Bluesky Facebook Reddit Email

How an enzyme tells stem cells which way to divide

05.13.09 | University of Oregon

Apple AirPods Pro (2nd Generation, USB-C)

Apple AirPods Pro (2nd Generation, USB-C) provide clear calls and strong noise reduction for interviews, conferences, and noisy field environments.


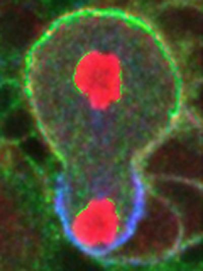
Driving Miranda, a protein in fruit flies crucial to switch a stem cell's fate, is not as complex as biologists thought, according to University of Oregon biochemists. They've found that one enzyme (aPKC) stands alone and acts as a traffic cop that directs which roads daughter cells will take.

"Wherever aPKC is at on a cell's cortex or membrane, Miranda isn't," says Kenneth E. Prehoda, a professor in the chemistry department and member of the UO's Institute of Molecular Biology. When a stem cell duplicates into daughter cells, the side, or cortical domain, containing aPKC (atypical protein kinase C) continues as a stem cell, while the other domain with Miranda becomes a differentiated cell such as a neuron that forms the central nervous system.

Prehoda and co-author Scott X. Atwood, who studied in Prehoda's lab and recently earned his doctorate, describe how the mechanism works in the May 12 issue of the journal Current Biology .

Instead of a complex cascade of protein deactivation steps that many biologists have theorized, Prehoda said, aPKC strips phosphate off an energy-transfer nucleotide known as ATP and then attaches it to Miranda. This process forces Miranda away from aPKC and helps determine the fates of subsequent daughter cells.

"This process is pretty simple," he said, when viewed from a biochemical perspective. "What happens is that Miranda gets phosphorylated by aPKC, turning it into an inactivated substrate and pushing it into another location in the cell."

Much of the paper in Current Biology is devoted to why the more complex scenarios are not accurate. "There have been a lot of ideas on how this works, and most seemed to be really complicated and difficult to explain. We have found it's a much simpler mechanism," Prehoda said, adding that the mechanism likely is similar in many other types of cells, not just stem cells.

"It's a basic-research question. How does this polarity occur? In order to develop stem cell-specific therapeutics based on a rational methodology you have to understand the mechanism," he said.

If Miranda is improperly isolated into other regions by aPKC, the stem cell divides symmetrically, with both daughter cells adopting the same fate, In turn, Prehoda said, these cells can become tumorous as they continue to rapidly divide without proper polarization.

The National Institutes of Health supported the research through a Developmental Biology Training Grant to Atwood and a research grant to Prehoda.

About the University of Oregon

The University of Oregon is a world-class teaching and research institution and Oregon's flagship public university. The UO is a member of the Association of American Universities (AAU), an organization made up of the 62 leading public and private research institutions in the United States and Canada. The UO is one of only two AAU members in the Pacific Northwest.

Source: Kenneth E. Prehoda, associate professor of chemistry, 541-346-5030, prehoda@molbio.uoregon.edu

Links: Prehoda faculty page: http://www.uoregon.edu/~chem/prehoda.html ; Prehoda's lab: http://www.molbio.uoregon.edu/~prehoda/ ; UO department of chemistry: http://www.uoregon.edu/~chem/ ; UO Institute of Molecular Biology: http://www.molbio.uoregon.edu/

Current Biology

Keywords

Article Information

Contact Information

Jim Barlow
University of Oregon
jebarlow@uoregon.edu

How to Cite This Article

APA:
University of Oregon. (2009, May 13). How an enzyme tells stem cells which way to divide. Brightsurf News. https://www.brightsurf.com/news/LVWMXDY8/how-an-enzyme-tells-stem-cells-which-way-to-divide.html
MLA:
"How an enzyme tells stem cells which way to divide." Brightsurf News, May. 13 2009, https://www.brightsurf.com/news/LVWMXDY8/how-an-enzyme-tells-stem-cells-which-way-to-divide.html.