Bluesky Facebook Reddit Email

Reduced-dose gadobutrol vs standard-dose gadoterate for contrast-enhanced brain MRI

06.17.21 | American Roentgen Ray Society

Kestrel 3000 Pocket Weather Meter

Kestrel 3000 Pocket Weather Meter measures wind, temperature, and humidity in real time for site assessments, aviation checks, and safety briefings.


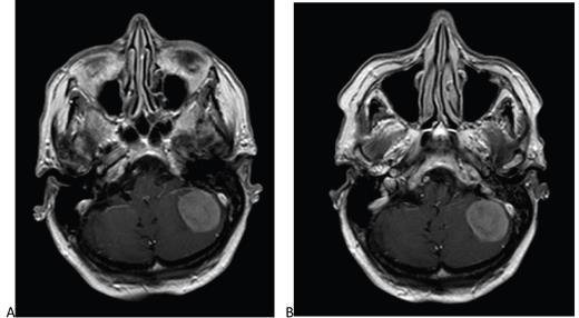
Leesburg, VA, June 17, 2021--According to ARRS' American Journal of Roentgenology (AJR) , a reduced dose of gadobutrol is non-inferior to 100%-standard dose of gadoterate for contrast-enhanced brain MRI.

"A 25% reduced gadobutrol dose demonstrated non-inferior efficacy versus standard dose gadoterate for contrast-enhanced brain MRI," corresponding author Jan Endrikat of Germany's University Medical School of Saarland elaborated, "warranting particular consideration in patients undergoing multiple contrast-enhanced examinations."

In this international, prospective, multicenter, open-label, crossover trial (LEADER-75), 141 patients (78 men, 63 women; mean age, 58.5 years) with known or suspected CNS pathology underwent contrast-enhanced brain MRI with standard-dose gadoterate (0.1 mmol/ kg). If an enhancing lesion was identified, a second MRI with reduced-dose gadobutrol (0.075 mmol/kg) was performed within 15 days.

Comparison of reduced-dose gadobutrol and standard-dose gadoterate versus unenhanced imaging demonstrated noninferiority using 20% margin for three primary efficacy measures: subjective lesion enhancement, lesion border delineation, lesion internal morphology.

Furthermore, in post-hoc analysis, mean readings for subjective lesion enhancement, lesion border delineation, and lesion internal morphology differed by less than 1%--supporting equivalence using a narrow ±5% margin.

"Various secondary variables also supported non-inferiority of reduced-dose gadobutrol," the authors of the AJR article added.

###

Founded in 1900, the American Roentgen Ray Society (ARRS) is the first and oldest radiological society in North America, dedicated to the advancement of medicine through the profession of radiology and its allied sciences. An international forum for progress in medical imaging since the discovery of the x-ray, ARRS maintains its mission of improving health through a community committed to advancing knowledge and skills with an annual scientific meeting, monthly publication of the peer-reviewed American Journal of Roentgenology (AJR) , quarterly issues of InPractice magazine, AJR Live Webinars and Podcasts, topical symposia, print and online educational materials, as well as awarding scholarships via The Roentgen Fund®.

American Journal of Roentgenology

10.2214/AJR.21.25924

Keywords

Article Information

Contact Information

Logan Young
lyoung@arrs.org

Source

How to Cite This Article

APA:
American Roentgen Ray Society. (2021, June 17). Reduced-dose gadobutrol vs standard-dose gadoterate for contrast-enhanced brain MRI. Brightsurf News. https://www.brightsurf.com/news/86ZGPQK8/reduced-dose-gadobutrol-vs-standard-dose-gadoterate-for-contrast-enhanced-brain-mri.html
MLA:
"Reduced-dose gadobutrol vs standard-dose gadoterate for contrast-enhanced brain MRI." Brightsurf News, Jun. 17 2021, https://www.brightsurf.com/news/86ZGPQK8/reduced-dose-gadobutrol-vs-standard-dose-gadoterate-for-contrast-enhanced-brain-mri.html.