Bluesky Facebook Reddit Email

Hydrolyzed or non-hydrolyzed collagen: which one is suitable for nerve cell culture?

09.05.13 | Neural Regeneration Research

Fluke 87V Industrial Digital Multimeter

Fluke 87V Industrial Digital Multimeter is a trusted meter for precise measurements during instrument integration, repairs, and field diagnostics.


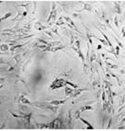
In the central nervous system, nerve cells adhere to the extracellular matrix. Type I collagen is the major class of insoluble fibrous proteins in the extracellular matrix. A previous study has shown that neural stem and progenitor cells, cultured on collagen matrices, are able to expand actively and generate neurons. Collagens can be classified into hydrolyzed and non-hydrolyzed collagens, or two-dimensional and three-dimensional collagens. Which form of collagen is suitable for nerve cell culture? Dr. Mohsen Fathi Najafi and colleagues from Mashhad University of Medical Science, Iran, investigated the effects of hydrolyzed and non-hydrolyzed collagen and two-dimensional and three-dimensional collagen matrices on cell survival, attachment and neurite outgrowth of primary cultured nerve cells using 3-[4,5-dimethylthiazol-2-yl]-2,5-diphenyltetrazolium bromide co-lorimetric assay and inverted microscopy. Hydrolyzed collagen facilitated nerve cell survival and neurite outgrowth, but it had no obvious influences on cell attachment. In contrast, non-hydrolyzed two-dimensional collagen matrix had no obvious effects on neurite outgrowth. These findings, published the Neural Regeneration Research (Vol. 8, No. 23, 2013), suggest that hydrolyzed collagen is an ideal nerve cell culture media.

Article: " Which form of collagen is suitable for nerve cell culture?," by Mohsen Fathi Najafi1, Saber Zahri2, Fatemeh Vahedi1, Leila Esmaililian Toosi3, Nazila Ariaee2, 3 (1 Razi Vaccine and Serum Research Institute, Mashhad, Iran; 2 Departamnt of Biology, University of Mohaghegh Ardebili, Ardebil, Iran; 3 Inflammation and Inflammatory Diseases Research Center, Mashhad University of Medical Science, Mashhad, Iran)

Najafi MF, Zahri S, Vahedi F, Toosi LE, Ariaee N. Which form of collagen is suitable for nerve cell culture? Neural Regen Res. 2013;8(23):2165-2170.

Contact: Meng Zhao
eic@nrren.org
86-138-049-98773
Neural Regeneration Research
http://www.nrronline.org/

Full text: http://www.sjzsyj.org/CN/article/downloadArticleFile.do?attachType=PDF&id=688

Neural Regeneration Research

Keywords

Article Information

Contact Information

Meng Zhao
eic@nrren.org

How to Cite This Article

APA:
Neural Regeneration Research. (2013, September 5). Hydrolyzed or non-hydrolyzed collagen: which one is suitable for nerve cell culture?. Brightsurf News. https://www.brightsurf.com/news/1GN557EL/hydrolyzed-or-non-hydrolyzed-collagen-which-one-is-suitable-for-nerve-cell-culture.html
MLA:
"Hydrolyzed or non-hydrolyzed collagen: which one is suitable for nerve cell culture?." Brightsurf News, Sep. 5 2013, https://www.brightsurf.com/news/1GN557EL/hydrolyzed-or-non-hydrolyzed-collagen-which-one-is-suitable-for-nerve-cell-culture.html.