Bluesky Facebook Reddit Email

What interventional radiologists need to know about frostbite and amputation

02.06.20 | American Roentgen Ray Society

AmScope B120C-5M Compound Microscope

AmScope B120C-5M Compound Microscope supports teaching labs and QA checks with LED illumination, mechanical stage, and included 5MP camera.


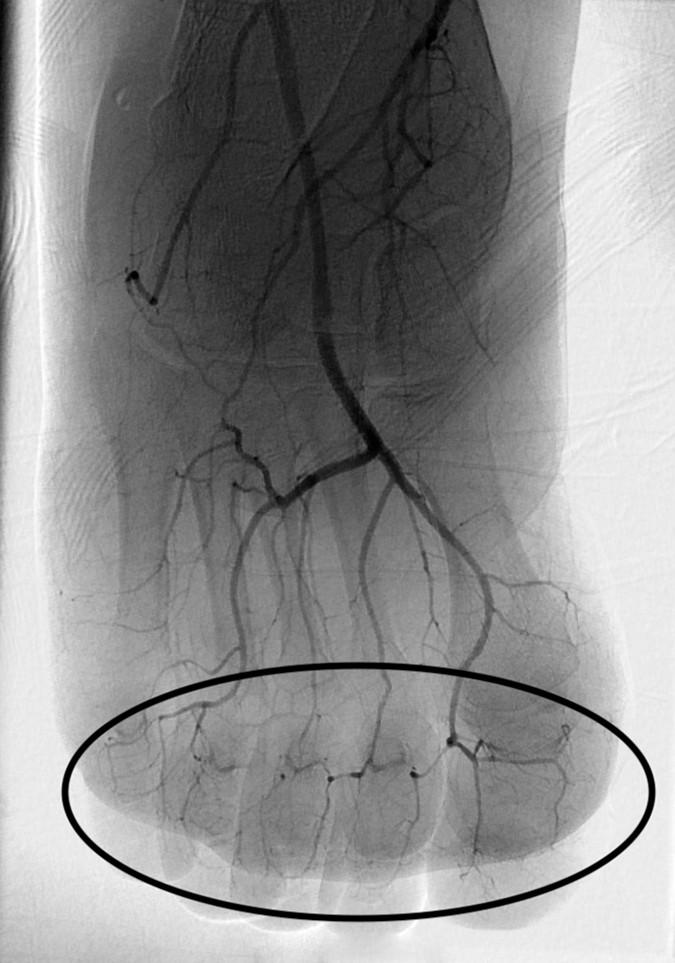
Leesburg, VA, February 6, 2020--An ahead-of-print article in the April issue of the American Journal of Roentgenology (AJR) reviewing various techniques and clinical management paradigms to treat severe frostbite injuries--relevant for interventional radiologists, especially--showed promising results using both intraarterial (IA) and IV tPA (tissue plasminogen activator) to reduce amputation.

"Severe frostbite injuries can lead to devastating outcomes with loss of limbs and digits, yet clinical management continues to consist primarily of tissue rewarming, prolonged watchful waiting, and often delayed amputation," wrote Boston Medical Center radiologists John Lee and Mikhail Higgins.

A search of the literature by Lee and Higgins yielded 157 citations. After manually screening for inclusion criteria of case reports, case series, cohort studies, and randomized prospective studies that reported the use of tPA to treat severe frostbite injuries, 16 qualified for review.

Lee and Higgins' analyzed series included 209 patients with 1109 digits at risk of amputation treated with IA or IV tPA--116 and 77 patients, respectively. A total 926 at-risk digits were treated with IA tPA and resulted in amputation of 222 digits, for a salvage rate of 76%. Twenty-four of 63 patients underwent amputation after IV tPA, resulting in a 62% salvage rate.

Both digital subtraction angiography (DSA) and triple-phase bone scan were utilized for initial imaging evaluation of patients with severe frostbite injuries.

Additional concurrent treatment included therapeutic heparin at 500 U/h, warfarin with target international normalized ratio of 2:3, nonsteroidal anti-inflammatory drugs, pain management, and light dressings with topical antimicrobial agents.

"For many years," Lee and Higgins concluded, "the axiom 'frostbite in January, amputate in July' was an accurate description of the common outcome in frostbite injuries. Through a meta-analysis of thrombolytic therapy in the management of severe frostbite, this article provides a useful guideline for interventional radiologists, including a suggested protocol, inclusion and exclusion criteria, and potential complications."

###

Founded in 1900, the American Roentgen Ray Society (ARRS) is the first and oldest radiological society in North America, dedicated to the advancement of medicine through the profession of radiology and its allied sciences. An international forum for progress in medical imaging since the discovery of the x-ray, ARRS maintains its mission of improving health through a community committed to advancing knowledge and skills with an annual scientific meeting, monthly publication of the peer-reviewed American Journal of Roentgenology (AJR), quarterly issues of InPractice magazine, AJR Live Webinars and Podcasts, topical symposia, print and online educational materials, as well as awarding scholarships via The Roentgen Fund®.

American Journal of Roentgenology

10.2214/AJR.19.21592

Keywords

Article Information

Contact Information

Logan Young
lyoung@arrs.org

Source

How to Cite This Article

APA:
American Roentgen Ray Society. (2020, February 6). What interventional radiologists need to know about frostbite and amputation. Brightsurf News. https://www.brightsurf.com/news/80EXDQJ8/what-interventional-radiologists-need-to-know-about-frostbite-and-amputation.html
MLA:
"What interventional radiologists need to know about frostbite and amputation." Brightsurf News, Feb. 6 2020, https://www.brightsurf.com/news/80EXDQJ8/what-interventional-radiologists-need-to-know-about-frostbite-and-amputation.html.