Bluesky Facebook Reddit Email

Electroacupuncture attenuates neuropathic pain after brachial plexus injury

08.18.14 | Neural Regeneration Research

Apple AirPods Pro (2nd Generation, USB-C)

Apple AirPods Pro (2nd Generation, USB-C) provide clear calls and strong noise reduction for interviews, conferences, and noisy field environments.


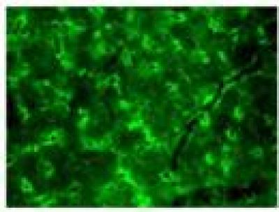
Electroacupuncture has traditionally been used to treat pain, but its effect on pain following brachial plexus injury is still unknown. In a recent study reported on the Neural Regeneration Research (Vol. 9, No. 14, 2014), rat models of an avulsion injury to the left brachial plexus root (associated with upper-limb chronic neuropathic pain) were given electroacupuncture stimulation at bilateral Quchi (LI11), Hegu (LI04), Zusanli (ST36) and Yanglingquan (GB34). After electroacupuncture therapy, chronic neuropathic pain in the rats' upper limbs was significantly attenuated. Immunofuorescence staining showed that the expression of β-endorphins in the arcuate nucleus was significantly increased after therapy. Thus, Shenyu Zhang and co-workers from Huashan Hospital, Fudan University, China, indicate that electroacupuncture can attenuate neuropathic pain after brachial plexus injury through upregulating β-endorphin expression.

Article: " Electroacupuncture attenuates neuropathic pain after brachial plexus injury," by Shenyu Zhang1, Hailiang Tang2, Junming Zhou1, Yudong Gu1 (1 Department of Hand Surgery, Huashan Hospital, Fudan University; Key Laboratory of Hand Reconstruction, Ministry of Health; Shanghai Key Laboratory of Peripheral Nerve and Microsurgery, Shanghai, China; 2 Department of Neurosurgery, Huashan Hospital, Fudan University, Shanghai, China)

Zhang SY, Tang HL, Zhou JM, Gu YD. Electroacupuncture attenuates neuropathic pain after brachial plexus injury. Neural Regen Res . 2014;9(14):1365-1370.

Contact:

Meng Zhao
eic@nrren.org
86-138-049-98773
Neural Regeneration Research
http://www.nrronline.org/

Neural Regeneration Research

Keywords

Article Information

Contact Information

Meng Zhao
eic@nrren.org

How to Cite This Article

APA:
Neural Regeneration Research. (2014, August 18). Electroacupuncture attenuates neuropathic pain after brachial plexus injury. Brightsurf News. https://www.brightsurf.com/news/LD50350L/electroacupuncture-attenuates-neuropathic-pain-after-brachial-plexus-injury.html
MLA:
"Electroacupuncture attenuates neuropathic pain after brachial plexus injury." Brightsurf News, Aug. 18 2014, https://www.brightsurf.com/news/LD50350L/electroacupuncture-attenuates-neuropathic-pain-after-brachial-plexus-injury.html.