Bluesky Facebook Reddit Email

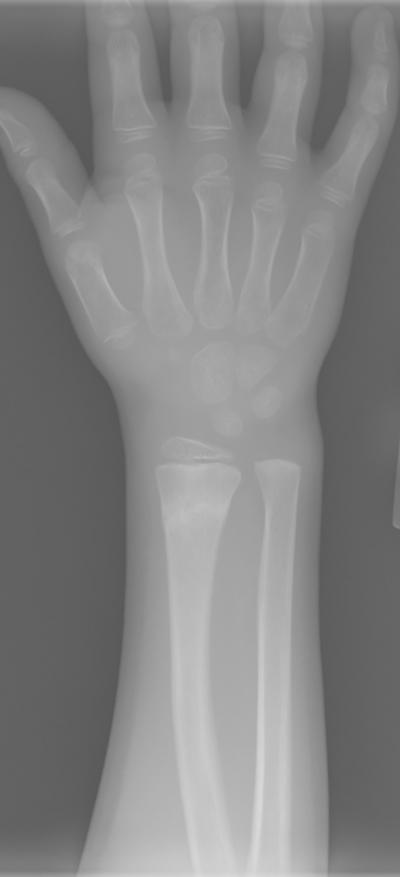
Neural network-assisted bone fracture detection

10.22.18 | Proceedings of the National Academy of Sciences

DJI Air 3 (RC-N2)

DJI Air 3 (RC-N2) captures 4K mapping passes and environmental surveys with dual cameras, long flight time, and omnidirectional obstacle sensing.


Researchers report that a deep neural network designed to identify fractures in radiographs that was trained using 135,409 annotated radiographs from 18 senior orthopedic surgeons helped emergency department clinicians reduce the rate of radiograph misinterpretation by 47%, a result demonstrating how deep neural networks, trained by experienced specialists, can transfer expertise to generalist clinicians.

###

Article #18-06905: "Deep neural network improves fracture detection by clinicians," by Robert Lindsey et al .

MEDIA CONTACT: Robert Lindsey, Imagen Technologies, New York, NY; tel: 580-279-9987; e-mail: rob@imagen.ai

Proceedings of the National Academy of Sciences

Keywords

Article Information

Contact Information

Robert Lindsey
rob@imagen.ai

How to Cite This Article

APA:
Proceedings of the National Academy of Sciences. (2018, October 22). Neural network-assisted bone fracture detection. Brightsurf News. https://www.brightsurf.com/news/1GN2255L/neural-network-assisted-bone-fracture-detection.html
MLA:
"Neural network-assisted bone fracture detection." Brightsurf News, Oct. 22 2018, https://www.brightsurf.com/news/1GN2255L/neural-network-assisted-bone-fracture-detection.html.