Bluesky Facebook Reddit Email

Penn researchers find genetic link to leukemias with an unknown origin

02.18.10 | University of Pennsylvania School of Medicine

SAMSUNG T9 Portable SSD 2TB

SAMSUNG T9 Portable SSD 2TB transfers large imagery and model outputs quickly between field laptops, lab workstations, and secure archives.


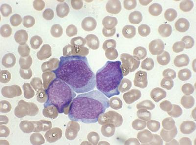
PHILADELPHIA – Although leukemia is one of the best studied cancers, the cause of some types is still poorly understood. Now, a newly found mutation in acute myeloid leukemia patients could account for half of the remaining cases of adult acute leukemia with an unknown origin.

"The molecular biology of leukemia has been studied for the last 20 years and we thought we had found most of the common genes for leukemia," comments senior author Craig B. Thompson, MD, director of the Abramson Cancer Center of the University of Pennsylvania. "Now we're able to point to a distinct type of mutation for half of the remaining leukemias for which we didn't know the cause and between one-quarter and one-third of leukemias in older patients." The findings are described online this week in Cancer Cell .

Using samples from a Penn tissue bank of acute myeloid leukemia (AML), Thompson and colleagues found that AML patients have increased levels of a molecule called 2HG. AML is a quick-moving, deadly cancer that starts in the bone marrow and soon moves into the blood. The increased amounts of 2HG stem from a mutation in one of two related metabolic enzymes, IDH1 or IDH2.

Screening for elevations in 2HG in the tissue bank, the team found that IDH1 and IDH2 mutations are observed in over 23 percent of the AML patients studied. A shared feature of cancer-related IDH mutations is increased production of 2HG.

What's more, the IDH gene mutations are the first known cancer mutations that result in the creation of a protein with a new enzymatic activity. Most cancer-causing mutations make the mutated protein either overactive or inactive in performing its normal function. In contrast, the mutations in the IDH proteins give these enzymes the blueprint to create a new molecule not normally produced by cells. Interestingly, the researchers also found that IDH2 mutations are more common than IDH1 mutations in AML.

Other gene-related causes of leukemia include breaks and reformations in chromosomes called translocations.

The ease with which the researchers were able to detect IDH mutations in tumor samples, and the ability to identify patients with these mutations due to the presence of increased 2HG gives hope for better detection of AML and suggests that blocking the production of 2HG might reverse the ability of the mutant genes to maintain the leukemic cells.

"If we're able to block tumors from producing 2HG, perhaps we would be able to stop the patient's leukemia," states Thompson. Exactly why 2HG production leads to leukemia is not yet clear. It does not appear to act like other cancer-causing metabolites which induce further mutations. One possibility raised in the manuscript is that 2HG accumulation may block the ability of the leukemic cells to differentiate into normal blood cells.

The research was funded in part by grants from the National Cancer Institute and the Abramson Family Cancer Research Institute.

Other co-authors in addition to Thompson include Patrick Ward, MD/PhD student, and Martin Carroll, MD, from the Abramson Cancer Center, and Ross Levine, MD, from the Memorial Sloan-Kettering Cancer Center, as well as researchers from Agios Pharmaceuticals and Princeton University. Thompson is co-founder and consultant to Agios.

Penn Medicine is one of the world's leading academic medical centers, dedicated to the related missions of medical education, biomedical research, and excellence in patient care. Penn Medicine consists of the University of Pennsylvania School of Medicine (founded in 1765 as the nation's first medical school) and the University of Pennsylvania Health System, which together form a $3.6 billion enterprise.

Penn's School of Medicine is currently ranked #3 in U.S. News & World Report's survey of research-oriented medical schools, and is consistently among the nation's top recipients of funding from the National Institutes of Health, with $367.2 million awarded in the 2008 fiscal year.

The Abramson Cancer Center (ACC) of the University of Pennsylvania is a national leader in cancer research, patient care, and education. The pre-eminent position of the Cancer Center is reflected in its continuous designation as a Comprehensive Cancer Center by the National Cancer Institute for more than 30 years, one of 41 such Centers in the United States. The ACC is dedicated to innovative and compassionate cancer care. The clinical program, composed of a dedicated staff of physicians, nurse practitioners, nurses, social workers, physical therapists, nutritionists and patient support specialists, currently sees over 50,000 outpatient visits, 7400 inpatient discharges, and provides over 25,000 chemotherapy treatments, and more than 66,000 radiation treatments annually. Not only is the ACC dedicated to providing state-of-the-art cancer care, the latest forms of cancer prevention, diagnosis, and treatment are available to our patients through clinical themes that developed in the relentless pursuit to eliminate the pain and suffering from cancer. In addition, the ACC is home to the 300 research scientists who work relentlessly to determine the pathogenesis of cancer. Together, the faculty is committed to improving the prevention, diagnosis and treatment of cancer. More information is available at penncancer.org .

Cancer Cell

Keywords

Article Information

Contact Information

Karen Kreeger
University of Pennsylvania School of Medicine
karen.kreeger@uphs.upenn.edu

How to Cite This Article

APA:
University of Pennsylvania School of Medicine. (2010, February 18). Penn researchers find genetic link to leukemias with an unknown origin. Brightsurf News. https://www.brightsurf.com/news/1GNZYXJL/penn-researchers-find-genetic-link-to-leukemias-with-an-unknown-origin.html
MLA:
"Penn researchers find genetic link to leukemias with an unknown origin." Brightsurf News, Feb. 18 2010, https://www.brightsurf.com/news/1GNZYXJL/penn-researchers-find-genetic-link-to-leukemias-with-an-unknown-origin.html.