Bluesky Facebook Reddit Email

Protective mechanism against atherosclerosis discovered

06.12.18 | CeMM Research Center for Molecular Medicine of the Austrian Academy of Sciences

SAMSUNG T9 Portable SSD 2TB

SAMSUNG T9 Portable SSD 2TB transfers large imagery and model outputs quickly between field laptops, lab workstations, and secure archives.


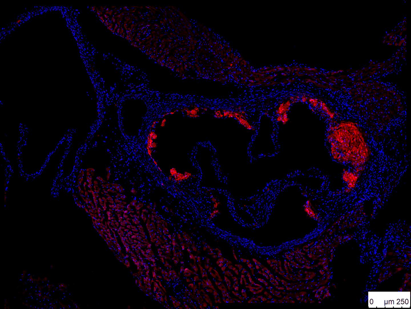
Atherosclerosis, the pathological narrowing of blood vessels, is the underlying cause for the majority of strokes and heart attacks, the major causes of mortality worldwide according to the WHO. For the development of atherosclerosis, a special type of white blood cells called B2 lymphocytes have been suggested to play a crucial role. For their survival, they need the molecule BAFF. It has been shown, that deletion or blockade of the BAFF receptors at the surface of B2 lymphocytes reduces the development of atherosclerosis in mice. Hence, a similar effect was expected when BAFF is directly targeted.

With highly specific antibodies, BAFF can be bound and neutralized. Those antibodies where tested for their effects on the development of atherosclerosis in mice by scientists from CeMM Research Center for Molecular Medicine of the Austrian Academy of Sciences and the Medical University of Vienna in collaboration with the University of Cambridge. The results were surprising: instead of reducing atherosclerotic lesion formation in the arteries of the tested mice, the antibody treatment lead to an increased plaque size. The findings were published in Circulation (DOI: 10.1161/CIRCULATIONAHA.117.032790).

"We were able to show that B2 lymphocytes were efficiently depleted upon anti-BAFF antibody treatment", senior author of the study Christoph Binder, CeMM Principal Investigator and Professor for Atherosclerosis Research at the Medical University of Vienna, describes the results of the study. "Surprisingly, the plaque size increased, indicating a hitherto unknown role of the BAFF molecule in atherosclerosis. However, in further experiments, we were able to explain these findings."

The researchers found BAFF to have anti-inflammatory properties, which has a positive effect on plaque size and atherosclerosis risk. The newly discovered mechanism is triggered by an alternative BAFF receptor (TACI) on the surface of macrophages, another type of immune cells. It was shown that these cells induce an anti-inflammatory process. This finding may provide important implications for atherosclerosis research and prevention: For example, mutations in the gene for TACI may confer an increased cardiovascular risk.

###

The study "BAFF Neutralization Aggravates Atherosclerosis" was published in Circulation on June 5, 2018 . DOI: 10.1161/CIRCULATIONAHA.117.032790

Authors: Dimitrios Tsiantoulas#, Andrew P. Sage#, Laura Göderle, Maria Ozsvar-Kozma, Deirdre Murphy, Florentina Porsch, Gerard Pasterkamp, Jörg Menche, Pascal Schneider, Ziad Mallat# and Christoph J. Binder#. (# equal contribution)

The study was funded by the Austrian Science Fund FWF, the European Union, the British Heart Foundation and the European Research Council (ERC).

Christoph Binder obtained his MD degree at the University of Vienna in 1997 and received his Ph.D. in Molecular Pathology at the University of California San Diego (UCSD) in 2002. Following a postdoctoral training period at UCSD, he joined the Institute for Laboratory Medicine of the Medical University of Vienna and became Principal Investigator at CeMM in 2006. In 2009 he was appointed Professor of Atherosclerosis Research at the Medical University of Vienna. Christoph Binder is dually affiliated with CeMM and the Medical University of Vienna. http://cemm.at/research/groups/christoph-binder-group/

The mission of CeMM Research Center for Molecular Medicine of the Austrian Academy of Sciences is to achieve maximum scientific innovation in molecular medicine to improve healthcare. At CeMM, an international and creative team of scientists and medical doctors pursues free-minded basic life science research in a large and vibrant hospital environment of outstanding medical tradition and practice. CeMM's research is based on post-genomic technologies and focuses on societally important diseases, such as immune disorders and infections, cancer and metabolic disorders. CeMM operates in a unique mode of super-cooperation, connecting biology with medicine, experiments with computation, discovery with translation, and science with society and the arts. The goal of CeMM is to pioneer the science that nurtures the precise, personalized, predictive and preventive medicine of the future. CeMM trains a modern blend of biomedical scientists and is located at the campus of the General Hospital and the Medical University of Vienna. http://www.cemm.at

For further information please contact

Mag. Wolfgang Däuble
Media Relations Manager
CeMM
Research Center for Molecular Medicine
of the Austrian Academy of Sciences
Lazarettgasse 14, AKH BT 25.3
1090 Vienna, Austria
Phone +43-1/40160-70 057
Fax +43-1/40160-970 000
wdaeuble@cemm.oeaw.ac.at
http://www.cemm.at

Circulation

10.1161/CIRCULATIONAHA.117.032790

Keywords

Article Information

Contact Information

Source

How to Cite This Article

APA:
CeMM Research Center for Molecular Medicine of the Austrian Academy of Sciences. (2018, June 12). Protective mechanism against atherosclerosis discovered. Brightsurf News. https://www.brightsurf.com/news/LM232RNL/protective-mechanism-against-atherosclerosis-discovered.html
MLA:
"Protective mechanism against atherosclerosis discovered." Brightsurf News, Jun. 12 2018, https://www.brightsurf.com/news/LM232RNL/protective-mechanism-against-atherosclerosis-discovered.html.