Bluesky Facebook Reddit Email

Damage to the heart found in more than half of COVID-19 patients discharged from hospital

02.17.21 | European Society of Cardiology

Kestrel 3000 Pocket Weather Meter

Kestrel 3000 Pocket Weather Meter measures wind, temperature, and humidity in real time for site assessments, aviation checks, and safety briefings.


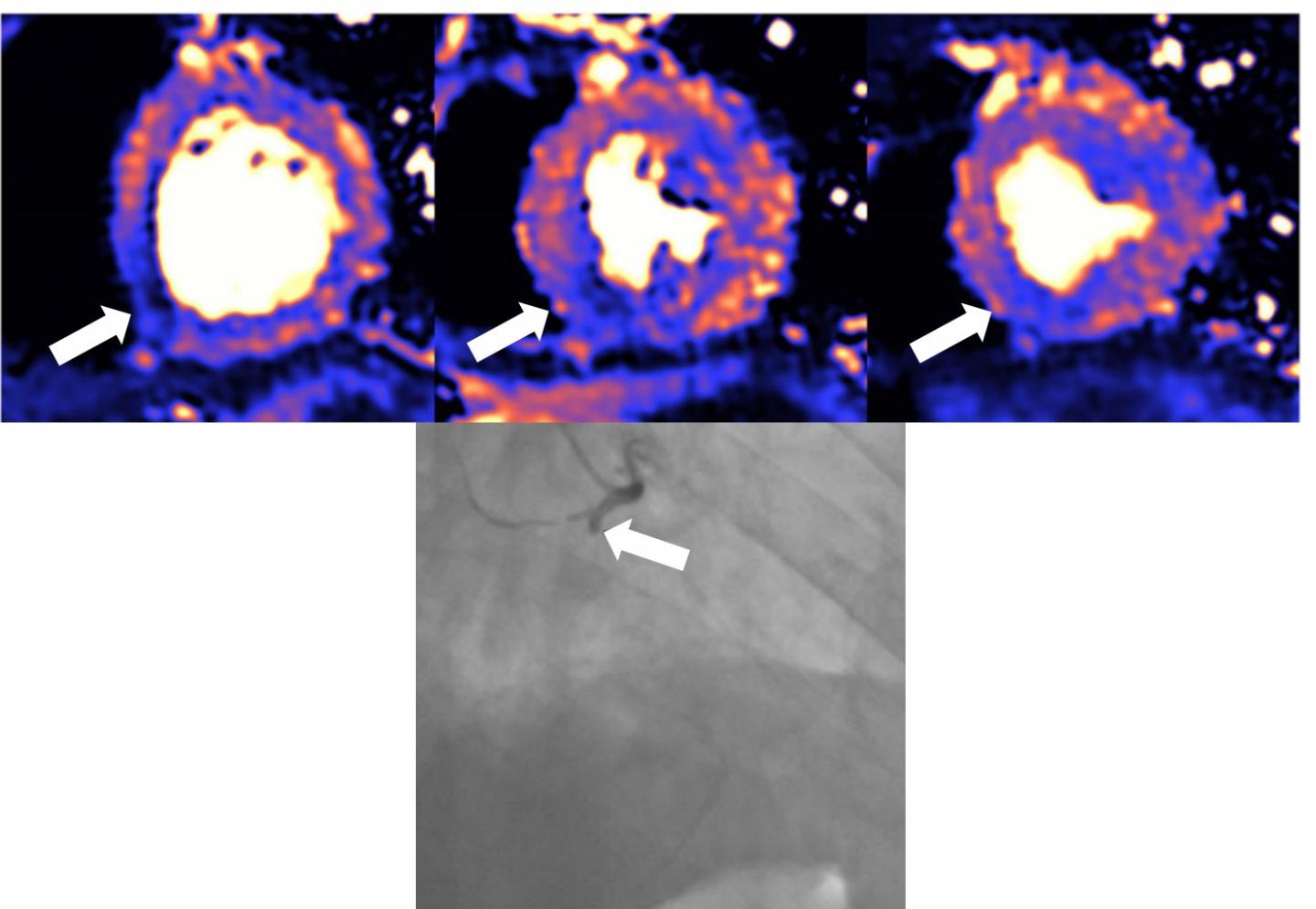
Around 50% of patients who have been hospitalised with severe COVID-19 and who show raised levels of a protein called troponin have damage to their hearts. The injury was detected by magnetic resonance imaging (MRI) scans at least a month after discharge, according to new findings published today (Thursday) in the European Heart Journal [1].

Damage includes inflammation of the heart muscle (myocarditis), scarring or death of heart tissue (infarction), restricted blood supply to the heart (ischaemia) and combinations of all three.

The study of 148 patients from six acute hospitals in London is the largest study to date to investigate convalescing COVID-19 patients who had raised troponin levels indicating a possible problem with the heart.

Troponin is released into the blood when the heart muscle is injured. Raised levels can occur when an artery becomes blocked or there is inflammation of the heart. Many patients who are hospitalised with COVID-19 have raised troponin levels during the critical illness phase, when the body mounts an exaggerated immune response to the infection. Troponin levels were elevated in all the patients in this study who were then followed up with MRI scans of the heart after discharge in order to understand the causes and extent of the damage.

Professor Marianna Fontana, professor of cardiology at University College London (UK), who led the research together with Dr. Graham Cole, a consultant cardiologist at Imperial College London, said: "Raised troponin levels are associated with worse outcomes in COVID-19 patients. Patients with severe COVID-19 disease often have pre-existing heart-related health problems including diabetes, raised blood pressure and obesity. During severe COVID-19 infection, however, the heart may also be directly affected. Unpicking how the heart can become damaged is difficult, but MRI scans of the heart can identify different patterns of injury, which may enable us to make more accurate diagnoses and to target treatments more effectively."

The researchers investigated COVID-19 patients discharged up until June 2020 from six hospitals across three NHS London trusts: Royal Free London NHS Foundation Trust, Imperial College Healthcare NHS Trust and University College London Hospital NHS Foundation Trust. Patients who had abnormal troponin levels were offered an MRI scan of the heart after discharge and were compared with those from a control group of patients who had not had COVID-19, as well as from 40 healthy volunteers.

"The recovering COVID-19 patients had been very ill; all required hospitalisation and all had troponin elevation, with around one in three having been on a ventilator in the intensive care unit," said Prof. Fontana.

"We found evidence of high rates of heart muscle injury that could be seen on the scans a month or two after discharge. Whilst some of this may have been pre-existing, MRI scanning shows that some were new, and likely caused by COVID-19. Importantly, the pattern of damage to the heart was variable, suggesting that the heart is at risk of different types of injury. While we detected only a small amount of ongoing injury, we saw injury to the heart that was present even when the heart's pumping function was not impaired and might not have been picked up by other techniques. In the most severe cases, there are concerns that this injury may increase the risks of heart failure in the future, but more work is needed to investigate this further."

The function of the heart's left ventricle, the chamber that is responsible for pumping oxygenated blood to all parts of the body, was normal in 89% of the 148 patients but scarring or injury to the heart muscle was present in 80 patients (54%). The pattern of tissue scarring or injury originated from inflammation in 39 patients (26%), ischaemic heart disease, which includes infarction or ischaemia, in 32 patients (22%), or both in nine patients (6%). Twelve patients (8%) appeared to have ongoing heart inflammation.

Prof. Fontana said: "Injury relating to inflammation and scarring of the heart is common in COVID-19 patients with troponin elevation discharged from hospital, but is of limited extent and has little consequence for the heart's function.

"These findings give us two opportunities: firstly, to find ways of preventing the injury in the first place, and from some of the patterns we have seen, blood clotting may be playing a role, for which we have potential treatments. Secondly, detecting the consequences of injury during convalescence may identify subjects who would benefit from specific supporting drug treatments to protect heart function over time."

The findings of the study are limited by the nature of patient selection and included only those who survived a coronavirus infection that required hospital admission.

"The convalescent patients in this study had severe COVID-19 disease and our results say nothing about what happens to people who are not hospitalised with COVID, or those who are hospitalised but without elevated troponin. The findings indicate potential ways to identify patients at higher or lower risk and suggest potential strategies that may improve outcomes. More work is needed, and MRI scans of the heart have shown how useful it is in investigating patients with troponin elevation," concluded Prof. Fontana.

The study is also the subject of a discussion between Prof. Fontana and Prof. Eike Nagel, at the Society for Cardiovascular Magnetic Resonance annual meeting on Friday 19 February, where it will be presented for the first time [2]. Prof. Nagel, director of the Centre for Cardiovascular Imaging at Deutsches Zentrum Für Herz-Kreislauf-Forschung (DZHK), Frankfurt, Germany, is the senior author on an earlier paper [3] that found ongoing heart problems in up to 78% of COVID-19 patients who were less sick and most of whom did not require admission to hospital.

###

Notes:

[1] "Patterns of myocardial injury in recovered troponin-positive COVID-19 patients assessed by cardiovascular magnetic resonance", by Tushar Kotecha et al. European Heart Journal . doi:10.1093/eurheartj/ehab075

[2] Society for Cardiovascular Magnetic Resonance virtual scientific sessions 2021, 09.00-09.45 hrs Central Standard Time in USA (6 hours behind GMT): https://bit.ly/3oMn84t

[3] JAMA Cardiol. 2020;5(11):1265-1273. doi: 10.1001/jamacardio.2020.3557.

European Heart Journal

10.1093/eurheartj/ehab075

Keywords

Article Information

Contact Information

How to Cite This Article

APA:
European Society of Cardiology. (2021, February 17). Damage to the heart found in more than half of COVID-19 patients discharged from hospital. Brightsurf News. https://www.brightsurf.com/news/1470WPN1/damage-to-the-heart-found-in-more-than-half-of-covid-19-patients-discharged-from-hospital.html
MLA:
"Damage to the heart found in more than half of COVID-19 patients discharged from hospital." Brightsurf News, Feb. 17 2021, https://www.brightsurf.com/news/1470WPN1/damage-to-the-heart-found-in-more-than-half-of-covid-19-patients-discharged-from-hospital.html.