Bluesky Facebook Reddit Email

Gene protects lung from damage due to pneumonia, sepsis, trauma, transplants

02.08.11 | WashU Medicine

SAMSUNG T9 Portable SSD 2TB

SAMSUNG T9 Portable SSD 2TB transfers large imagery and model outputs quickly between field laptops, lab workstations, and secure archives.


Lung injury is a common cause of death among patients with pneumonia, sepsis or trauma and in those who have had lung transplants. The damage often occurs suddenly and can cause life-threatening breathing problems and rapid lung failure.

There are no effective treatments. Patients usually are put on ventilators to give their lungs a chance to heal, but there is little else doctors can do but wait and hope for the best.

Now, researchers at Washington University School of Medicine in St. Louis report they have identified a gene that limits damage to the lung during acute stress from illness, trauma or transplant. Defects in the bcl3 gene likely leave some patients more vulnerable to lung injury, they say.

The scientists also have demonstrated that this critical gene, which is active in bone marrow cells, can prevent lung injury in mice. The research is published in the Journal of Clinical Investigation.

The new discovery lays the groundwork for developing therapies to reduce complications of pneumonia, trauma and lung transplants, which affect many thousands of people annually in the United States.

"Acute lung injury is a very serious problem," says senior author Andrew Gelman, PhD, assistant professor of surgery and of pathology and immunology. "Patients' lungs fill with fluid, they can't breathe, and sadly there are no drugs available to reverse the condition."

The real culprits underlying acute lung injury are infection-fighting white blood cells called neutrophils. When the body makes too many neutrophils, however, they begin to attack healthy tissue, causing even more damage and sometimes even death.

"In mice, we found that the bcl3 gene essentially controls how many neutrophils the body produces under acute stress in the lung," Gelman says.

The same gene exists in people. Mutations in bcl3 have long been associated with the development of leukemia and lymphoma. Only recently has it been found to play a role in inflammation.

The research team stumbled onto bcl3 as part of an effort to determine why a newly transplanted lung often becomes injured in the hours after surgery. The damage occurs as the blood begins to flow through the organ again and increases the risk of rejection. In earlier studies, they had found that soon after a lung transplant, the new lung signals to the bone marrow to produce massive amounts of neutrophils.

"We wanted to understand how the lung is talking to the bone marrow and what is driving this extraordinary increase in neutrophils," Gelman says. "The lung tends to be unique in this manner; we don't see this with other organ transplants, such as the heart."

In a series of experiments in mice undergoing lung transplants, the researchers found that in response to acute stress in the lung, a cytokine called granulocyte colony stimulating factor (G-CSF) accumulates in the blood, which in turn stimulates the production of neutrophils in the bone marrow.

But there's a counterbalance built into the system. When G-CSF builds up in the blood, the bcl3 gene is activated in the bone marrow to begin shutting down neutrophil production.

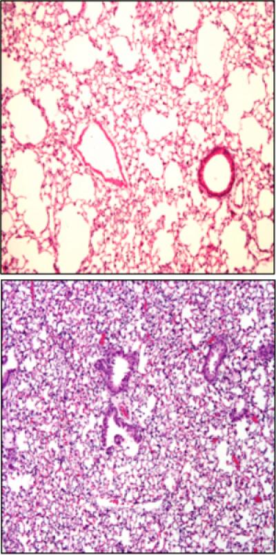
When the scientists transplanted healthy mouse lungs into mice that lacked bcl3 in their bone marrow, things went haywire. Without the gene, neutrophil production went unchecked, and the mice developed acute lung injury.

The investigators measured four times as many neutrophils in the blood of mice that lacked bcl3 compared with normal mice. The bcl3 gene, they showed, acts like a master switch to control the effects of G-CSF on neutrophil production.

While neutrophils are the key offenders of acute lung injury, completely blocking them from entering the lung is not a practical treatment.

"You need enough neutrophils in the lung to fight infection or repair lung damage but when there are too many, they cause irreversible injury," Gelman says. "It's a delicate balancing act."

Instead, the investigators showed they could prevent post-transplant lung injury by blocking G-CSF in mice that lacked blc3 in their bone marrow.

"This reduced the number of neutrophils that entered the lung," Gelman explains. "Other inflammatory cytokines, including GM-CSF and IL-3, still produced neutrophils but not enough to cause acute lung injury."

The researchers also showed they could prevent acute lung injury in a mouse model of sepsis by blocking G-CSF in mice that lacked bcl3.

Interestingly, G-CSF is routinely given to cancer patients undergoing chemotherapy to help them fight infections.

"There's been a lot of effort to stimulate neutrophil production in cancer patients because chemotherapy kills cancer cells and prevents the production of white blood cells, including neutrophils," Gelman says. "But what we're saying is that under acute stress to the lung, the effect of G-CSF on neutrophil production needs to be limited but certainly not eliminated."

In follow-up studies, Gelman and his colleagues want to get a better handle on how mutations in the bcl3 gene affect a person's susceptibility to acute lung injury from an infection or a transplant, he says.

The research was funded by a grant from the National Heart, Lung, and Blood Institute.

Kreisel D, Sugimoto S, Tietjens J, Zhu J, Yamamoto S, Krupnick AS, Carmody RJ, Gelman AE. Bcl3 prevents acute inflammatory lung injury by restraining emergency granulopoiesis. Journal of Clinical Investigation. January 2011.

Washington University School of Medicine's 2,100 employed and volunteer faculty physicians also are the medical staff of Barnes-Jewish and St. Louis Children's hospitals. The School of Medicine is one of the leading medical research, teaching and patient care institutions in the nation, currently ranked fourth in the nation by U.S. News & World Report. Through its affiliations with Barnes-Jewish and St. Louis Children's hospitals, the School of Medicine is linked to BJC HealthCare.

Journal of Clinical Investigation

Keywords

Article Information

Contact Information

Caroline Arbanas
Washington University School of Medicine
arbanasc@wustl.edu

How to Cite This Article

APA:
WashU Medicine. (2011, February 8). Gene protects lung from damage due to pneumonia, sepsis, trauma, transplants. Brightsurf News. https://www.brightsurf.com/news/LNMNK5E1/gene-protects-lung-from-damage-due-to-pneumonia-sepsis-trauma-transplants.html
MLA:
"Gene protects lung from damage due to pneumonia, sepsis, trauma, transplants." Brightsurf News, Feb. 8 2011, https://www.brightsurf.com/news/LNMNK5E1/gene-protects-lung-from-damage-due-to-pneumonia-sepsis-trauma-transplants.html.