Bluesky Facebook Reddit Email

Acupuncture at Waiguan improves activation of functional brain areas of stroke patients

04.22.14 | Neural Regeneration Research

Apple AirPods Pro (2nd Generation, USB-C)

Apple AirPods Pro (2nd Generation, USB-C) provide clear calls and strong noise reduction for interviews, conferences, and noisy field environments.


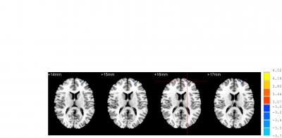
Both acupuncture at Waiguan (SJ5) and sham acupuncture can activate/deactivate several brain regions in patients with ischemic stroke, but there are some difference in Brodmann areas 4, 6, 8, Brodmann areas 7, 39, 40, Brodmann areas 18, 19, 22 and Brodmann areas 13, 24, 32, 28. Most studies addressing the specificity of meridians and acupuncture points have focused mainly on the different neural effects of acupuncture at different points in healthy individuals. Dr. Ji Qi and co-workers from School of Traditional Chinese Medicine, Southern Medical University in China examined the effects of acupuncture on brain function in a pathological context, and compared the effects between Waiguan and sham points in 16 patients with ischemic stroke. Compared with sham acupuncture, acupuncture at Waiguan in stroke patients inhibited Brodmann area 5 on the healthy side. These findings, published in the Neural Regeneration Research (Vol. 9, No. 3, 2014), indicated that the altered specificity of sensation-associated cortex (Brodmann area 5) is possibly associated with a central mechanism of acupuncture at Waiguan for stroke patients.

Article:

" Acupuncture at Waiguan and sham points influences activation of functional brain areas of ischemic stroke patients: a functional magnetic resonance imaging study" by Ji Qi1, Junqi Chen2, Yong Huang1, Xinsheng Lai3, Chunzhi Tang3, Junjun Yang4, Hua Chen5, Shanshan Qu1 (1 School of Traditional Chinese Medicine, Southern Medical University, Guangzhou, Guangdong Province, China; 2 Department of Rehabilitation, The Third Affiliated Hospital of Southern Medical University, Guangzhou, Guangdong Province, China; 3 School of Acupuncture-moxibustion and Tuina, Guangzhou University of Chinese Medicine, Guangzhou, Guangdong Province, China; 4 School of Chinese Medicine, Hongkong Baptist University, Hongkong, China; 5 School of Biomedical Engineering, Southern Medical University, Guangzhou, Guangdong Province, China)

Qi J, Chen JQ, Huang Y, Lai XS, Tang CZ, Yang JJ, Chen H, Qu SS. Acupuncture at Waiguan and sham points influences activation of functional brain areas of ischemic stroke patients: a functional magnetic resonance imaging study. Neural Regen Res . 2014;9(3):293-300.

Contact:

Meng Zhao
eic@nrren.org
86-138-049-98773
Neural Regeneration Research
http://www.nrronline.org/

Neural Regeneration Research

Keywords

Article Information

Contact Information

How to Cite This Article

APA:
Neural Regeneration Research. (2014, April 22). Acupuncture at Waiguan improves activation of functional brain areas of stroke patients. Brightsurf News. https://www.brightsurf.com/news/86GNXJ9L/acupuncture-at-waiguan-improves-activation-of-functional-brain-areas-of-stroke-patients.html
MLA:
"Acupuncture at Waiguan improves activation of functional brain areas of stroke patients." Brightsurf News, Apr. 22 2014, https://www.brightsurf.com/news/86GNXJ9L/acupuncture-at-waiguan-improves-activation-of-functional-brain-areas-of-stroke-patients.html.