Bluesky Facebook Reddit Email

UC Riverside cell biologist to investigate how malaria parasite multiplies in red blood cells

11.04.10 | University of California - Riverside

SAMSUNG T9 Portable SSD 2TB

SAMSUNG T9 Portable SSD 2TB transfers large imagery and model outputs quickly between field laptops, lab workstations, and secure archives.


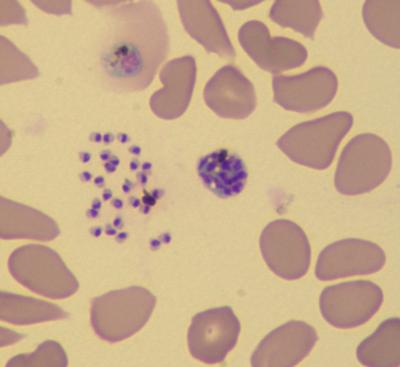
RIVERSIDE, Calif. – Today, about half the world's population lives in areas at risk of malaria transmission. The disease is transmitted to humans through bites from mosquitoes, and each year causes hundreds of thousands of deaths worldwide, with about 1,500 of these in the United States.

The malaria-causing parasite, Plasmodium falciparum , is spread to people by the female Anopheles mosquito, which feeds on human blood. P. falciparum invades red blood cells, where it grows and multiplies. Eventually, the red blood cells burst, releasing into the bloodstream thousands of parasites that invade other red blood cells and continue the infection cycle.

Just how the human malaria parasite replicates itself inside red blood cells is, however, not well understood. Now a researcher at the University of California, Riverside has received a nearly $1.7 million four-year grant from the National Institute of Allergy and Infectious Diseases, the National Institutes of Health, to address this question.

"If we manage to understand how the parasite multiplies in the red blood cells, we will be able to develop more effective strategies for combating malaria," said Karine Le Roch , an assistant professor of cell biology and neuroscience and the grant's principal investigator. "The long term goal is to devise new drug strategies against this devastating disease."

Stefano Lonardi , an associate professor of computer science and engineering , will assist in the computational analysis of the massive amount of data produced by the sequencing instruments.

"The analysis pipeline is complex, but in the end we would like our software tools to generate a set of hypotheses of gene regulation for the malaria genome that Karine can test or validate in the lab," Lonardi said.

The grant will support one technician, one postdoctoral researcher and one Ph.D. graduate student. An expert in proteomics and mass spectrometry from the Stowers Institute, Kan., will collaborate.

The University of California, Riverside ( www.ucr.edu ) is a doctoral research university, a living laboratory for groundbreaking exploration of issues critical to Inland Southern California, the state and communities around the world. Reflecting California's diverse culture, UCR's enrollment has exceeded 20,500 students. The campus will open a medical school in 2012 and has reached the heart of the Coachella Valley by way of the UCR Palm Desert Graduate Center. The campus has an annual statewide economic impact of more than $1 billion.

A broadcast studio with fiber cable to the AT&T Hollywood hub is available for live or taped interviews. To learn more, call (951) UCR-NEWS.

Keywords

Contact Information

Iqbal Pittalwala
University of California - Riverside
iqbal@ucr.edu

How to Cite This Article

APA:
University of California - Riverside. (2010, November 4). UC Riverside cell biologist to investigate how malaria parasite multiplies in red blood cells. Brightsurf News. https://www.brightsurf.com/news/LQM7VY61/uc-riverside-cell-biologist-to-investigate-how-malaria-parasite-multiplies-in-red-blood-cells.html
MLA:
"UC Riverside cell biologist to investigate how malaria parasite multiplies in red blood cells." Brightsurf News, Nov. 4 2010, https://www.brightsurf.com/news/LQM7VY61/uc-riverside-cell-biologist-to-investigate-how-malaria-parasite-multiplies-in-red-blood-cells.html.