Bluesky Facebook Reddit Email

Chances of surviving malaria may be higher when host consumes fewer calories

07.05.17 | Penn State

SAMSUNG T9 Portable SSD 2TB

SAMSUNG T9 Portable SSD 2TB transfers large imagery and model outputs quickly between field laptops, lab workstations, and secure archives.


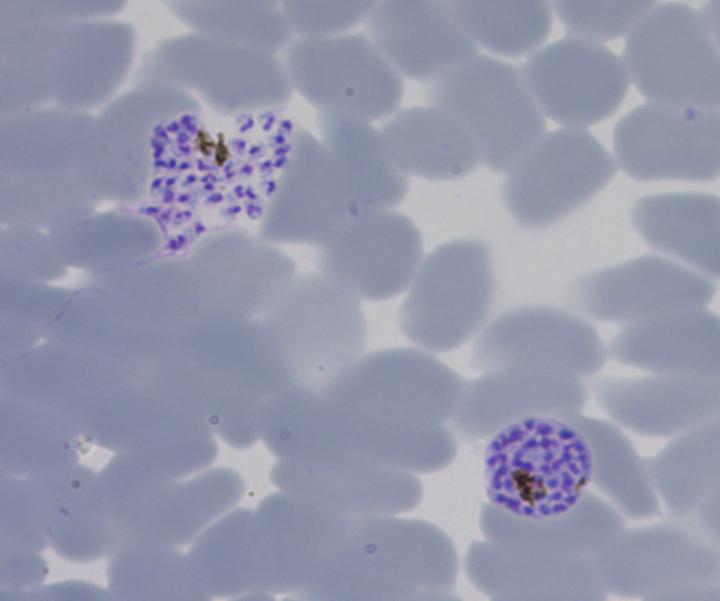
University Park, PA -- The chances of surviving a malaria infection may be higher when the host consumes fewer calories, according to new research. A new study shows that the infectious agent responsible for malaria, the Plasmodium parasite, is able to sense its host's nutritional status and actively adapt through changes in gene expression to reduce the number of offspring it produces. Using mouse models of malaria, an international team of researchers led by Maria M. Mota from the Instituto de Medicina Molecular in Lisbon (iMM Lisboa), showed that mice that ate 30 percent fewer calories had a significantly lower parasite load and lived longer.

"This finding alters our understanding of the dynamics of malaria infections in the field and might be highly relevant facing the alarming trend of global increased overweight versus underweight populations, including in malaria endemic regions," said Mota.

The study, which appears July 5, 2017 in the journal Nature , reveals for the first time that the number of parasite offspring produced in every round of replication depends on the calorie intake of the host. The parasite can reproduce inside red blood cells every 48 hours. The parasite's reduced replication in hosts with lower calorie intake may ultimately dictate whether or not the host can survive the infection. With roughly 200 million new infections every year, malaria kills approximately one child every minute.

"This is one of the best examples demonstrating that malaria parasites sense and adapt to their host's metabolic environment through transcriptional and developmental changes," said Manuel Llinás, professor of biochemistry and molecular biology at Penn State and an author of the paper. "Discovering precisely how this occurs may lead to new therapeutic intervention strategies to significantly reduce parasite burden."

The researchers controlled the food intake of mice before infecting them with different Plasmodium parasites and studying the response. Their observations suggested that either the parasites were actively adapting to the new environment inside of a host with lower calorie intake by slowing their replication, or they were struggling to replicate due to the fact that some key nutrients were missing.

"For several months, I was stunned with the amazing speed that these parasites adapt," said Liliana Mânico-Silva of iMM Lisboa, the study's first author. "It was very exciting."

To test whether the parasites were adapting or simply struggling to replicate, the researchers looked at the gene expression in the parasites and tested several strains of the Plasmodium parasite that were missing key enzymes that may be involved in nutrient sensing. They found that parasites that were missing an enzyme called KIN did not slow their replication in response to a host with reduced calorie intake. These results imply that KIN acts as a nutrient sensor and major regulator of the parasite's ability to respond to nutritional changes.

"This is the first time that anyone has seen that a parasite can actively restrict its growth to the environment, and completely changes the way we look at parasite growth," said Oliver Billker, a member of the research team from the Wellcome Trust Sanger Institute. "While future research is necessary to understand the full extent of these findings, they may well have implications not just for malaria, but also for other infectious diseases."

The data were also surprising in that KIN does not have many of the expected features of other nutrient sensor molecules shared between yeast, plants and mammals. Future studies will investigate how KIN is controlled and what other enzymes it may work with. A better understanding of this system may help researchers design strategies that trick the parasite into slowing its replication to make it easier to control.

###

CONTACTS:

Manuel Llinás: manuel@psu.edu , +1-814-867-3444 (office), mobile (please do not publish) +1-814-867-3444

Barbara K. Kennedy (PIO): BarbaraKennedy@psu.edu , (+1) 814-863-4682

Nature

Keywords

Article Information

Contact Information

Barbara Kennedy
bkk1@psu.edu

Source

How to Cite This Article

APA:
Penn State. (2017, July 5). Chances of surviving malaria may be higher when host consumes fewer calories. Brightsurf News. https://www.brightsurf.com/news/1ZK9VDR1/chances-of-surviving-malaria-may-be-higher-when-host-consumes-fewer-calories.html
MLA:
"Chances of surviving malaria may be higher when host consumes fewer calories." Brightsurf News, Jul. 5 2017, https://www.brightsurf.com/news/1ZK9VDR1/chances-of-surviving-malaria-may-be-higher-when-host-consumes-fewer-calories.html.