Bluesky Facebook Reddit Email

Dengue takes low and slow approach to replication

01.11.18 | Duke University

SAMSUNG T9 Portable SSD 2TB

SAMSUNG T9 Portable SSD 2TB transfers large imagery and model outputs quickly between field laptops, lab workstations, and secure archives.


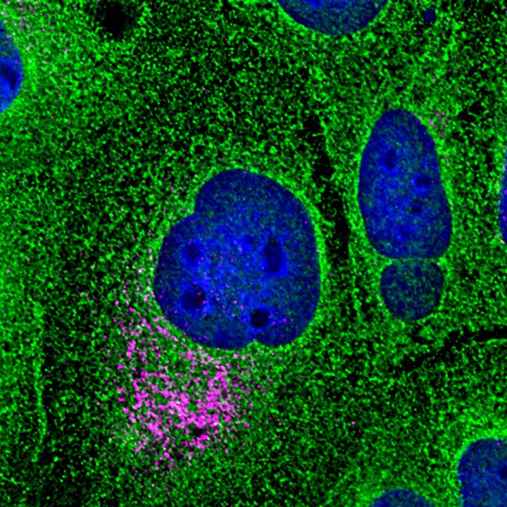
DURHAM, N.C. - A new study reveals how dengue virus manages to reproduce itself in an infected person without triggering the body's normal defenses. Duke researchers report that dengue pulls off this hoax by co-opting a specialized structure within host cells for its own purposes, like a lazy roommate sneaking bits of his laundry into the communal wash.

Unlike other viruses that flagrantly disrupt the functions of the host in favor of their own needs, dengue appears to be more subtle. It slowly and surreptitiously takes over an accordion-shaped structure inside the cell called the endoplasmic reticulum, the production site for a small subset of host proteins, and steers clear of the larger fluid-filled space of the cell called the cytosol, where most cellular proteins are manufactured.

"It is a remarkably clever thing for a mere 10 kilobases of genetic information," said Christopher V. Nicchitta, Ph.D., senior study author and professor of cell biology at Duke University School of Medicine. "The virus takes over the machinery and makes a ton of itself, but so slowly and inefficiently that it doesn't set off any of the sensors the host cell uses to detect when something is awry."

The study, which appeared January 10 in the Journal of Virology , could point to new strategies to thwart the mosquito-transmitted virus.

According to the World Health Organization, approximately half of the world's population is at risk of dengue and each year, about 96 million people are sickened by it. No specific treatment for dengue fever currently exists. Decades of vaccine research have been met with disappointment, and recent reports indicate that a new vaccine for dengue could actually worsen the disease rather than prevent it.

"If you can't make a vaccine, the approach you are left with involves understanding the precise molecular details of the life cycle of these viruses and how they are able to secure and manipulate the host machinery, so you can identify potential drug targets," said Nicchitta. "It is a more difficult path, but we are beginning to map it out."

Viruses like dengue are curious entities that exist in a realm between the living and the dead. Though they possess a few hallmarks of life -- like proteins and genetic material (DNA or RNA) -- they are missing a key one: the ability to reproduce. That's where host cells come in. Shortly after a virus infects a living cell, it taps into the host's replication machinery to make more copies of itself. In the case of dengue, one infected host cell can churn out as many as 10,000 viral offspring.

In this study, Nicchitta and his colleagues infected tissue culture cells with a common strain of dengue virus. They then sorted out the cell contents to focus on the two areas where proteins are typically synthesized, the endoplasmic reticulum and the neighboring cytosol. Using advanced molecular techniques, the researchers mapped out the location of the tiny factories known as ribosomes that produce proteins, as well as the RNA template that provides a blueprint for their production.

They found that all the action took place on the surface of the endoplasmic reticulum. The entire genome of the dengue virus is translated in one fell swoop, and then cut up into ten separate proteins. Adding such a complex product to the workload of the endoplasmic reticulum would typically set off its stress sensors. But the researchers discovered that the viral RNA template was translated into protein in such an inefficient, lackadaisical manner, that it didn't trip those alarms.

"There are features of the RNA that makes it inefficiently translated, so it doesn't turn on these stress pathways," Nicchitta said. "Dengue keeps the host cells happy as long as it can. At some point it does gradually overburden the system and the cells will die, but by then the virus has already made tens of thousands of copies of itself."

Nicchitta is currently trying to pinpoint which features of dengue -- its sequence or structure, or both -- underlie the slow and steady approach. It may sound counterintuitive, but he says that if the virus were translated more efficiently, it could no longer hide in plain sight. The host cell would notice, and the jig would be up.

###

The research was supported by the Duke/Duke-NUS Research Collaboration Awards (2014/0013 and 2016/0025), the National Medical Research Council (MOHIAFCat1/0018/2014) and the National Institutes of Health (RO1AI089526, RO1AI101431, GM101533-05A1, GM118630-01A1)

CITATION: "Dengue Virus Selectively Annexes Endoplasmic Reticulum-Associated Translation Machinery as a Strategy for Co-Opting Host Cell Protein Synthesis," David W. Reid, Rafael K. Campos, Jessica R. Child, Tianli Zheng, Kitti Wing Ki Chan, Shelton S. Bradrick, Subhash G. Vasudevan, Mariano A. Garcia-Blanco, and Christopher V. Nicchitta. Journal of Virology , January 10, 2018. doi:10.1128/JVI.01766-17

Journal of Virology

10.1128/JVI.01766-17

Keywords

Article Information

Contact Information

Karl Bates
Duke University
karl.bates@duke.edu

How to Cite This Article

APA:
Duke University. (2018, January 11). Dengue takes low and slow approach to replication. Brightsurf News. https://www.brightsurf.com/news/LR5ZWZM8/dengue-takes-low-and-slow-approach-to-replication.html
MLA:
"Dengue takes low and slow approach to replication." Brightsurf News, Jan. 11 2018, https://www.brightsurf.com/news/LR5ZWZM8/dengue-takes-low-and-slow-approach-to-replication.html.