Bluesky Facebook Reddit Email

Brain chemical ratios help predict developmental delays in preterm infants

12.17.13 | Radiological Society of North America

SAMSUNG T9 Portable SSD 2TB

SAMSUNG T9 Portable SSD 2TB transfers large imagery and model outputs quickly between field laptops, lab workstations, and secure archives.


OAK BROOK, Ill. – Researchers have identified a potential biomarker for predicting whether a premature infant is at high risk for motor development problems, according to a study published online in the journal Radiology .

"We are living in an era in which survival of premature birth is more common," said Giles S. Kendall, Ph.D., consultant for the neonatal intensive care unit at University College London Hospitals NHS Foundation Trust and honorary senior lecturer of neonatal neuroimaging and neuroprotection at the University College London. "However, these infants continue to be at risk for neurodevelopmental problems."

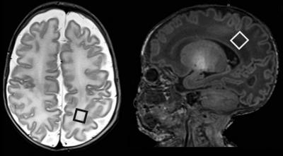
Patients in the study included 43 infants (24 male) born at less than 32 weeks gestation and admitted to the neonatal intensive care unit (NICU) at the University College of London between 2007 and 2010. Dr. Kendall and his research team performed magnetic resonance imaging (MRI) and MR spectroscopy (MRS) exams on the infants at their approximate expected due dates (or term-equivalent age). MRS measures chemical levels in the brain.

The imaging studies were focused on the white matter of the brain, which is composed of nerve fibers that connect the functional centers of the brain.

"The white matter is especially fragile in the newborn and at risk for injury," Dr. Kendall explained.

One year later, 40 of the 43 infants were evaluated using the Bayley Scales of Infant and Toddler Development, which assess fine motor, gross motor and communication abilities. Of the 40 infants evaluated, 15 (38 percent) had abnormal composite motor scores and four (10 percent) showed cognitive impairment.

Statistical analysis of the MRS results and Bayley Scales scores revealed that the presence of two chemical ratios—increased choline/creatine (Cho/Cr) and decreased N-acetylaspartate/choline (NAA/Cho)—at birth were significantly correlated with developmental delays one year later.

"Low N-acetylaspartate/choline and rising choline/creatine observed during MRS at the baby's expected due date predicted with 70 percent certainty which babies were at high risk for motor development problems at one year," Dr. Kendall said.

Dr. Kendall said a tool to predict the likelihood of a premature baby having neurodevelopmental problems would be useful in determining which infants should receive intensive interventions and in testing the effectiveness of those therapies.

"Physiotherapy interventions are available but are very expensive, and the vast majority of premature babies don't need them," Dr. Kendall said. "Our hope is to find a robust biomarker that we can use as an outcome measure so that we don't have to wait five or six years to see if an intervention has worked."

Dr. Kendall said severe disability associated with premature births has decreased over the past two decades as a result of improved care techniques in the NICU. However, many premature infants today have subtle abnormalities that are difficult to detect with conventional MRI.

"There's a general shift away from simply ensuring the survival of these infants to how to give them the best quality of life," he said. "Our research is part of an effort to improve the outcomes for prematurely born infants and to identify earlier which babies are at greater risk."

"White Matter NAA/Cho and Cho/Cr on MRS Predict Motor Outcome in Preterm Infants." Collaborating with Dr. Kendall were Andrew Melbourne, Ph.D., Samantha Johnson, Ph.D., David Price, M.Sc., Alan Bainbridge, Ph.D., Roxanna Gunny, MRCP, FRCR, Angela Huertas-Ceballos, FRCPCH, M.Sc., Ernest B. Cady. FInstP, B.Sc., Sebastian Ourselin, Ph.D., Neil Marlow, D.M., FMedSci, and Nicola J. Robertson, M.B., Ch.B., Ph.D.

Radiology is edited by Herbert Y. Kressel, M.D., Harvard Medical School, Boston, Mass., and owned and published by the Radiological Society of North America, Inc. ( http://radiology.rsna.org/ )

RSNA is an association of more than 53,000 radiologists, radiation oncologists, medical physicists and related scientists promoting excellence in patient care and health care delivery through education, research and technologic innovation. The Society is based in Oak Brook, Ill. ( RSNA.org )

For patient-friendly information on MRI, visit RadiologyInfo.org .

Radiology

Keywords

Article Information

Contact Information

Linda Brooks
lbrooks@rsna.org

How to Cite This Article

APA:
Radiological Society of North America. (2013, December 17). Brain chemical ratios help predict developmental delays in preterm infants. Brightsurf News. https://www.brightsurf.com/news/L3Y7Q301/brain-chemical-ratios-help-predict-developmental-delays-in-preterm-infants.html
MLA:
"Brain chemical ratios help predict developmental delays in preterm infants." Brightsurf News, Dec. 17 2013, https://www.brightsurf.com/news/L3Y7Q301/brain-chemical-ratios-help-predict-developmental-delays-in-preterm-infants.html.