Bluesky Facebook Reddit Email

Singapore scientists discover genetic cause of common breast tumours in women

07.20.14 | SingHealth

Apple AirPods Pro (2nd Generation, USB-C)

Apple AirPods Pro (2nd Generation, USB-C) provide clear calls and strong noise reduction for interviews, conferences, and noisy field environments.


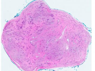
Singapore, 21 July 2014 – A multi-disciplinary team of scientists from the National Cancer Centre Singapore, Duke-NUS Graduate Medical School Singapore, and Singapore General Hospital have made a seminal breakthrough in understanding the molecular basis of fibroadenoma, one of the most common breast tumours diagnosed in women. The team, led by Professors Teh Bin Tean, Patrick Tan, Tan Puay Hoon and Steve Rozen, used advanced DNA sequencing technologies to identify a critical gene called MED12 that was repeatedly disrupted in nearly 60% of fibroadenoma cases. Their findings have been published in the top-ranked journal Nature Genetics .

Fibroadenomas are the most common benign breast tumours in women of reproductive age, affecting thousands of women in Singapore each year. Worldwide, it is estimated that millions of women are diagnosed with fibroadenoma annually. Frequently discovered in clinical workups for breast cancer diagnosis and during routine breast cancer screening, clinicians often face of challenge of distinguishing fibroadenomas from breast cancer.

To facilitate this diagnostic question, the team embarked on a study to identify if there are any genetic abnormalities in fibroadenomas that may be used to differentiate them. By analysing all the protein-coding genes in a panel of fibroadenomas from Singapore patients, the team identified frequent mutations in a gene called MED12 in a remarkable 60% of fibroadenomas. Prof Tan Puay Hoon said, "It is amazing that these common breast tumours can be caused by such a precise disruption in a single gene. Our findings show that even common diseases can have a very exact genetic basis. Importantly, now that we know the cause of fibroadenoma, this research can have many potential applications."

Prof Tan added, "For example, measuring the MED12 gene in breast lumps may help clinicians to distinguish fibroadenomas from other types of breast cancer. Drugs targeting the MED12 pathway may also be useful in patients with multiple and recurrent fibroadenomas as this could help patients avoid surgery and relieve anxiety."

The team's findings have also deepened the conceptual understanding of how tumours can develop. Like most breast tumours including breast cancers, fibroadenomas consist of a mixed population of different cell types, called epithelial cells and stromal cells. However, unlike breast cancers where the genetic abnormalities arise from the epithelial cells, the scientists, using a technique called laser capture microdissection (LCM), showed that the pivotal MED12 mutations in fibroadenomas are found in the stromal cells.

Assoc Prof Steve Rozen said, "Stromal cells function to provide a supportive tissue around organs, and in breast cancers, are typically thought of as uninvolved or at least secondary bystanders in tumour formation. Our study shows that far from that, fibroadenomas and possibly other tumours may actually arise from genetic lesions in stromal cells. Targeting such stromal cells may be an important avenue for therapy in the future."

Reflecting its importance, the study also sheds light on the cause of uterine fibroids, another common benign tumour in women where similar MED12 mutations have been observed. Prof Patrick Tan said, "Combined with our data, the fact that MED12 mutations are shared, highly frequent, and specific to fibroadenomas and uterine fibroids strongly attests to a role for abnormal responses to female hormones in the birth of these tumours."

The scientists are already planning further studies to explore this possibility by investigating the role of MED12 in other categories of breast tumours.

The study also involved investigators from the Cancer Science Institute of Singapore, Genome Institute of Singapore, A*STAR, and National University Hospital. According to Prof Teh Bin Tean, "Our study's success was only possible due to a multi-institutional, multi-disciplinary collaboration centred on the concept of team science. The group, called BRGO (Breast Research Group at Outram), leverages on the diverse expertise of scientists and clinicians coming from fields such as molecular biology, bioinformatics, pathology, breast surgery and oncology."

Funding for this work was provided by the Singapore National Medical Research Council, the Singapore Millennium Foundation, the Lee Foundation, the Tanoto Foundation, the National Cancer Centre Singapore's NCC Research Fund, the Duke-NUS Graduate Medical School, the Cancer Science Institute, Singapore and the Verdant Foundation, Hong Kong.

Nature Genetics

Keywords

Article Information

Contact Information

How to Cite This Article

APA:
SingHealth. (2014, July 20). Singapore scientists discover genetic cause of common breast tumours in women. Brightsurf News. https://www.brightsurf.com/news/14GPWWOL/singapore-scientists-discover-genetic-cause-of-common-breast-tumours-in-women.html
MLA:
"Singapore scientists discover genetic cause of common breast tumours in women." Brightsurf News, Jul. 20 2014, https://www.brightsurf.com/news/14GPWWOL/singapore-scientists-discover-genetic-cause-of-common-breast-tumours-in-women.html.