Bluesky Facebook Reddit Email

Functional characterization of novel NPRL3 mutations identified in three families with focal epilepsy

06.15.23 | Science China Press

Sony Alpha a7 IV (Body Only)

Sony Alpha a7 IV (Body Only) delivers reliable low-light performance and rugged build for astrophotography, lab documentation, and field expeditions.


Science China Life Sciences magazine recently reported on the research results of Tang Beisha's team from Xiangya Hospital of Central South University, Liu Jing Yu's team from the Institute of Neurology of the Chinese Academy of Sciences, and Zhang Luoying's team from Huazhong University of Science and Technology, including Du Shiyue, Zeng Sheng, and Song Li. Epilepsy has a complex etiology with 80% owing a genetic basis. A small portion of epilepsy is inherited in Mendelian mode. Exploring the causative genes and pathogenesis of epilepsy will improve the clinical understanding and facilitate precise medicine of epilepsy. GATOR1 which consists of DEPDC5, NPRL2 and NPRL3 protein and inhibits the pathway of mTORC1, was first identified to be related to genetic epilepsy in 2013. However, its pathogenic mechanism remains unclear.

The Beisha Tang’s team, collaborated with the Jingyu Liu’s team, collected three families of focal epilepsy. Using techniques including linkage analysis and whole exome sequencing, they identified three NPRL3 mutations in patients from these three families: c.319_629del, c.937_ 945del and c.1514dupC (Figure 1).

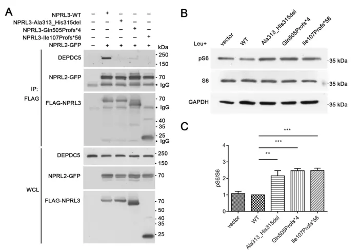
The teams found that NPRL3 c.937_945del, c.319_629del and c.1514dupC mutants did not affect the formation of NPRL3-NPRL2 dimer, but the dimers formed by NPRL3 mutants lost the ability to bind to DEPDC5, and the formation of GATOR1 complex was seriously affected, thereby the inhibitory ability of mTORC1 pathway activity decreased (Figure 2).

This study also generated nprl3 RNA interference (RNAi) flies, and epilepsy-like behavior was induced in the flies. Moreover, knocking down any component of the GATOR1 complex ( nprl3 , nprl2 , and iml1 ) in fruit flies can cause epilepsy-like behavior, further supporting the contribution of GATOR1 signaling defects in epileptogenesis. At the same time, this study also found that the number of synaptic boutons and the expression level of excitatory glutamate receptors increased in nprl3 RNAi flies. The results may be the pathological basis for epilepsy-like behavior, suggesting that NPRL3- asscociated epilepsy is a development-related disease (Figure 3).

Science China Life Sciences

10.1007/s11427-022-2313-1

Keywords

Article Information

Contact Information

Bei Yan
Science China Press
yanbei@scichina.org

How to Cite This Article

APA:
Science China Press. (2023, June 15). Functional characterization of novel NPRL3 mutations identified in three families with focal epilepsy. Brightsurf News. https://www.brightsurf.com/news/LDER2N68/functional-characterization-of-novel-nprl3-mutations-identified-in-three-families-with-focal-epilepsy.html
MLA:
"Functional characterization of novel NPRL3 mutations identified in three families with focal epilepsy." Brightsurf News, Jun. 15 2023, https://www.brightsurf.com/news/LDER2N68/functional-characterization-of-novel-nprl3-mutations-identified-in-three-families-with-focal-epilepsy.html.