Bluesky Facebook Reddit Email

Fuel cell membrane materials offer solution for removing salt from water

09.13.06 | Virginia Tech

Sky & Telescope Pocket Sky Atlas, 2nd Edition

Sky & Telescope Pocket Sky Atlas, 2nd Edition is a durable star atlas for planning sessions, identifying targets, and teaching celestial navigation.


Blacksburg, Va., September 13, 2006 -- The problem of separating salt from water has long been solved by forcing the water through a polyamide membrane in a process called reverse osmosis (RO). However, the water can't be disinfected with chlorine because it degrades polyamid material. Now, researchers at Virginia Tech have created a new polymer membrane for RO that will not be degraded by chlorine.

They will present the research at the 232nd National Meeting of the American Chemical Society on September 10-14 in San Francisco.

"Our RO materials grew out of our work on proton exchange membrane (PEM) materials used in fuel cells," said James McGrath, University Distinguished Professor of Chemistry at Virginia Tech. "The polymer structure is similar, but PEM materials are treated with a dilute acid and the RO materials are treated with a salt to put them in the neutral form."

Last year, McGrath's group received funding from the Office of Naval Research (ONR) to develop an RO material that would not break down from chlorine. "We have suggested for some time that PEM materials could be used so our students quickly began sending sample materials for testing to Benny D. Freeman, chemical engineer at the University of Texas, Austin. And within a year we had a successful material. "People have been doing RO for 40 years, but not with this new material," McGrath said.

Post doctoral Associate Zhong-Biao Zhang will deliver a paper on how the new materials are made and how they work at 2:20 p.m. Wednesday, Sept. 13, in Salon B3 of the Marriott. Authors of "Synthesis of di-sulfonated poly(arylene ether sulfone) random copolymers as novel candidates for chlorine-resistant reverse osmosis membranes (PMSE 494)" are Zhang, Virginia Tech graduate students Guang-Yu Fan and Mehmet Sankir, Ho Bum Park and Freeman at the University of Texas, and McGrath.

The ONR has expanded the project to add Don Baird, professor of chemical engineering at Virginia Tech, to fabricate the membrane. "The material we created and evaluated in the first year was relatively thick," McGrath said. "To be competitive, it has to be a thin film so the water can pass through quickly -- 10 to 100 times thinner than our present samples. That is not trivial but we think we know how to do it."

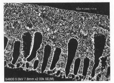
The Virginia Tech research group has created an asymmetric membrane. Imagine rigid foam with a thin membrane skin. The separation takes place at the skin and the water passes quickly through the foam's large pores. Without the foam, the skin or film layer is not strong enough to withstand the pressure of RO.

McGrath is now looking for companies to work with to produce the new material.

He is also working on a different process to separate ethanol from water. "We think we can make membranes to do that too," he said.

Keywords

Contact Information

Susan Trulove
strulove@vt.edu

How to Cite This Article

APA:
Virginia Tech. (2006, September 13). Fuel cell membrane materials offer solution for removing salt from water. Brightsurf News. https://www.brightsurf.com/news/L3YR9Q61/fuel-cell-membrane-materials-offer-solution-for-removing-salt-from-water.html
MLA:
"Fuel cell membrane materials offer solution for removing salt from water." Brightsurf News, Sep. 13 2006, https://www.brightsurf.com/news/L3YR9Q61/fuel-cell-membrane-materials-offer-solution-for-removing-salt-from-water.html.