Bluesky Facebook Reddit Email

Stress on every cell:

02.01.21 | Weizmann Institute of Science

GoPro HERO13 Black

GoPro HERO13 Black records stabilized 5.3K video for instrument deployments, field notes, and outreach, even in harsh weather and underwater conditions.


Chronic stress could be the prevailing condition of our time. In the short term, our jaws or stomachs may clench; in the long term, stress can lead to metabolic disease and speed up diseases of aging, as well as leading to more serious psychological disorders. The physical manifestations of stress originate in the brain, and they move along a so-called "stress axis" that ends in the adrenal glands. These glands then produce the hormone cortisol. When the stress axis is continually activated, changes occur in the cells and organs along the way, and the continual production of cortisol then substantially contribute the symptoms of chronic stress.

The stress response axis starts with the hypothalamus in the brain, moves through the pituitary right next to the brain and then on to the adrenal glands near the kidneys. Scientists at the Weizmann Institute of Science in Israel and the Max Planck Institute of Psychiatry in Germany used new technology to view the entire stress axis as it has never before been seen. Their findings, which were published in Science Advances may be relevant to a number of stress-related diseases from anxiety and depression to metabolic syndrome and diabetes.

The new study, led by postdoctoral fellow Dr. Juan Pablo Lopez in the joint neurobiology lab of Prof. Alon Chen in the Weizmann Institute of Science and the Max Planck Institute of Psychiatry, made use of a relatively new technique that allows researchers to identify differences across all cell types in a tissue. This method is something like identifying the individual fruits in a bowl of fruit salad - rather than the standard methods of turning that fruit salad into a "smoothie" and then trying to identify the average characteristics of all the fruits together. But in this case, the task was much more complex than separating the apples from oranges: Pablo Lopez and the team mapped the entire length of the stress axis, checking the activities of numerous single cells all along the route. And they conducted this analysis on two sets of mice - one unstressed and one exposed to chronic stress.

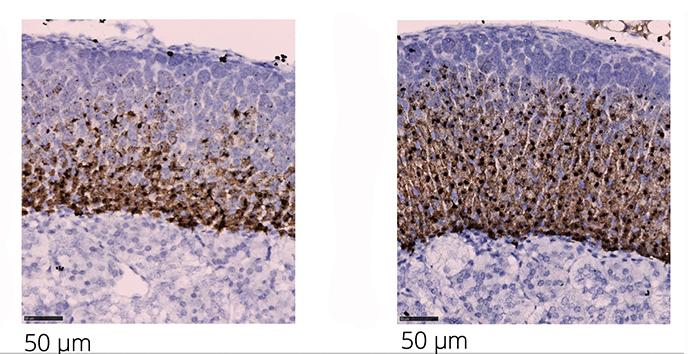
All in all, the team mapped 21,723 cells along the three points in that axis, and they compared their findings from the two sets of mice. They noted that as the stress message moved from one organ to the next, the gene expression in the cells and the tissues themselves underwent greater changes. The team found 66 genes that were altered between normal and stressed mice in the hypothalamus, 692 in the pituitaries and a whopping 922 in the adrenals. The adrenals are glands that can change their size visibly under chronic stress exposure, and it was here that the researchers noted the most significant alterations among the various cells.

The unprecedented resolution of the technique enabled the researchers to identify, for the first time, a subpopulation of adrenal cells that may play a crucial role in the stress response and adaptation. These were endocrine cells sitting in the outer layer, or adrenal cortex. Among other things, the team identified a gene, known as Abcb1b, and found it to be overexpressed in these cells under stress situations. This gene encodes a pump in the cell membrane that expels substances from the cell, and the scientists think it plays a role in the release of cortisol. "If extra stress hormones are created, the cell needs extra release valves to let those hormones go," says Pablo Lopez.

Are the findings in mice relevant to humans? In collaboration with researchers in university-based hospitals in the UK, Germany, Switzerland and the US, the scientists obtained adrenal glands that had been removed from patients to relieve the symptoms of Cushing's disease. Though the disease is the result of a growth on the pituitary, the result can be identical to chronic stress - weight gain and metabolic syndrome, high blood pressure and depression or irritability - so in some cases it is treated by removing the adrenal glands, thereby reducing the patients' stress hormone load. Indeed, the cells in these patients' adrenals presented a similar picture to those of the mice in the chronic stress group.

The gene they had identified, Abcb1, was known to the researchers from previous studies into the genetics of depression. It had been found that this gene is polymorphic - it has several variants - and that at least one version is tied to a higher risk for depression. The group analyzed the expression of this variant in blood tests taken from a group of subjects who suffer from depression and who were subjected to temporary stress. They found that certain variants do, indeed, affect the ways the adrenal glands deal with stress signals coming down the axis.

Chronic stress, of course, can ultimately affect every part of the body and open the door to numerous health issues. The new study, because it looks at the entire axis, on the one hand, and has mapped it down to the gene expression pattern of its individual cells, on the other, should provide a wealth of new information and insight into the mechanisms behind the stress axis. "Most research in this field has focused on chronic stress patterns in the brain," says Prof. Chen. "In addition to presenting a possible new target for treating the diseases that arise from chronic stress, the findings of this study will open new directions for future research."

###

Prof. Alon Chen's research is supported by the Ruhman Family Laboratory for Research in the Neurobiology of Stress; and Bruno Licht. Prof. Chen is the incumbent of the Vera and John Schwartz Professorial Chair in Neurobiology.

The Weizmann Institute of Science in Rehovot, Israel, is one of the world's top-ranking multidisciplinary research institutions. Noted for its wide-ranging exploration of the natural and exact sciences, the Institute is home to scientists, students, technicians and supporting staff. Institute research efforts include the search for new ways of fighting disease and hunger, examining leading questions in mathematics and computer science, probing the physics of matter and the universe, creating novel materials and developing new strategies for protecting the environment.

Science Advances

Keywords

Article Information

Contact Information

Source

How to Cite This Article

APA:
Weizmann Institute of Science. (2021, February 1). Stress on every cell:. Brightsurf News. https://www.brightsurf.com/news/1GRVOWR8/stress-on-every-cell.html
MLA:
"Stress on every cell:." Brightsurf News, Feb. 1 2021, https://www.brightsurf.com/news/1GRVOWR8/stress-on-every-cell.html.