Bluesky Facebook Reddit Email

Parents: Be mindful of hazardous holiday ornaments

12.14.09 | Boston Children's Hospital

DJI Air 3 (RC-N2)

DJI Air 3 (RC-N2) captures 4K mapping passes and environmental surveys with dual cameras, long flight time, and omnidirectional obstacle sensing.


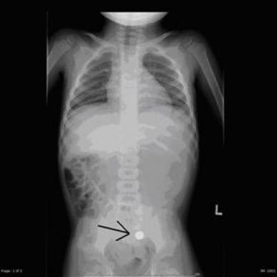
A new study from Children's Hospital Boston's Division of Emergency Medicine has found that holiday decorations, particularly glass ornaments, are one more safety hazard parents must consider during the season. A review of records from Children's Emergency Department revealed an average of five ornament-related injuries per year; more than half of these injuries involve a child eating fragments of these ornaments, including batteries and pieces of glass.

"Parents need to be vigilant during the holiday season, even though it's also a busy time of year," says co-author Lois Lee, MD, MPH, of Children's Division of Emergency Medicine, who also directs the hospital's Emergency Department Injury Prevention Program. "If you know that your child has a tendency to put things in his or her mouth, you should be especially careful."

The retrospective study was published in the December 2009 issue of Pediatric Emergency Care .

The study authors conducted a computer search through emergency department records from Children's, dating October 1995 through March 2008, for words such as "holiday," "ornaments" and "glass." They narrowed their search down by manually inspecting the records that their computer search returned. Out of a total of 76 cases:

Ornament-related injuries often lead to otherwise avoidable medical procedures. Facial lacerations have required stitches. In addition, accidental ingestions have required testing with X-rays and CT scans, and there is particular concern of radiation exposure from CT scans in children. Such hospital visits are also an unwelcome inconvenience during the holiday festivities, Lee says.

The consistent injury rate occurring throughout the years examined in this study have researchers recommending that health professionals talk to parents about the use of holiday decorations and hazards that can be avoided.

"If there are toddlers in the house, keep them away from the Christmas tree, or at least keep the ornaments off the lower branches where the children can reach them," Lee says. Furthermore, parents may want to gate off the Christmas tree, and stabilize the tree to make sure it does not fall on anyone.

Children's Hospital Boston is home to the world's largest research enterprise based at a pediatric medical center, where its discoveries have benefited both children and adults since 1869. More than 500 scientists, including eight members of the National Academy of Sciences, 13 members of the Institute of Medicine and 12 members of the Howard Hughes Medical Institute comprise Children's research community. Founded as a 20-bed hospital for children, Children's Hospital Boston today is a 396-bed comprehensive center for pediatric and adolescent health care grounded in the values of excellence in patient care and sensitivity to the complex needs and diversity of children and families. Children's also is the primary pediatric teaching affiliate of Harvard Medical School. For more information about the hospital and its research visit: www.childrenshospital.org/newsroom .

Pediatric Emergency Care

Keywords

Article Information

Contact Information

Source

How to Cite This Article

APA:
Boston Children's Hospital. (2009, December 14). Parents: Be mindful of hazardous holiday ornaments. Brightsurf News. https://www.brightsurf.com/news/8YW5DRZ1/parents-be-mindful-of-hazardous-holiday-ornaments.html
MLA:
"Parents: Be mindful of hazardous holiday ornaments." Brightsurf News, Dec. 14 2009, https://www.brightsurf.com/news/8YW5DRZ1/parents-be-mindful-of-hazardous-holiday-ornaments.html.