Bluesky Facebook Reddit Email

Rare eye disease that struck Oliver Sacks gives rise to new cancer treatment strategy

06.02.16 | University of Utah Health

Kestrel 3000 Pocket Weather Meter

Kestrel 3000 Pocket Weather Meter measures wind, temperature, and humidity in real time for site assessments, aviation checks, and safety briefings.


(SALT LAKE CITY) - Eye cancer took the life of author and neurologist Oliver Sacks last year, bringing attention to the rare and deadly disease. Scientists have tried to develop precision treatments against cancers like this one, but the mutations that cause them have proven difficult to block with drugs.

Now, a team led by scientists at Huntsman Cancer Institute at the University of Utah, University of Utah School of Medicine , and Navigen, Inc. , report a new treatment that shows promise against the hard-to-treat cancer. They found that the mutation relies on a protein, ARF6, to distribute cancer-promoting signals. Further, a drug that blocks ARF6 inhibits eye tumors in mice. The research appears in Cancer Cell online on June 2.

"We completely bypass the mutations in Gαq oncogenes that have been so hard to target, and have found a different strategy for slowing the disease," says Dean Li, M.D., Ph.D. , Huntsman Cancer Institute investigator and H.A. and Edna Benning Endowed Professor of Internal Medicine at the Eccles Institute of Human Genetics. He and Kirill Ostanin, Ph.D., senior director at Navigen, Inc., were senior authors on the study.

A new understanding of how eye cancer works led to the unexpected finding. Ordinarily ARF6 works to relay molecular signals within healthy cells. Here, the scientists report that a mutation that causes eye cancer hijacks ARF6, redirecting it to relay signals to cancer promoting pathways. Blocking ARF6 with the drug inhibits dissemination of the cancer message.

"In eye cancer, ARF6 is like a traffic cop at a major intersection that directs the traffic of cancer signals down a number of paths. The drug forces ARF6 to hold back traffic," says Li. "We think this same treatment strategy could also work against other cancers." These include skin, breast, brain, renal and additional cancers in which ARF6 is known to play a role in the disease. Li and Ostanin are now leading studies to further optimize and test the drug. Further, Li is investigating whether the general strategy, inhibiting proteins that distribute cancer signals, could be applied to more broadly.

The findings bring new insights to treating eye cancer, a disease that has largely flown under the radar because it is so rare, with fewer than 3,000 cases diagnosed in the U.S. each year. Sacks was struck by the most common type of eye cancer, uveal melanoma, which is related to the skin cancer, cutaneous melanoma. Three years ago, Li's team found that ARF6 regulated late stages of skin cancer progression leading them to test whether it does the same in eye cancer.

The new study reveals that ARF6 does much more, acting a lot like the causative mutation that sets eye cancer into motion. For instance, addition of either the mutated cancer-causing protein, or of a version of ARF6 that is always turned on, triggers molecular pathways known to drive cancer (Rho/Rac, PLC/PKC, YAP pathways, and beta-catenin pathway, newly identified in this study).

"A lot of work has focused on trying to develop drugs that target the oncogene," says Jae Hyuk Yoo, Ph.D., a postdoctoral fellow in internal medicine. Yoo co-led the study with colleagues Dallas Shi, Ph.D., and Allie Grossman M.D, Ph.D., assistant professor of pathology. "By changing our thinking a little bit, we realized that we might be able to accomplish the same goal by targeting ARF6 instead."

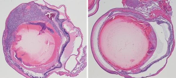
Though the idea sounded like a good one, the scientists didn't know whether ARF6 would be as hard to "drug" as the mutated protein. In collaboration with Navigen, Inc., they developed a compound that not only inhibited ARF6 activity in cells, but also blocked eye tumors in mice. Mouse models for eye cancer ordinarily develop large tumors in the eye. The drug prevented tumors from forming in six of the eleven animals that were treated. Tumors that did arise were on average significantly smaller than those in untreated mice.

"This study is a milestone in uncovering the fundamental roles of ARF6 GTPase in oncogenesis, and establishing a new drug discovery avenue in the cancer field," says Ostanin.

As Ostanin's and LI's teams were collecting their final results, Sacks passed away. Just a few months prior, he wrote in The New York Times that he was handing life's baton, with all of its troubles and tribulations, to the next generation. "I feel the future is in good hands," he said.

"ARF6 is an actionable node that orchestrates oncogenic GNAQ signaling in uveal melanoma" appears in Cancer Cell online on June 2, 2016.

###

Authors: In addition to Yoo, Shi, Grossman, Ostanin and Li, co-authors are: Lise Sorensen, ZongZhong Tong, Tara Mleyneck, Aaron Rogers, Weiquan Zhu, Jackson R. Richards, Jacob Winter, Jie Zhu, Christine Dunn, Ashok Bajji, Mark Shenderovich, Alan Mueller, Scott E. Woodman, J. William Harbour, and Kirk R. Thomas, and Shannon J. Odelberg. Collaborating institutions: Huntsman Cancer Institute at the University of Utah, Navigen, Inc., Key Laboratory for Human Disease Gene Study, Sichuan Academy of Medical Sciences and Sichuan Provincial People's Hospital, University of California, San Diego, University of Texas MD Anderson Cancer Center, and University of Miami

Support: Provided by NCI (P30 CAO42014), NINDS, NHLBI, NIAMS, NEI, NCATS, George S. and Dolores Dore Eccles Foundation, American Asthma Foundation, the Burroughs Wellcome Fund, the Ben B. and Iris M. Margolis Foundation, the H. A. and Edna Benning Fund for Medical Research, and the Harold J. Lloyd Charitable Trust.

About Huntsman Cancer Institute at the University of Utah

Huntsman Cancer Institute (HCI) is one of the world's top academic research and cancer treatment centers. HCI manages the Utah Population Database - the largest genetic database in the world, with more than 16 million records linked to genealogies, health records, and vital statistics. Using this data, HCI researchers have identified several cancer-causing genes, including the genes responsible for melanoma, colon and breast cancer, and paraganglioma. HCI is a member of the National Comprehensive Cancer Network (a 27-member alliance of the world's leading cancer centers) and is a National Cancer Institute-Designated Comprehensive Cancer Center . HCI treats patients with all forms of cancer and operates several high-risk clinics that focus on melanoma and breast, colon, and pancreas cancers. The HCI Cancer Learning Center for patient and public education contains one of the nation's largest collections of cancer-related publications. The institute is named after Jon M. Huntsman , a Utah philanthropist, industrialist, and cancer survivor.

Cancer Cell

10.1016/j.ccell.2016.04.015

Keywords

Article Information

Contact Information

Amie Parker
University of Utah Health
amie.parker@hci.utah.edu

How to Cite This Article

APA:
University of Utah Health. (2016, June 2). Rare eye disease that struck Oliver Sacks gives rise to new cancer treatment strategy. Brightsurf News. https://www.brightsurf.com/news/LQMW9M51/rare-eye-disease-that-struck-oliver-sacks-gives-rise-to-new-cancer-treatment-strategy.html
MLA:
"Rare eye disease that struck Oliver Sacks gives rise to new cancer treatment strategy." Brightsurf News, Jun. 2 2016, https://www.brightsurf.com/news/LQMW9M51/rare-eye-disease-that-struck-oliver-sacks-gives-rise-to-new-cancer-treatment-strategy.html.