Bluesky Facebook Reddit Email

ADHD drugs increase brain glutamate, predict positive emotion in healthy people

03.14.18 | Brown University

GoPro HERO13 Black

GoPro HERO13 Black records stabilized 5.3K video for instrument deployments, field notes, and outreach, even in harsh weather and underwater conditions.


PROVIDENCE, R.I. [Brown University] -- A new study shows that healthy people who take attention deficit hyperactivity disorder (ADHD) drugs experience a surge in the neurotransmitter glutamate in key parts of the brain. And that increase in glutamate is associated with subsequent changes in positive emotion.

The findings, published in the journal Neuropsychopharmacology , not only provide clues about how these drugs affect healthy brains, they also hint at a previously undiscovered link between glutamate and mood.

"This is the first time that an increase in brain glutamate in response to psychostimulant drugs has been demonstrated in humans," said Tara White, an assistant professor in the Brown University School of Public Health and lead author of the new study. "That's important since glutamate is the major neurotransmitter responsible for excitation in the brain, and affects learning and memory."

Even more interesting, White said, the rise in glutamate predicted the magnitude and the duration of positive emotional responses to the drug.

"Given the timing of these effects -- the glutamate effect comes first, and the positive emotion comes later -- this could indicate a causal link between glutamate and positive emotion," White said. I think what we're seeing here is not just a drug effect, it's how positive emotion works in humans."

Drug effects on the brain

Millions of kids nationwide take prescription medication to treat ADHD. But in addition to prescribed usage, there's a thriving black market for these drugs, which young people use to improve attention, mood, and work and school performance. Yet little is known about what effects these drugs have on healthy brains, White said.

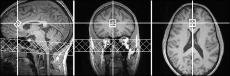
In this new study, subjects were first screened for mental and physical health and then underwent MRI spectroscopy scans designed to detect the concentration of neural compounds in specific regions of their brain. From the medical literature on psychostimulants, White and her team wanted to look in the anterior cingulate cortex, which is a "hub" brain region that connects multiple brain networks involved in emotion, decision-making and behavior.

They found that two ADHD medications, d-amphetamine and Desoxyn, significantly increased the overall amount of glutamate in the right dorsal anterior cingulate cortex, even after controlling for possible confounding factors, such as volume of gray matter in the region. The rise in brain glutamate predicted both the duration and the intensity of positive emotion, measured by participant ratings about whether they liked the drug or felt high after consuming it.

The authors caution that while this was a placebo-controlled study, the research demonstrates only an association between glutamate and positive mood, and not necessarily a causal relationship. However, the fact that the mood changes consistently followed changes in glutamate is suggestive of causality, though more research is necessary.

Glutamate is the most abundant neurotransmitter in the brain, White said, and its roles in learning and memory are well established. A potential link between glutamate and mood would be a novel finding.

"This is the first time we've seen a link between increases in brain glutamate and increases in positive emotion in healthy people -- with both changes happening in real time," said White, who is based at Brown's Center for Alcohol and Addiction Studies. "I think it's going to open up a whole new way of thinking about emotion in humans."

The research also found evidence of gender differences in drug effects. Women in the sample showed a larger increase in glutamate compared to the men in the sample. Women also responded more strongly to Desoxyn, compared to d-amphetamine. The gender difference is consistent with prior studies in animals, which show greater stimulant drug effects in females compared to males. The differences between the two drugs also indicate that ADHD medications can have different effects on glutamate and other compounds in the brain.

White and her colleagues say there's evidence to suggest that the increase in glutamate involved drug-induced changes in enzymes and glutamate precursors. That suggests that the glutamate signal the researchers saw was from newly produced glutamate, rather than reuptake. With further research, the new data could help scientists to better understand how individuals respond differently to drugs, and changes in positive emotion over time.

"[The] present findings provide the first evidence in humans that drug-induced changes in [glutamate] correlate with subjective experiences of drug liking and drug high following drug ingestion" White and colleagues wrote.

###

The research was supported by grants from the National Institute on Drug Abuse (DA R21 029189), National Science Foundation (DGE 1058262), and the National Institute on Alcohol Abuse and Alcoholism (AA P01 007459).

Neuropsychopharmacology

10.1038/s41386-018-0027-7

Keywords

Article Information

Contact Information

Kevin Stacey
Brown University
kevin_stacey@brown.edu

Source

How to Cite This Article

APA:
Brown University. (2018, March 14). ADHD drugs increase brain glutamate, predict positive emotion in healthy people. Brightsurf News. https://www.brightsurf.com/news/LM2ORKRL/adhd-drugs-increase-brain-glutamate-predict-positive-emotion-in-healthy-people.html
MLA:
"ADHD drugs increase brain glutamate, predict positive emotion in healthy people." Brightsurf News, Mar. 14 2018, https://www.brightsurf.com/news/LM2ORKRL/adhd-drugs-increase-brain-glutamate-predict-positive-emotion-in-healthy-people.html.