Bluesky Facebook Reddit Email

I win, you lose: Brain imaging reveals how we learn from our competitors

10.13.10 | University of Bristol

Meta Quest 3 512GB

Meta Quest 3 512GB enables immersive mission planning, terrain rehearsal, and interactive STEM demos with high-resolution mixed-reality experiences.


Learning from competitors is a critically important form of learning for animals and humans. A new study has used brain imaging to reveal how people and animals learn from failure and success.

The team from Bristol University led by Dr Paul Howard-Jones, Senior Lecturer in Education in the Graduate School of Education and Dr Rafal Bogacz, Senior Lecturer in the Department of Computer Science, scanned the brains of players as they battled against an artificial opponent in a computer game.

In the game, each player took turns with the computer to select one of four boxes whose payouts were simulating the ebb and flow of natural food sources.

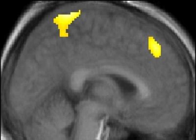
Players were able to learn from their own successful selections but those of their competitor failed completely to increase their neural activity. Instead, it was their competitor's unexpected failures that generated this additional brain activity. Such failures generated both reward signals in the brains of the players, and learning signals in regions involved with inhibiting response. This suggests that we benefit from our competitors' failures by learning to inhibit the actions that lead to them.

Surprisingly, when players were observing their competitor make selections, the players' brains were activated as if they were performing these actions themselves. Such 'mirror neuron' activities occur when we observe the actions of other humans but here the players knew their opponent was just a computer and no animated graphics were used. Previously, it has been suggested that the mirror neuron system supports a type of unconscious mind-reading that helps us, for example, judge others' intentions.

Dr Howard-Jones added: "We were surprised to see the mirror neuron system activating in response to a computer. If the human brain can respond as though a computer has a mind, that's probably good news for those wishing to use the computer as a teacher."

The findings of the study are revealed in a paper published online by the journal – NeuroImage .

NeuroImage

Keywords

Article Information

Contact Information

How to Cite This Article

APA:
University of Bristol. (2010, October 13). I win, you lose: Brain imaging reveals how we learn from our competitors. Brightsurf News. https://www.brightsurf.com/news/L76W29N1/i-win-you-lose-brain-imaging-reveals-how-we-learn-from-our-competitors.html
MLA:
"I win, you lose: Brain imaging reveals how we learn from our competitors." Brightsurf News, Oct. 13 2010, https://www.brightsurf.com/news/L76W29N1/i-win-you-lose-brain-imaging-reveals-how-we-learn-from-our-competitors.html.