Bluesky Facebook Reddit Email

Targeting LTA4H improves the tumor immune microenvironment and is expected to be a new treatment strategy for ovarian cancer

03.14.24 | Science China Press

Aranet4 Home CO2 Monitor

Aranet4 Home CO2 Monitor tracks ventilation quality in labs, classrooms, and conference rooms with long battery life and clear e-ink readouts.


This study is led by Prof. Lixiang Xue (Cancer Center of Peking University Third Hospital ,Center of Basic Medical Research, Peking University Third Hospital). In ovarian cancer, the abnormal expression of various metabolic enzymes in the metabolism of polyunsaturated fatty acids (PUFA) is involved in the development of tumor and immune regulation. Most of the patients are admitted with advanced disease, due to the hidden symptoms and difficulty in detecting at early stage. The chemoresistance to standard platinum-based chemotherapy further leads to poor survival. “It is necessary to establish an effective prognostic model and search for key tumor markers to further guide the clinical practice of ovarian cancer and improve patient survival,” Xue says.

The team established a 10-genes signature prognostic model of ovarian cancer based on PUFA related genes. This model has strong robustness and can play a stable predictive role in datasets of different platforms (TCGA, ICGC, GSE17260).

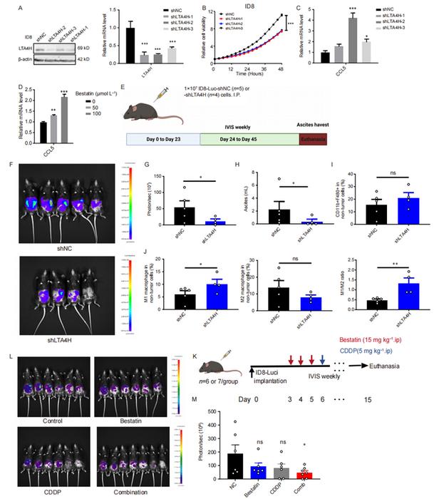
The researchers further used clinical samples to verify the correlation between the expression of these PUFA related genes and patient prognosis or immune infiltration. They found that high expression of LTA4H indicates poor prognosis in ovarian cancer patients and is associated with decreased CD8 + cell infiltration and increased CD11b + cell infiltration. LTA4H is involved in the production of arachidonic acid (AA) derivatives leukotriene B4 (LTB4). “These results suggest that LTA4H plays the negative role in ovarian cancer and is involved in the immune regulation,” Xue says.

The team further confirmed that LTA4H was highly expressed in a variety of ovarian cancer cells. In vitro experiments showed that targeting LTA4H by gene knockdown or inhibitor could significantly inhibit the proliferation of ovarian cancer cells and organoids. In addition, they found that inhibition of LTA4H can significantly increase the expression and secretion of CCL5 in ovarian cancer cells, which may be related to the positive regulation of LTA4H on DNA methyltransferase DNMT1.

Finally, they found that targeting LTA4H significantly inhibited tumor growth in vivo, and increased sensitivity to cisplatin therapy. Targeting LTA4H improved the immune microenvironment by upregulating the proportion of M1 macrophages in the tumor microenvironment. "These new exciting results reveal a hierarchy in how AA /LTA4H/CCL5 determines the sensitivity to Cisplatin and the immunophenotype of ovarian cancers,” Xue says.

AA metabolism has been found disturbed in ovarian cancer as a characteristic pathway in PUFA metabolism, but its role has not been clearly elucidated. This study identifies the immune regulatory function of LTA4H in ovarian cancer, and provides experimental evidence for targeting LTA4H as a new therapeutic strategy for ovarian cancer.

See the article:

Targeting LTA4H facilitates the reshaping of the immune microenvironment mediated by CCL5 and sensitizes ovarian cancer to Cisplatin

https://doi.org/10.1007/s11427-023-2444-5

Science China Life Sciences

10.1007/s11427-023-2444-5

Keywords

Article Information

Contact Information

Bei Yan
Science China Press
yanbei@scichina.org

How to Cite This Article

APA:
Science China Press. (2024, March 14). Targeting LTA4H improves the tumor immune microenvironment and is expected to be a new treatment strategy for ovarian cancer. Brightsurf News. https://www.brightsurf.com/news/LVD3V5NL/targeting-lta4h-improves-the-tumor-immune-microenvironment-and-is-expected-to-be-a-new-treatment-strategy-for-ovarian-cancer.html
MLA:
"Targeting LTA4H improves the tumor immune microenvironment and is expected to be a new treatment strategy for ovarian cancer." Brightsurf News, Mar. 14 2024, https://www.brightsurf.com/news/LVD3V5NL/targeting-lta4h-improves-the-tumor-immune-microenvironment-and-is-expected-to-be-a-new-treatment-strategy-for-ovarian-cancer.html.