Bluesky Facebook Reddit Email

Researchers uncover mechanisms behind enigmatic shapes of nuclei

02.14.24 | University of California - San Diego

CalDigit TS4 Thunderbolt 4 Dock

CalDigit TS4 Thunderbolt 4 Dock simplifies serious desks with 18 ports for high-speed storage, monitors, and instruments across Mac and PC setups.


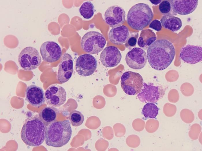
Nearly 150 years ago, scientists discovered that specialized blood cells serve a vital role in immune system protection against infection and illness.

Certain groups of these white blood cells, now known as neutrophils, feature a nucleus that is structured strikingly different than most nuclei. The majority of cells feature round- or oval-shaped nuclei that are rigid, but neutrophils differ in that their nuclei adopt multiple lobular structures akin to that of flower petal arrangements.

These unique nuclear shapes permit neutrophils to travel all over the body to identify and combat invading pathogens. While much is now known about the role of neutrophils in combatting infection, how such peculiar nuclear structures are assembled has remained enigmatic since the 1880s.

Reporting in Nature , University of California San Diego School of Biological Sciences Postdoctoral Scholar Indumathi Patta and Professor Cornelis Murre, in collaboration with Dr. Ming Hu at the Cleveland Clinic Foundation, have deciphered the shapeshifting puzzle of the neutrophil nucleus.

“We now know how these nuclear shapes are assembled and it’s a beautiful process,” said Murre, a distinguished professor in the Department of Molecular Biology.

Using a combination of ancient staining procedures combined with advanced techniques, named chromosome-conformation-capture studies, the researchers unveiled how flower-like nuclei are assembled. While chromosomes of rounded cells fold into stacked bundles of DNA loops, neutrophil genomes lack such loops. Remarkably, when the researchers removed chromatin loops, progenitor cells swiftly converted round nuclear shapes into flower petal arrangements like those found in neutrophils. This simple conversion also sufficed to activate thousands of genes associated with an inflammatory gene program that allows neutrophils to combat invading bacteria.

After unveiling the neutrophil loop assembly question, the researchers now believe they have the instructions to guide the development of new nuclear shapes.

“This potentially opens an exciting new chapter in immune therapeutics since theoretically it should be possible to change the nuclear structure of killer immune cells so that they can more easily invade complex, solid environments, such as tumors,” said Murre. “Essentially, this could lead to engineering novel nuclear shapes in effector immune cells, which is a new concept in therapeutics development.”

The authors of the study include: Indumathi Patta, Maryam Zand, Lindsay Lee, Shreya Mishra, Alexandra Bortnick, Hanbin Lu, Arpita Prusty, Sara McArdle, Zbigniew Mikulski, Huan-You Wang, Christine Cheng, Kathleen Fisch, Ming Hu and Cornelis Murre.

Nature

10.1038/s41586-024-07086-9

Experimental study

Cells

Nuclear morphology is shaped by loop extrusion programs

14-Feb-2024

Keywords

Article Information

Contact Information

Mario Aguilera
University of California - San Diego
maguilera@ucsd.edu

How to Cite This Article

APA:
University of California - San Diego. (2024, February 14). Researchers uncover mechanisms behind enigmatic shapes of nuclei. Brightsurf News. https://www.brightsurf.com/news/1EO503OL/researchers-uncover-mechanisms-behind-enigmatic-shapes-of-nuclei.html
MLA:
"Researchers uncover mechanisms behind enigmatic shapes of nuclei." Brightsurf News, Feb. 14 2024, https://www.brightsurf.com/news/1EO503OL/researchers-uncover-mechanisms-behind-enigmatic-shapes-of-nuclei.html.