Bluesky Facebook Reddit Email

Lifestyle of a killer

09.06.12 | BMC (BioMed Central)

Fluke 87V Industrial Digital Multimeter

Fluke 87V Industrial Digital Multimeter is a trusted meter for precise measurements during instrument integration, repairs, and field diagnostics.


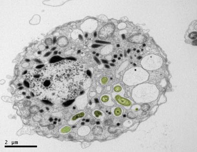
Parasitic dinoflagellates of the genus Hematodinium are a big problem for crab, prawn and shrimp fisheries across the world. New research published in BioMed Central's open access journal Aquatic Biosystems has found that, in wild European brown shrimp ( Crangon crangon ), these parasites have bacteria-like endosymbionts. The presence of these endosymbionts indicates a previously unknown side to the lifecycle of Hematodinium .

Hematodinium sp. and its sister species H. Perezi are a real problem for blue crab fishers , causing 'bitter crab' disease, and are thought to be responsible for the decline of blue crabs in Chesapeake Bay. But they are not fussy. Over 40 species of crustaceans are known to be infected by these nasty parasites.

A collaboration between researchers at the European Union Reference Laboratory for Crustacean Diseases (CEFAS) and the Virginia Institute of Marine Sciences (VIMS) identified the parasite responsible for causing sickness in wild European brown shrimp, collected from the North Sea, as Hematodinium sp.. These shrimp had lost carapace transparency and their blood (haemolymph) had lost the ability to clot. The invading Hematodinium had also infiltrated the muscles, destroyed internal organs, and the infection had damaged the shrimp's ovaries, affecting their ability to reproduce. Adding insult to injury the shrimp were also infected with Crangon crangon bacilliform virus (CcBV).

Further investigation revealed that two of the lifestages of the parasite were present in these shrimp, trophont (the adult, mobile stage) and dinospore (the infectious stage). However, for the first time, the dinospores were themselves seen to be infected with bacteria-like cells both in the cytoplasm and inside the nucleus.

Dr Grant Stentiford from Cefas explained, "The symbionts inside Hematodinium sp. appeared to make no difference to the ability of the parasite to infect shrimp. However, for these relationships to survive the endosymbiont must supply an evolutionary advantage. It seems most probable that the endosymbiont in some way increases the chance of the dinoflagellate to survive outside the shrimp, and successfully transfer to a new host. One of the problems with Hematodinium infection is that we do not yet fully understand their lifecycles. The role of this endosymbiont to its survival may be the key to controlling infections in species of farmed crustaceans."

Media contact

Dr Hilary Glover
Scientific Press Officer, BioMed Central
Tel: +44 (0) 20 3192 2370
Mob: +44 (0) 778 698 1967
Email: hilary.glover@biomedcentral.com

Notes to Editors

1. Hematodinium sp. and its bacteria-like endosymbiont in European brown shrimp ( Crangon crangon ) Grant D Stentiford, Kelly S Bateman, Michelle Pond, Hamish J Small and Anette Ungfors Aquatic Biosystems (in press)

Please name the journal in any story you write. If you are writing for the web, please link to the article. All articles are available free of charge, according to BioMed Central's open access policy.

All images are to be credited to Dr Grant Stentiford

2. Aquatic Biosystems is an open access, peer-reviewed, online journal considering high quality manuscripts on all aspects of basic and applied research on aquatic organisms and environments.

3. BioMed Central ( http://www.biomedcentral.com/ ) is an STM (Science, Technology and Medicine) publisher which has pioneered the open access publishing model. All peer-reviewed research articles published by BioMed Central are made immediately and freely accessible online, and are licensed to allow redistribution and reuse. BioMed Central is part of Springer Science+Business Media, a leading global publisher in the STM sector. @BioMedCentral

Aquatic Biosystems

Keywords

Article Information

Contact Information

How to Cite This Article

APA:
BMC (BioMed Central). (2012, September 6). Lifestyle of a killer. Brightsurf News. https://www.brightsurf.com/news/LR5GVXY8/lifestyle-of-a-killer.html
MLA:
"Lifestyle of a killer." Brightsurf News, Sep. 6 2012, https://www.brightsurf.com/news/LR5GVXY8/lifestyle-of-a-killer.html.