Bluesky Facebook Reddit Email

Motor outcomes of patients with a complete middle cerebral artery territory infarct

08.08.13 | Neural Regeneration Research

Rigol DP832 Triple-Output Bench Power Supply

Rigol DP832 Triple-Output Bench Power Supply powers sensors, microcontrollers, and test circuits with programmable rails and stable outputs.


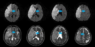
The middle cerebral artery territory comprises the corticospinal tract, which is responsible for fine motor activity of the hands, and the corticoreticulospinal tract, which is involved in postural control and locomotor function, and therefore, motor weakness is one of the most disabling sequelae of a middle cerebral artery infarct. However, little is known about motor outcomes in patients with a complete middle cerebral artery territory infarct. Prof. Sung Ho Jang and colleagues from College of Medicine, Yeungnam University investigated 23 patients with a complete middle cerebral artery territory infarct subjected to comprehensive rehabilitative management, including movement therapy and neuromuscular electrical stimulation of the affected finger extensors and ankle dorsiflexors, for more than 3 months. After receiving rehabilitation treatments for 6 months, the motor function of the lower extremities was found to be better than that of the upper extremities, and about 70% of these patients were able to walk independently, but no patient achieved functional hand recovery. These data, published in the Neural Regeneration Research (Vol. 8, No. 20, 2013), will provide supporting evidence for developing rational rehabilitation strategies and establishing proper goals for stroke patients.

Article: " Motor outcomes of patients with a complete middle cerebral artery territory infarct," by Sung Ho Jang, Min Cheol Chang (Department of Physical Medicine and Rehabilitation, College of Medicine, Yeungnam University, Daegu 705-717, Republic of Korea)

Jang SH, Chang MC. Motor outcomes of patients with a complete middle cerebral artery territory infarct. Neural Regen Res . 2013;8(20):1892-1897.

Contact:

Meng Zhao
eic@nrren.org
86-138-049-98773
Neural Regeneration Research
http://www.nrronline.org/

Full text:

Neural Regeneration Research

Keywords

Article Information

Contact Information

Meng Zhao
eic@nrren.org

How to Cite This Article

APA:
Neural Regeneration Research. (2013, August 8). Motor outcomes of patients with a complete middle cerebral artery territory infarct. Brightsurf News. https://www.brightsurf.com/news/LK5WR2G1/motor-outcomes-of-patients-with-a-complete-middle-cerebral-artery-territory-infarct.html
MLA:
"Motor outcomes of patients with a complete middle cerebral artery territory infarct." Brightsurf News, Aug. 8 2013, https://www.brightsurf.com/news/LK5WR2G1/motor-outcomes-of-patients-with-a-complete-middle-cerebral-artery-territory-infarct.html.