Bluesky Facebook Reddit Email

Stopping schizophrenia before it starts?

01.28.10 | American Friends of Tel Aviv University

CalDigit TS4 Thunderbolt 4 Dock

CalDigit TS4 Thunderbolt 4 Dock simplifies serious desks with 18 ports for high-speed storage, monitors, and instruments across Mac and PC setups.


The onset of schizophrenia is not easy to predict. Although it is associated with as many as 14 genes in the human genome, the prior presence of schizophrenia in the family is not enough to determine whether one will succumb to the mind-altering condition. The disease also has a significant environmental link.

According to Prof. Ina Weiner of Tel Aviv University's Department of Psychology, the developmental disorder, which usually manifests in early adulthood, can be triggered in the womb by an infection. But unlike developmental disorders such as autism, it takes many years for the symptoms of schizophrenia to develop.

"Pharmacological treatments for schizophrenia remain unsatisfactory, so clinicians and researchers like myself have started to dig in another direction," says Prof. Weiner. "The big question asked in recent years is if schizophrenia can be prevented."

Revolutionizing the treatment

In their study, recently reported in Biological Psychiatry , Prof. Weiner and her colleagues Dr. Yael Piontkewiz and Dr. Yaniv Assaf sought to discover biological cues that would help trace the progression of the disease before symptoms manifested. "If progressive brain changes occur as schizophrenia is emerging, it is possible that these changes could be prevented by early intervention," she says. "That would revolutionize the treatment of the disorder.

"We wondered if we could use neuro-imaging to track any early-onset changes in the brains of laboratory animals," Prof. Weiner says. "If so, could these changes and their accompanying schizophrenia-like symptoms be prevented if caught early enough?"

Beyond a doubt

Prof. Weiner and her team gave pregnant rats a viral mimic known to induce a schizophrenia-like behavioral disorder in the offspring. This method simulates maternal infection in pregnancy, a well known risk factor for schizophrenia. Prof. Weiner demonstrated that the rat offspring were normal at birth and during adolescence. But in early adulthood, the animals, like their human counterparts, began to show schizophrenia-like symptoms.

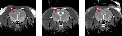
Looking at brain scans and behavior, Prof. Weiner found abnormally developing lateral ventricles and the hippocampus in those rats with "schizophrenia." Those that were at high risk for the condition could be given drugs to treat their brains, she determined. Following treatment with risperidone and clozapine, two commonly used drugs to treat schizophrenia, brain scans showed that the lateral ventricles and the hippocampus retained a healthy size.

"Clinicians have suspected that these drugs can be used to prevent the onset of schizophrenia, but this is the first demonstration that such a treatment can arrest the development of brain deterioration," says Prof. Weiner. She says that the drugs work best when delivered during the rats' "adolescent" period, several months before they reached full maturity.

Now, anti-psychotics are prescribed only when symptoms are present. Prof. Weiner believes that an effective non-invasive prediction method (looking at the developmental trajectory of specific changes in the brain), coupled with a low dose drug taken during adolescence, could stave off schizophrenia in those most at risk.

More research is needed to see at what point changes in the brain can be detected, work that Prof. Weiner has already begun. She adds that the neuroimaging was performed in the Alfredo Federico Strauss Center for Computational Neuro-Imaging, Raymond and Beverly Sackler Center for Biophysics, Tel Aviv University.

American Friends of Tel Aviv University ( www.aftau.org ) supports Israel's leading and most comprehensive center of higher learning. In independent rankings, TAU's innovations and discoveries are cited more often by the global scientific community than all but 20 other universities worldwide.

Internationally recognized for the scope and groundbreaking nature of its research programs, Tel Aviv University consistently produces work with profound implications for the future.

Biological Psychiatry

Keywords

Article Information

Contact Information

George Hunka
ghunka@aftau.org

Source

How to Cite This Article

APA:
American Friends of Tel Aviv University. (2010, January 28). Stopping schizophrenia before it starts?. Brightsurf News. https://www.brightsurf.com/news/14GOPQ9L/stopping-schizophrenia-before-it-starts.html
MLA:
"Stopping schizophrenia before it starts?." Brightsurf News, Jan. 28 2010, https://www.brightsurf.com/news/14GOPQ9L/stopping-schizophrenia-before-it-starts.html.