Bluesky Facebook Reddit Email

In utero particle exposure and respiratory illness

02.11.19 | Proceedings of the National Academy of Sciences

SAMSUNG T9 Portable SSD 2TB

SAMSUNG T9 Portable SSD 2TB transfers large imagery and model outputs quickly between field laptops, lab workstations, and secure archives.


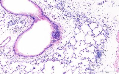
Researchers report that compared with mice exposed to filtered air in utero, mice exposed to ultrafine particles (UFP) in utero failed to develop strong immune responses to house dust-mite allergens, and at four weeks old, had less bronchiole inflammation and fewer white blood cells in their bronchoalveolar lavage fluid; this immune suppression was more pronounced in a mouse strain sensitive to oxidative stress, indicating that maternal oxidative stress responses to UFP exposure may alter fetal immune development, and in utero UFP exposure may predispose neonates to respiratory infections.

Article #18-16103: "In utero ultrafine particulate matter exposure causes offspring pulmonary immunosuppression," by Kristal A. Rychlik et al.

MEDIA CONTACT: Natalie M. Johnson, Texas A&M University, College Station, TX; tel: 979-436-9325; email: natalie.johnson@sph.tamhsc.edu

###

Proceedings of the National Academy of Sciences

Keywords

Article Information

Contact Information

How to Cite This Article

APA:
Proceedings of the National Academy of Sciences. (2019, February 11). In utero particle exposure and respiratory illness. Brightsurf News. https://www.brightsurf.com/news/LM24QWRL/in-utero-particle-exposure-and-respiratory-illness.html
MLA:
"In utero particle exposure and respiratory illness." Brightsurf News, Feb. 11 2019, https://www.brightsurf.com/news/LM24QWRL/in-utero-particle-exposure-and-respiratory-illness.html.