Bluesky Facebook Reddit Email

SWI assesses signal strength in different brain regions after acute hemorrhagic anemia

07.14.14 | Neural Regeneration Research

Garmin GPSMAP 67i with inReach

Garmin GPSMAP 67i with inReach provides rugged GNSS navigation, satellite messaging, and SOS for backcountry geology and climate field teams.


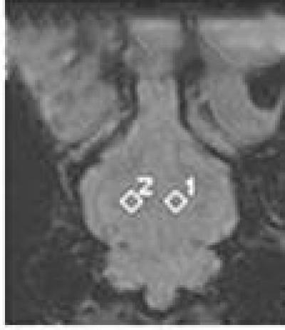
Acute hemorrhagic anemia can decrease blood flow and oxygen supply to brain, and affect its physiological function. Detecting changes in brain function in patients with acute hemorrhagic anemia is helpful for preventing neurological complications and evaluating therapeutic effects. Susceptibility-weighted imaging (SWI) imaging is a novel, non-invasive method for detecting changes in cerebral oxygen levels that may provide more detailed information regarding cerebral blood flow in patients with hemorrhage. Dr. Jun Xia, Second People's Hospital of Shenzhen City, First Affiliated Hospital of Shenzhen University, China and his team found that the SWI signals from the frontal cortex, temporal lobe, and thalamus after the second, third, fourth and fifth bloodletting procedures were significantly lower compared with the corresponding control (pre-bleed) values and that the contrast between cerebral gray and white matter was higher after bloodletting (particularly after the fourth and fifth procedures) than beforehand. These results provide the information regarding pathophysiological changes of the brain after acute hemorrphagic anemia. These findings were published in Neural Regeneration Research (Vol. 9, No. 9, 2014).

Article: " Susceptibility-weighted imaging is suitable for evaluating signal strength in different brain regions of a rabbit model of acute hemorrhagic anemia," by Jun Xia1, Ni Xie2, Anyu Yin1, Guozhao Teng3, Fan Lin1, Yi Lei1 (1 Department of Radiology, Second People's Hospital of Shenzhen City, First Affiliated Hospital of Shenzhen University, Shenzhen, Guangdong Province, China; 2 Biobank, Second People's Hospital of Shenzhen City, First Affiliated Hospital of Shenzhen University, Shenzhen, Guangdong Province, China; 3 Medical Record and Statistics Room, Second People's Hospital of Shenzhen City, First Affiliated Hospital of Shenzhen University, Shenzhen, Guangdong Province, China)

Xia J, Xie N, Yin AY, Teng GZ, Lin F, Lei Y. Susceptibility-weighted imaging is suitable for evaluating signal strength in different brain regions of a rabbit model of acute hemorrhagic anemia. Neural Regen Res. 2014;9(9):990-992.

Contact: Meng Zhao
eic@nrren.org
86-138-049-98773
Neural Regeneration Research
http://www.nrronline.org/

Neural Regeneration Research

Keywords

Article Information

Contact Information

Meng Zhao
eic@nrren.org

How to Cite This Article

APA:
Neural Regeneration Research. (2014, July 14). SWI assesses signal strength in different brain regions after acute hemorrhagic anemia. Brightsurf News. https://www.brightsurf.com/news/LVWENY38/swi-assesses-signal-strength-in-different-brain-regions-after-acute-hemorrhagic-anemia.html
MLA:
"SWI assesses signal strength in different brain regions after acute hemorrhagic anemia." Brightsurf News, Jul. 14 2014, https://www.brightsurf.com/news/LVWENY38/swi-assesses-signal-strength-in-different-brain-regions-after-acute-hemorrhagic-anemia.html.