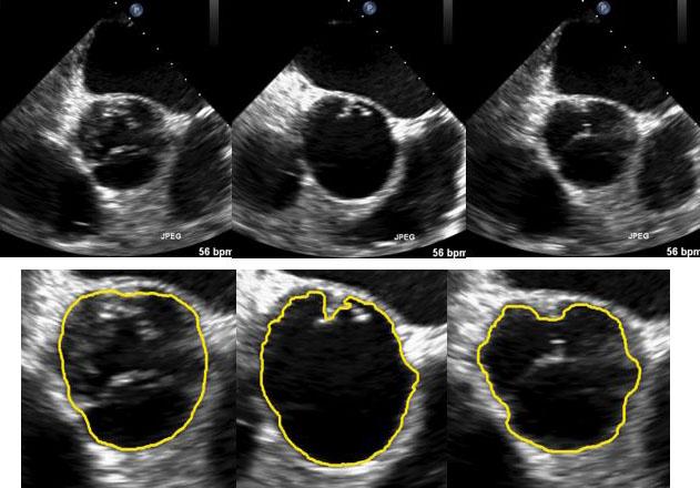
Image segmentation, the process of separating a digital image into multiple sections for individual examination, is frequently used in medical image analysis. For example, segmentation in ultrasound footage helps identify boundaries and regions of interest (ROI) that facilitate image interpretation. Efficient segmentation of ultrasound videos, however, is often complicated by low contrast, shadow effects, and complex "noise" statistics (unexplained variations). In addition, real-time applications such as navigation during operational surgery require efficient algorithms.

In an article published this month in the SIAM Journal on Imaging Sciences , authors Jiulong Liu, Xiaoqun Zhang, Bin Dong, Zuowei Shen, and Lixu Gu propose a video segmentation model to recognize ROI in ultrasounds. "The proposed model aims to track a moving boundary in ultrasound video efficiently and robustly, with a mathematically-sound framework," says Zhang. "Specifically, we tackle the problem by using wavelet frames and incorporating the noise statistics under a variational framework. The continuity and regularity of the moving boundary is effectively incorporated via weighted regularization, without introducing a heavy computational burden. The overall method can be efficiently solved with a recently-developed fast algorithm, making it useful in real-time clinical applications."

Multiple published methods of image segmentation currently exist, but Liu et al. specifically implement variational methods, which are commonly used for motion tracking and edge detection due to their modeling flexibility. "Variational methods have been demonstrated to be robust and effective for complicated image segmentation tasks," says Dong. "The variational framework permits solid theoretical analysis of the models that can well guide the modeling itself and provide fundamental understanding of the solutions."

Liu et al. also chose to incorporate wavelet frames, which collect more detail than other variational methods and efficiently segment low-quality footage, such as ultrasound video. This is especially true when the image includes features at various scales. "Wavelet frame regularization is used because the geometric structures and singularities in different scales can be identified and extracted efficiently from complex noise environments in the wavelet domain," says Shen. "It allows us to track and sharpen geometric shapes when they are segmented automatically through sequential images in the video."

The authors designed their model to segment an ultrasound video both sequentially and collectively. The model incorporates shape priors - a type of probability distribution - in single-image segmentation and computes consecutive shape priors automatically for subsequent segmentations.

Liu et al. apply their model to two ultrasound video data sets and obtain numerical results, which confirm the model's ability to efficiently track ROI. "Ultrasound imaging is an important modality in clinical application due to its low cost and portability," says Liu. "However, its related analysis for accurate diagnosis and monitoring is still challenging due to low image quality, artifacts, and noise. The numerical results on real ultrasound data sets demonstrate that the proposed wavelet frame model with distance prior can track the regions of interest effectively, in terms of both segmentation quality and computational time." The results compare favorably with other approaches.

The model's success could improve medical approaches and technology that rely on image segmentation, and Liu et al. are looking to expand its use. "The model can be further extended to other imaging modality or to locate multi-region simultaneously," says Liu. "More geometric and prior information can be used to enhance the robustness of the method." Such advancements will continue to increase the speed, efficiency, and performance of image segmentation.

###

Source Article:

A Wavelet Frame Method with Shape Prior for Ultrasound Video Segmentation SIAM Journal on Imaging Sciences , 9(2), 495-519. (Online publish date: April 7, 2016).

About the Authors:

Jiulong Liu is a Ph.D. student at in the Department of Mathematics at Shanghai Jiao Tong University. His research interests are mathematical modeling and computation in medical imaging. Xiaoqun Zhang is an associate professor in the Department of Mathematics and the Institute of Natural Sciences at Shanghai Jiao Tong University. Her research interests are mathematical modeling and the use of algorithms in imaging science. Bin Dong is an associate professor of mathematics at Peking University. His research interests include mathematical modeling, computation in imaging science, and high dimensional data analysis. Zuowei Shen is Tan Chin Tuan Centennial Professor in the Department of Mathematics at the National University of Singapore. He studies approximation theory and wavelet theory; time-frequency analysis, and imaging science. Lixu Gu is a professor in the School of Biomedical Engineering and Shanghai Jiao Tong University. His research interests are in medical image analysis, pattern recognition, and computer-aided diagnosis.

SIAM Journal on Imaging Sciences

10.1137/15M1033344

Keywords

Article Information

Contact Information

Becky Kerner
kerner@siam.org

Source

How to Cite This Article

APA:
Society for Industrial and Applied Mathematics. (2016, April 27). Segmenting ultrasound video with a wavelet variational model. Brightsurf News. https://www.brightsurf.com/news/8XGXVYP1/segmenting-ultrasound-video-with-a-wavelet-variational-model.html
MLA:
"Segmenting ultrasound video with a wavelet variational model." Brightsurf News, Apr. 27 2016, https://www.brightsurf.com/news/8XGXVYP1/segmenting-ultrasound-video-with-a-wavelet-variational-model.html.