Bluesky Facebook Reddit Email

New study explains why MRSA 'superbug' kills influenza patients

08.15.16 | Rockefeller University Press

SAMSUNG T9 Portable SSD 2TB

SAMSUNG T9 Portable SSD 2TB transfers large imagery and model outputs quickly between field laptops, lab workstations, and secure archives.


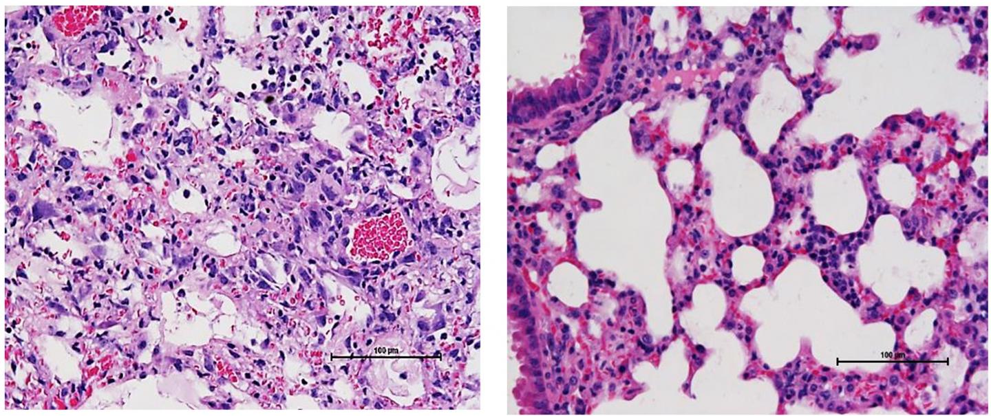
Researchers have discovered that secondary infection with the Methicillin-resistant Staphylococcus aureus (MRSA) bacterium (or "superbug") often kills influenza patients because the flu virus alters the antibacterial response of white blood cells, causing them to damage the patients' lungs instead of destroying the bacterium. The study, which will be published online August 15 ahead of issue in The Journal of Experimental Medicine , suggests that inhibiting this response may help treat patients infected with both the flu virus and MRSA.

Many influenza patients develop severe pneumonia as a result of secondary infections with MRSA. Over half of these patients die, even when treated with antibiotics that are usually capable of clearing MRSA infections. Keer Sun, an assistant professor at the University of Nebraska Medical Center, previously discovered that mice infected with influenza are susceptible to MRSA because the ability of their macrophages and neutrophils to kill bacteria by releasing hydrogen peroxide and other reactive oxygen species is suppressed. But it remained unclear why MRSA-infected influenza patients often die, even after receiving an appropriate antibiotic treatment.

Sun and colleagues now reveal that this may be because the patients' white blood cells cause extensive damage to their lungs. Though the macrophages and neutrophils of mice co-infected with influenza and MRSA were defective at killing bacteria, reactive oxygen species released by these cells induced the death of inflammatory cells within the lungs, lethally damaging the surrounding tissue. Inhibiting NADPH oxidase 2 (Nox2), the enzyme that produces reactive oxygen species in macrophages and neutrophils, reduced the extent of this damage and, when combined with antibiotic treatment, boosted the survival of co-infected mice.

"Our results demonstrate that influenza infection disrupts the delicate balance between Nox2-dependent antibacterial immunity and inflammation," says Sun. "This not only leads to increased susceptibility to MRSA infection but also extensive lung damage. Treatment strategies that target both bacteria and reactive oxygen species may significantly benefit patients with influenza-complicated MRSA pneumonia."

###

Sun, K., et al. 2016. J. Exp. Med. http://dx.doi.org/10.1084/jem.20150514

About The Journal of Experimental Medicine

The Journal of Experimental Medicine (JEM) features peer-reviewed research on immunology, cancer biology, stem cell biology, microbial pathogenesis, vascular biology, and neurobiology. All editorial decisions are made by research-active scientists in conjunction with in-house scientific editors. JEM provides free online access to many article types immediately, with complete archival content freely available online. Established in 1896, JEM is published by The Rockefeller University Press. For more information, visit jem.org . Follow us on Twitter at @JExpMed and @RockUPress .

Journal of Experimental Medicine

10.1084/jem.20150514

Keywords

Article Information

Contact Information

Ben Short
Rockefeller University Press
bshort@rockefeller.edu

How to Cite This Article

APA:
Rockefeller University Press. (2016, August 15). New study explains why MRSA 'superbug' kills influenza patients. Brightsurf News. https://www.brightsurf.com/news/19V06708/new-study-explains-why-mrsa-superbug-kills-influenza-patients.html
MLA:
"New study explains why MRSA 'superbug' kills influenza patients." Brightsurf News, Aug. 15 2016, https://www.brightsurf.com/news/19V06708/new-study-explains-why-mrsa-superbug-kills-influenza-patients.html.