Bluesky Facebook Reddit Email

Radiologists detect injury patterns of intimate partner violence

11.27.17 | Brigham and Women's Hospital

Apple Watch Series 11 (GPS, 46mm)

Apple Watch Series 11 (GPS, 46mm) tracks health metrics and safety alerts during long observing sessions, fieldwork, and remote expeditions.


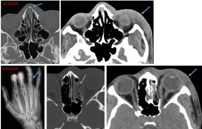
Radiology images can reveal critical clues not only about a patient's current injuries, but also about patterns of violence a person may be experiencing. Investigators from Brigham and Women's Hospital present data today at the annual meeting of the Radiological Society of North America (RSNA) from a study that reveals new ways that radiologists can be involved in the care of victims of intimate partner violence (IPV). The team found common clinical and radiologic patterns that could alert radiologists of potential IPV, to spark a conversation with the referring physician and multi-disciplinary care team to get patients the help they need.

"We are recognizing new ways for radiologists to be involved in the care of victims of intimate partner violence and that there might be more information available in the radiology images, which is evident only when we are cognizant of the subtle patterns of injury," said Elizabeth George, MD, a radiology resident at BWH. "We, as radiologists, should work closely with referring physicians and can often put the pieces together as an unbiased witness."

The case that inspired the principal investigator Bharti Khurana, MD, involved a young woman who presented to the Emergency Department with an acute nasal bone fracture superimposed on an old healed fracture. While going through prior studies of the patient on the hospital's picture archiving and communication system, or PACS, she came across a recent wrist fracture. This pattern of recurrent injury made her raise the suspicion for intimate partner violence, a finding the referring physician initially had not suspected.

"This also led us to connect with some of our Emergency Department staff physicians and colleagues who were already working on the clinical and social aspects of this issue," said Khurana, Emergency Radiology fellowship program director at BWH. "We then went on to design this research study to objectively assess the clinical and radiologic findings in this population."

The study analyzed information from 185 patients seen in the Emergency Department at BWH and referred to the hospital's Intimate Partner Violence support program between January 2015 and October 2016. The research team evaluated information on demographics, clinical presentation and history and imaging findings from studies performed in the preceding five years.

The team found that 151 patients (81.6 percent) had a prior history of abuse, including physical, emotional or sexual abuse. Most had received radiologic examinations in the past, with a median of four exams per patient.

On evaluation, common patterns of injury emerged from the team's research. These included soft tissue injuries (swelling, hematoma or contusion) and extremity fractures, often involving the distal upper extremities, suggesting injury from defensive attempts. Another commonly seen injury was facial fractures. On a clinical front, the team also identified that IPV victims often present with physical or psychologic symptoms that were not directly related to the abuse, thereby reinforcing the need for screening protocols to identify these patients. IPV victims in the study were more likely to be homeless, while the sexual assault victims often suffered from illicit drug abuse.

"The injury patterns we've found could alert the radiologists of potential IPV. Our clinical findings point toward the complex nature of these social situations and the need for a targeted intervention program not only to identify but also intervene in the various aspects of care of these patients," said Khurana.

The team presented data as well as anecdotes illustrating that radiology images may detect violence months or even years before a patient seeks help.

"Images do not lie and can sometimes tell us more than the patient in this situation," said Khurana. "In the emergency room setting, the priority is to identify acute pathologies, and hence old fractures or fracture-related deformities may not be given sufficient importance. But the presence of old and acute fractures may be pivotal in making the diagnosis of IPV."

###

Co-authors are Catherine Phillips, M.D., Nandish Shah, M.D., Annie Lewis-O'Connor, Ph.D., M.P.H, and Hanni M. Stoklosa, M.D., M.P.H.

Keywords

Contact Information

How to Cite This Article

APA:
Brigham and Women's Hospital. (2017, November 27). Radiologists detect injury patterns of intimate partner violence. Brightsurf News. https://www.brightsurf.com/news/1EK2XZ31/radiologists-detect-injury-patterns-of-intimate-partner-violence.html
MLA:
"Radiologists detect injury patterns of intimate partner violence." Brightsurf News, Nov. 27 2017, https://www.brightsurf.com/news/1EK2XZ31/radiologists-detect-injury-patterns-of-intimate-partner-violence.html.