Bluesky Facebook Reddit Email

Study maps extroversion types in the brain's anatomy

02.25.15 | Brown University

SAMSUNG T9 Portable SSD 2TB

SAMSUNG T9 Portable SSD 2TB transfers large imagery and model outputs quickly between field laptops, lab workstations, and secure archives.


PROVIDENCE, R.I. [Brown University] -- Everyday experience and psychological studies alike tell us that there are two different types of extroverts: The gregarious "people-persons" who find reward in sharing affection and affiliation with others, and the ambitious "go-getters" who flash those bright-white smiles in their pursuit of achievement and leadership agendas. A new study shows that these overlapping yet distinct personalities have commensurately overlapping yet distinct signatures in the anatomy of the brain.

"These are people just sharing with you how they tend to experience the world and what's important to them," said Tara White, assistant professor (research) of behavioral and social sciences in the Brown University School of Public Health and corresponding author of the new study. "The fact that that's validated in the brain is really exciting. There's a deep reality there."

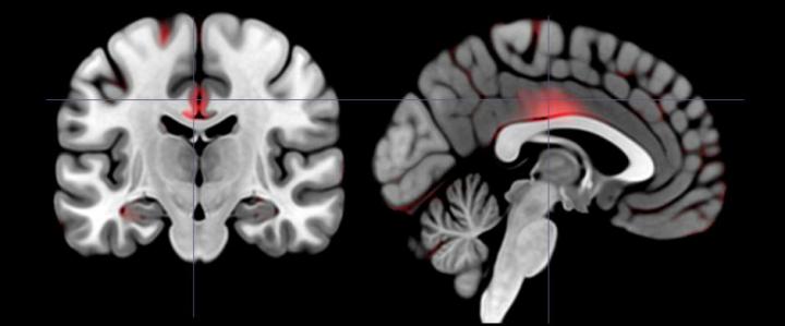
The report, published in Cognitive, Affective, and Behavioral Neuroscience, is based on structural MRI scans of 83 men and women ranging in age from 18 to 54. That makes it the first study to produce evidence of the physical similarities and differences between extrovert types in the brain across adulthood. One other study had made such observations only in seniors.

"This is the first glimpse of a benchmark of what the healthy adult brain looks like with these traits," said White, who is based at Brown's Center for Alcohol and Addiction Studies. She studies the neural basis of personality and how such personality differences change the way people respond to drugs and alcohol.

Extroversion on the inside

In this study, subjects were first screened for mental and physical health and then were given standard personality tests that measured scores of both kinds of extroversion (psychologists call the people persons "affiliative" and the go-getters "agentic" (a-JEN-tick).

The subjects then underwent MRI scans designed to detect the volume of gray matter in different regions of their brain. From the psychological literature on extroversion, White and lead author Erica Grodin, a graduate student, knew they wanted to look in regions of interest such as the medial orbitofrontal cortex, which is involved in making choices based on reward, but they also cast a broader net of analysis across the whole brain using a technique called voxel-based morphometry.

As expected, they found that higher degrees of either kind of extroversion significantly correlated with higher gray matter volumes in the right and left medial orbitofrontal cortex, even after controlling for possible confounding factors such as age. But among the people with higher agentic extroversion scores, they also found several other regions that had significantly larger gray matter volumes: the parahippocampal gyrus (involved in learning and memory for reward); the precentral gyrus, cingulate gyrus, and caudate (involved in the cognitive control of behavior and the initiation, planning, and execution of voluntary movement toward goals); and, among the men in the study, the nucleus accumbens (involved in incentive reward).

So while both kinds of extroverts had higher volumes in one key brain region, agentic extroverts also had higher volumes in several other areas. White and Grodin found many of those other areas through the VBM analysis of the whole brain.

The authors caution that the study shows only an association, not whether or how larger volumes result in the personality traits. It also does not explain when larger volumes develop -- for example, whether people are born with or acquire the larger volumes associated with either extroversion tendency. But with further research, the new data could help scientists to better understand changes in emotionality over time.

"[The] findings provide a developmental benchmark from which to better understand the etiology of problems in agentic extroversion and affiliative extroversion, such as can occur in normal aging and neurodegenerative disease," Grodin and White wrote.

###

This research was supported by grants from the National Institute on Drug Abuse (DA R01 020725, DA R21 029189), the Lifespan/Tufts/Brown Center for AIDS Research, the Foundation for Alcohol Research, and the National Institute on Alcohol Abuse and Alcoholism (AA P01 019072).

Keywords

Contact Information

David Orenstein
Brown University
david_orenstein@brown.edu

How to Cite This Article

APA:
Brown University. (2015, February 25). Study maps extroversion types in the brain's anatomy. Brightsurf News. https://www.brightsurf.com/news/1GN627RL/study-maps-extroversion-types-in-the-brains-anatomy.html
MLA:
"Study maps extroversion types in the brain's anatomy." Brightsurf News, Feb. 25 2015, https://www.brightsurf.com/news/1GN627RL/study-maps-extroversion-types-in-the-brains-anatomy.html.